Cytokeratin 8抗体 [N1C1]

目录号 GTX112975
目录号  GTX112975
Anti-Cytokeratin 8 antibody [N1C1] used in Western Blot (WB). GTX112975
GTX112975 WB Image

Wild-type (WT) and Krt8 knockout (KO) HeLa cell extracts (30 μg) were separated by 10% SDS-PAGE, and the membrane was blotted with Krt8 antibody (GTX112975) diluted at 1:1000. The HRP-conjugated anti-rabbit IgG antibody (GTX213110-01) was used to detect the primary antibody.

1 / 7
Anti-Cytokeratin 8 antibody [N1C1] used in Western Blot (WB). GTX112975
GTX112975 WB Image

Rat tissue extract (50 μg) was separated by 10% SDS-PAGE, and the membrane was blotted with Cytokeratin 8 antibody [N1C1] (GTX112975) diluted at 1:500. The HRP-conjugated anti-rabbit IgG antibody (GTX213110-01) was used to detect the primary antibody.

2 / 7
Anti-Cytokeratin 8 antibody [N1C1] used in IHC (Paraffin sections) (IHC-P). GTX112975
GTX112975 IHC-P Image

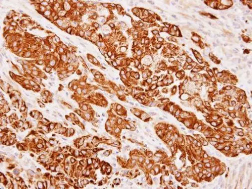
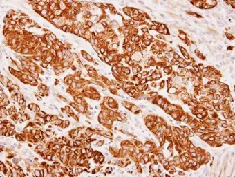
Immunohistochemical analysis of paraffin-embedded SW480 xenograft, using Cytokeratin 8(GTX112975) antibody at 1:500 dilution.
Antigen Retrieval: Trilogy™ (EDTA based, pH 8.0) buffer, 15min

3 / 7
Anti-Cytokeratin 8 antibody [N1C1] used in Immunocytochemistry/ Immunofluorescence (ICC/IF). GTX112975
GTX112975 ICC/IF Image

Immunofluorescence analysis of paraformaldehyde-fixed HeLa, using Cytokeratin 8(GTX112975) antibody at 1:200 dilution.

4 / 7
Anti-Cytokeratin 8 antibody [N1C1] used in Western Blot (WB). GTX112975
GTX112975 WB Image

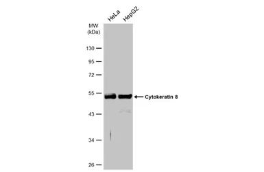
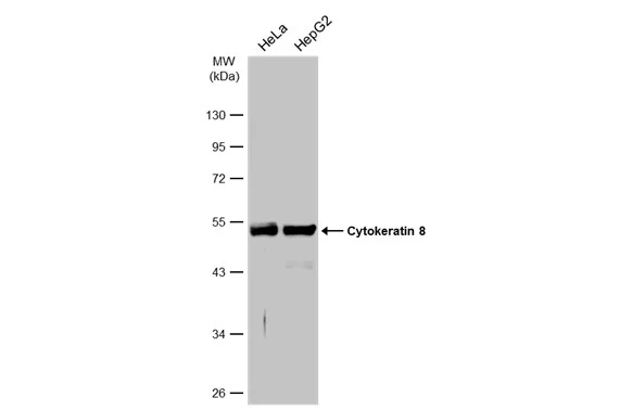
Various whole cell extracts (30 μg) were separated by 10% SDS-PAGE, and the membrane was blotted with Cytokeratin 8 antibody [N1C1] (GTX112975) diluted at 1:2000. The HRP-conjugated anti-rabbit IgG antibody (GTX213110-01) was used to detect the primary antibody.

5 / 7
Anti-Cytokeratin 8 antibody [N1C1] used in Western Blot (WB). GTX112975
GTX112975 WB Image

Sample (50 μg of whole cell lysate)
A: mouse liver
10% SDS PAGE
GTX112975 diluted at 1:1000
The HRP-conjugated anti-rabbit IgG antibody (GTX213110-01) was used to detect the primary antibody.

6 / 7
Anti-Cytokeratin 8 antibody [N1C1] used in Western Blot (WB). GTX112975
GTX112975 WB Image

Whole zebrafish (30 μg) was separated by 10% SDS-PAGE, and the membrane was blotted with Cytokeratin 8 antibody [N1C1] (GTX112975) diluted at 1:700. The HRP-conjugated anti-rabbit IgG antibody (GTX213110-01) was used to detect the primary antibody.

7 / 7
Anti-Cytokeratin 8 antibody [N1C1] used in Western Blot (WB). GTX112975
Anti-Cytokeratin 8 antibody [N1C1] used in Western Blot (WB). GTX112975
Anti-Cytokeratin 8 antibody [N1C1] used in IHC (Paraffin sections) (IHC-P). GTX112975
Anti-Cytokeratin 8 antibody [N1C1] used in Immunocytochemistry/ Immunofluorescence (ICC/IF). GTX112975
Anti-Cytokeratin 8 antibody [N1C1] used in Western Blot (WB). GTX112975
Anti-Cytokeratin 8 antibody [N1C1] used in Western Blot (WB). GTX112975
Anti-Cytokeratin 8 antibody [N1C1] used in Western Blot (WB). GTX112975
  • 宿主
    Rabbit
  • 克隆
    Polyclonal
  • 同种型
    IgG
  • 实验应用
    WB ICC/IF IHC-P
  • 种属反应
    Human, Mouse, Rat, Zebrafish
查看所有 Cytokeratin 8 的产品