Dopamine Receptor D2抗体

目录号 GTX17570
目录号  GTX17570
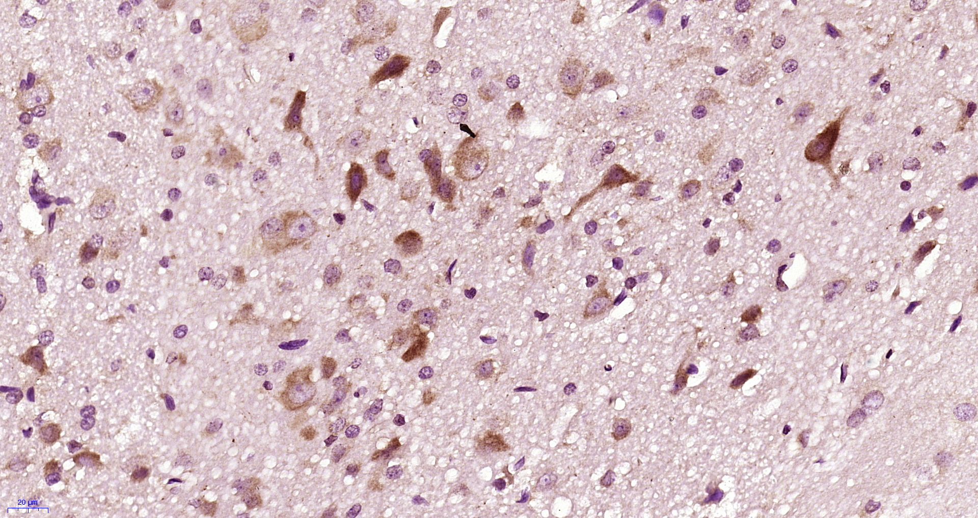
Anti-Dopamine Receptor D2 antibody used in IHC (Paraffin sections) (IHC-P). GTX17570
GTX17570 IHC-P Image

IHC-P analysis of rat brain tissue using GTX17570 Dopamine Receptor D2 antibody.
Antigen retrieval : Boiling in sodium citrate buffer (pH6) for 15min
Dilution : 1:400

1 / 3
Anti-Dopamine Receptor D2 antibody used in Western Blot (WB). GTX17570
GTX17570 WB Image

WB analysis of mouse brain tissue lysate using GTX17570 Dopamine Receptor D2 antibody.
Dilution : 1:300
Loading : 40μg

2 / 3
Anti-Dopamine Receptor D2 antibody used in Western Blot (WB). GTX17570
GTX17570 WB Image

WB analysis of U251 cell lysate using GTX17570 Dopamine Receptor D2 antibody.
Dilution : 1:300

3 / 3
Anti-Dopamine Receptor D2 antibody used in IHC (Paraffin sections) (IHC-P). GTX17570
Anti-Dopamine Receptor D2 antibody used in Western Blot (WB). GTX17570
Anti-Dopamine Receptor D2 antibody used in Western Blot (WB). GTX17570
  • 宿主
    Rabbit
  • 克隆
    Polyclonal
  • 同种型
    IgG
  • 实验应用
    WB IHC-P IHC-Fr
  • 种属反应
    Human, Mouse, Rat
查看所有 Dopamine Receptor D2 的产品