Dopamine beta Hydroxylase抗体

目录号 GTX101616
目录号  GTX101616
Anti-Dopamine beta Hydroxylase antibody used in IHC (Paraffin sections) (IHC-P). GTX101616
GTX101616 IHC-P Image

Dopamine beta Hydroxylase antibody detects Dopamine beta Hydroxylase protein at cytoplasm by immunohistochemical analysis.
Sample: Paraffin-embedded mouse brain.
Dopamine beta Hydroxylase stained by Dopamine beta Hydroxylase antibody (GTX101616) diluted at 1:500.
Antigen Retrieval: Citrate buffer, pH 6.0, 15 min

1 / 6
Anti-Dopamine beta Hydroxylase antibody used in Western Blot (WB). GTX101616
GTX101616 WB Image

Various whole cell extracts (30 μg) were separated by 7.5% SDS-PAGE, and the membrane was blotted with Dopamine beta Hydroxylase antibody (GTX101616) diluted at 1:2000. The HRP-conjugated anti-rabbit IgG antibody (GTX213110-01) was used to detect the primary antibody. Corresponding RNA expression data for the same cell lines are based on Human Protein Atlas program.

2 / 6
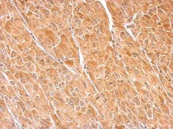
Anti-Dopamine beta Hydroxylase antibody used in IHC (Paraffin sections) (IHC-P). GTX101616
GTX101616 IHC-P Image

Dopamine beta hydroxylase antibody detects DBH protein at cytosol on RT2 xenograft by immunohistochemical analysis.
Sample: Paraffin-embedded RT2 xenograft.
Dopamine beta hydroxylase antibody (GTX101616) dilution: 1:500.

Antigen Retrieval: Trilogy™ (EDTA based, pH 8.0) buffer, 15min

3 / 6
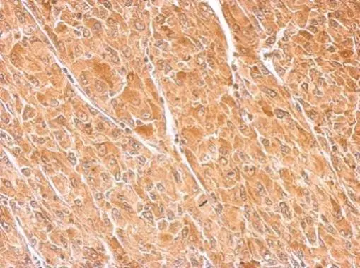
Anti-Dopamine beta Hydroxylase antibody used in IHC (Paraffin sections) (IHC-P). GTX101616
GTX101616 IHC-P Image

Dopamine beta hydroxylase antibody detects DBH protein at cytosol on mouse brain by immunohistochemical analysis.
Sample: Paraffin-embedded mouse brain.
Dopamine beta hydroxylase antibody (GTX101616) dilution: 1:500.

Antigen Retrieval: Trilogy™ (EDTA based, pH 8.0) buffer, 15min

4 / 6
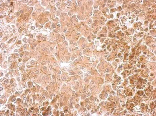
Anti-Dopamine beta Hydroxylase antibody used in IHC (Paraffin sections) (IHC-P). GTX101616
GTX101616 IHC-P Image

Dopamine beta hydroxylase antibody detects DBH protein at cytosol on U87 xenograft by immunohistochemical analysis.
Sample: Paraffin-embedded U87 xenograft.
Dopamine beta hydroxylase antibody (GTX101616) dilution: 1:500.

Antigen Retrieval: Trilogy™ (EDTA based, pH 8.0) buffer, 15min

5 / 6
Anti-Dopamine beta Hydroxylase antibody used in Western Blot (WB). GTX101616
GTX101616 WB Image

Various whole cell extracts (30 μg) were separated by 7.5% SDS-PAGE, and the membranes were blotted with Dopamine beta Hydroxylase antibody (GTX101616) diluted at 1:2000 and competitor's antibody diluted at 1:200. The HRP-conjugated anti-rabbit IgG antibody (GTX213110-01) was used to detect the primary antibody.

*The competitor is not affiliated with GeneTex and does not endorse this product.

6 / 6
Anti-Dopamine beta Hydroxylase antibody used in IHC (Paraffin sections) (IHC-P). GTX101616
Anti-Dopamine beta Hydroxylase antibody used in Western Blot (WB). GTX101616
Anti-Dopamine beta Hydroxylase antibody used in IHC (Paraffin sections) (IHC-P). GTX101616
Anti-Dopamine beta Hydroxylase antibody used in IHC (Paraffin sections) (IHC-P). GTX101616
Anti-Dopamine beta Hydroxylase antibody used in IHC (Paraffin sections) (IHC-P). GTX101616
Anti-Dopamine beta Hydroxylase antibody used in Western Blot (WB). GTX101616
  • 宿主
    Rabbit
  • 克隆
    Polyclonal
  • 同种型
    IgG
  • 实验应用
    WB IHC-P
  • 种属反应
    Human, Mouse, Rat
查看所有 Dopamine beta Hydroxylase 的产品