Cytokeratin 7抗体 [N1C2]

目录号 GTX109723
目录号  GTX109723
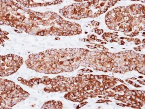
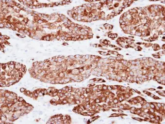
Anti-Cytokeratin 7 antibody [N1C2] used in IHC (Paraffin sections) (IHC-P). GTX109723
GTX109723 IHC-P Image

Immunohistochemical characterization of Synaptophysin (GTX100865), p63 (GTX102425) and Cytokeratin 7 (GTX109723) in human small cell lung cancer (SCLC) and non-small cell lung cancer (NSCLC) specimens.
Sample: Paraffin-embedded human SCLC (upper panel) and NSCLC (lower panel).
The section was pre-treated using heat mediated antigen retrieval with sodium citrate buffer (pH6) for 15 mins. The section was then incubated with primary antibody at 1:500 overnight at 4ºC and detected using an HRP conjugated avidin-biotin-peroxidase Complex system. DAB was used as the chromogen and counterstained with haematoxylin.

Antigen Retrieval: Citrate buffer, pH 6.0, 15 min

1 / 5
Anti-Cytokeratin 7 antibody [N1C2] used in Western Blot (WB). GTX109723
GTX109723 WB Image

Various whole cell extracts (30 μg) were separated by 10% SDS-PAGE, and the membrane was blotted with Cytokeratin 7 antibody [N1C2] (GTX109723) diluted at 1:20000. The HRP-conjugated anti-rabbit IgG antibody (GTX213110-01) was used to detect the primary antibody. Corresponding RNA expression data for the same cell lines are based on Human Protein Atlas program.

2 / 5
Anti-Cytokeratin 7 antibody [N1C2] used in IHC (Paraffin sections) (IHC-P). GTX109723
GTX109723 IHC-P Image

Immunohistochemical analysis of paraffin-embedded A549 xenograft, using Cytokeratin 7(GTX109723) antibody at 1:500 dilution.
Antigen Retrieval: Trilogy™ (EDTA based, pH 8.0) buffer, 15min

3 / 5
Anti-Cytokeratin 7 antibody [N1C2] used in Immunocytochemistry/ Immunofluorescence (ICC/IF). GTX109723
GTX109723 ICC/IF Image

Immunofluorescence analysis of paraformaldehyde-fixed HeLa, using Cytokeratin 7(GTX109723) antibody at 1:200 dilution.

4 / 5
Anti-Cytokeratin 7 antibody [N1C2] used in IHC (Frozen sections) (IHC-Fr). GTX109723
GTX109723 IHC-Fr Image

Immunohistochemical analysis of human placenta (paraformaldehyde-fixed frozen sections), using Cytokeratin 7(GTX109723) antibody at 1:200 dilution.
Antigen Retrieval: Citrate buffer, pH 6.0, 15 min

5 / 5
Anti-Cytokeratin 7 antibody [N1C2] used in IHC (Paraffin sections) (IHC-P). GTX109723
Anti-Cytokeratin 7 antibody [N1C2] used in Western Blot (WB). GTX109723
Anti-Cytokeratin 7 antibody [N1C2] used in IHC (Paraffin sections) (IHC-P). GTX109723
Anti-Cytokeratin 7 antibody [N1C2] used in Immunocytochemistry/ Immunofluorescence (ICC/IF). GTX109723
Anti-Cytokeratin 7 antibody [N1C2] used in IHC (Frozen sections) (IHC-Fr). GTX109723
  • 宿主
    Rabbit
  • 克隆
    Polyclonal
  • 同种型
    IgG
  • 实验应用
    WB ICC/IF IHC-P IHC-Fr
  • 种属反应
    Human
查看所有 Cytokeratin 7 的产品