DRP1抗体

目录号 GTX135364
目录号  GTX135364
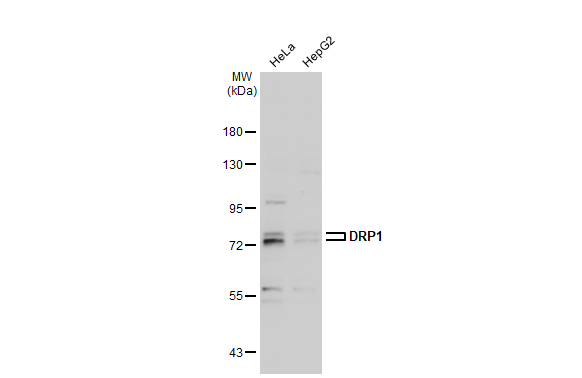
Anti-DRP1 antibody used in Western Blot (WB). GTX135364
GTX135364 WB Image

Various whole cell extracts (30 μg) were separated by 7.5% SDS-PAGE, and the membrane was blotted with DRP1 antibody (GTX135364) diluted at 1:2000. The HRP-conjugated anti-rabbit IgG antibody (GTX213110-01) was used to detect the primary antibody.

1 / 5
Anti-DRP1 antibody used in Western Blot (WB). GTX135364
GTX135364 WB Image

Mouse tissue extract (30 μg) was separated by 7.5% SDS-PAGE, and the membrane was blotted with DRP1 antibody (GTX135364) diluted at 1:2000. The HRP-conjugated anti-rabbit IgG antibody (GTX213110-01) was used to detect the primary antibody.

2 / 5
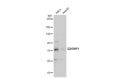
Anti-DRP1 antibody used in Western Blot (WB). GTX135364
GTX135364 WB Image

Various whole cell extracts (30 μg) were separated by 7.5% SDS-PAGE, and the membrane was blotted with DRP1 antibody (GTX135364) diluted at 1:2000. The HRP-conjugated anti-rabbit IgG antibody (GTX213110-01) was used to detect the primary antibody.

3 / 5
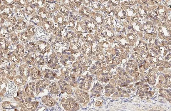
Anti-DRP1 antibody used in IHC (Paraffin sections) (IHC-P). GTX135364
GTX135364 IHC-P Image

DRP1 antibody detects DRP1 protein by immunohistochemical analysis.
Sample: Paraffin-embedded mouse duodenum.
DRP1 stained by DRP1 antibody (GTX135364) diluted at 1:500.
Antigen Retrieval: Citrate buffer, pH 6.0, 15 min

4 / 5
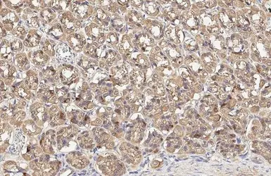
Anti-DRP1 antibody used in IHC (Paraffin sections) (IHC-P). GTX135364
GTX135364 IHC-P Image

DRP1 antibody detects DRP1 protein by immunohistochemical analysis.
Sample: Paraffin-embedded rat stomach.
DRP1 stained by DRP1 antibody (GTX135364) diluted at 1:500.
Antigen Retrieval: Citrate buffer, pH 6.0, 15 min

5 / 5
Anti-DRP1 antibody used in Western Blot (WB). GTX135364
Anti-DRP1 antibody used in Western Blot (WB). GTX135364
Anti-DRP1 antibody used in Western Blot (WB). GTX135364
Anti-DRP1 antibody used in IHC (Paraffin sections) (IHC-P). GTX135364
Anti-DRP1 antibody used in IHC (Paraffin sections) (IHC-P). GTX135364
  • 宿主
    Rabbit
  • 克隆
    Polyclonal
  • 同种型
    IgG
  • 实验应用
    WB IHC-P
  • 种属反应
    Human, Mouse, Rat
查看所有 DRP1 的产品