Dishevelled 3抗体 [N1N2], N-term

目录号 GTX102509
目录号  GTX102509
Anti-Dishevelled 3 antibody [N1N2], N-term used in Western Blot (WB). GTX102509
GTX102509 WB Image

Sample (30 ug of whole cell lysate)
A: HCT116 7.5% SDS PAGE
GTX102509 diluted at 1:10000

1 / 5
Anti-Dishevelled 3 antibody [N1N2], N-term used in Immunocytochemistry/ Immunofluorescence (ICC/IF). GTX102509
GTX102509 ICC/IF Image

Dishevelled 3 antibody [N1N2], N-term detects Dishevelled 3 protein at cytoplasm by immunofluorescent analysis.
Sample: HeLa cells were fixed in 4% paraformaldehyde at RT for 15 min.
Green: Dishevelled 3 protein stained by Dishevelled 3 antibody [N1N2], N-term (GTX102509) diluted at 1:500.
Red: phalloidin, a cytoskeleton marker, stained by phalloidin (invitrogen, A12380) diluted at 1:200.
Blue: Hoechst 33342 staining.

2 / 5
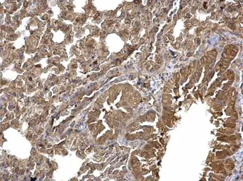
Anti-Dishevelled 3 antibody [N1N2], N-term used in IHC (Paraffin sections) (IHC-P). GTX102509
GTX102509 IHC-P Image

Dishevelled 3 antibody [N1N2], N-term detects Dishevelled 3 protein at cytoplasm on mouse lung by immunohistochemical analysis.
Sample: Paraffin-embedded mouse lung.
Dishevelled 3 antibody [N1N2], N-term (GTX102509) diluted at 1:500.

Antigen Retrieval: Trilogy™ (EDTA based, pH 8.0) buffer, 15min

3 / 5
Anti-Dishevelled 3 antibody [N1N2], N-term used in  (). GTX102509
GTX102509 Image

cytoplasm in the photoreceptor
Immunohistochemistry of flat-mounted zebrafish retina using an antibody against Dishevelled 3 antibody [N1N2], N-term (GTX102509) at a 1:200 dilution.

4 / 5
Anti-Dishevelled 3 antibody [N1N2], N-term used in IHC (Frozen sections) (IHC-Fr). GTX102509
GTX102509 IHC-Fr Image

The data was published in the journal PLoS One in 2013. PMID: 23437169

5 / 5
Anti-Dishevelled 3 antibody [N1N2], N-term used in Western Blot (WB). GTX102509
Anti-Dishevelled 3 antibody [N1N2], N-term used in Immunocytochemistry/ Immunofluorescence (ICC/IF). GTX102509
Anti-Dishevelled 3 antibody [N1N2], N-term used in IHC (Paraffin sections) (IHC-P). GTX102509
Anti-Dishevelled 3 antibody [N1N2], N-term used in  (). GTX102509
Anti-Dishevelled 3 antibody [N1N2], N-term used in IHC (Frozen sections) (IHC-Fr). GTX102509
  • 宿主
    Rabbit
  • 克隆
    Polyclonal
  • 同种型
    IgG
  • 实验应用
    WB ICC/IF IHC-P IHC-Fr IP
  • 种属反应
    Human, Mouse, Zebrafish
查看所有 Dishevelled 3 的产品