 
                                                        
                                                    Non-transfected (–) and transfected (+) MCF-7 whole cell extracts (30 μg) were separated by 5% SDS-PAGE, and the membrane was blotted with E-Cadherin antibody (GTX100443) diluted at 1:7000. The HRP-conjugated anti-rabbit IgG antibody (GTX213110-01) was used to detect the primary antibody.
 
                                                            
                                                        
                                                    
                                                                    Various whole cell extracts (30 μg) were separated by 5% SDS-PAGE, and the membranes were blotted with E-Cadherin antibody (GTX100443) diluted at 1:3000 and competitor's antibody diluted at 1:3000. The HRP-conjugated anti-rabbit IgG antibody (GTX213110-01) was used to detect the primary antibody.
*The competitor is not affiliated with GeneTex and does not endorse this product.
                                                                
 
                                                            
                                                        
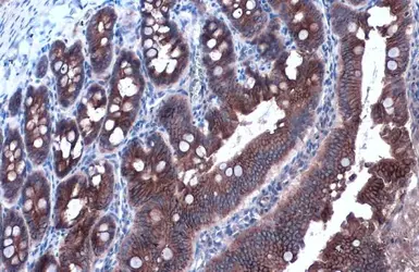
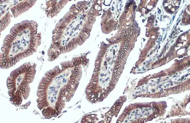
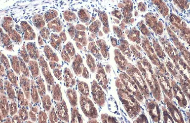
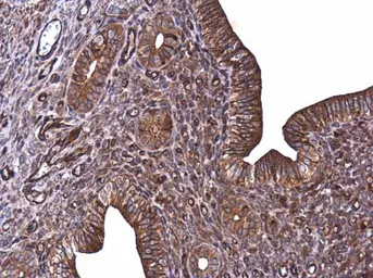
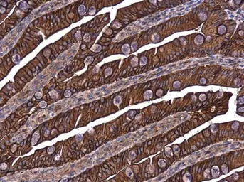
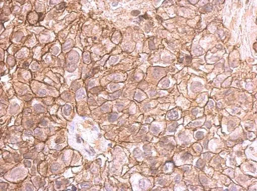
                                                    E-Cadherin antibody detects E-Cadherin protein at cell membrane and cytoplasm by immunohistochemical analysis.Sample: Paraffin-embedded mouse intestine.E-Cadherin stained by E-Cadherin antibody (GTX100443) diluted at 1:500.Antigen Retrieval: Citrate buffer, pH 6.0, 15 min
 
                                                            
                                                        
                                                    
                                                                    E-Cadherin antibody detects E-Cadherin protein at cell membrane by immunofluorescent analysis.
Sample: MCF7 cells were fixed in 4% paraformaldehyde at RT for 15 min.
Green: E-Cadherin protein stained by E-Cadherin antibody (GTX100443) diluted at 1:500.
Blue: Hoechst 33342 staining.
                                                                
 
                                                            
                                                        
                                                    
                                                                    E-Cadherin antibody detects E-Cadherin protein at cell membrane by immunofluorescent analysis.
Sample: A431 cells were fixed in 4% paraformaldehyde at RT for 15 min.
Green: E-Cadherin protein stained by E-Cadherin antibody (GTX100443) diluted at 1:500.
Blue: Hoechst 33342 staining.
                                                                
 
                                                            
                                                        
                                                    E-Cadherin antibody detects E-Cadherin protein at cell membrane by immunofluorescent analysis.Sample: HCT116 cells were fixed in 4% paraformaldehyde at RT for 15 min.Green: E-Cadherin stained by E-Cadherin antibody (GTX100443) diluted at 1:500.Blue: Fluoroshield with DAPI (GTX30920).Scale bar= 10 μm.
 
                                                            
                                                        
                                                    
                                                                    E-cadherin antibody immunoprecipitates E-cadherin protein in IP experiments.
IP samples: MCF-7 whole cell extract
A. Control with 3 μg of preimmune Rabbit IgG
B. Immunoprecipitation of E-cadherin protein by 3 μg E-cadherin antibody (GTX100443)
5 % SDS-PAGE
The immunoprecipitated E-cadherin protein was detected by E-cadherin antibody (GTX100443) diluted at 1:500.
[EasyBlot anti-rabbit IgG (GTX221666-01) was used as a secondary reagent]
                                                                
 
                                                            
                                                        
                                                    The data was published in the journal Front Endocrinol (Lausanne) in 2017. PMID: 29109696
 
                                                            
                                                        
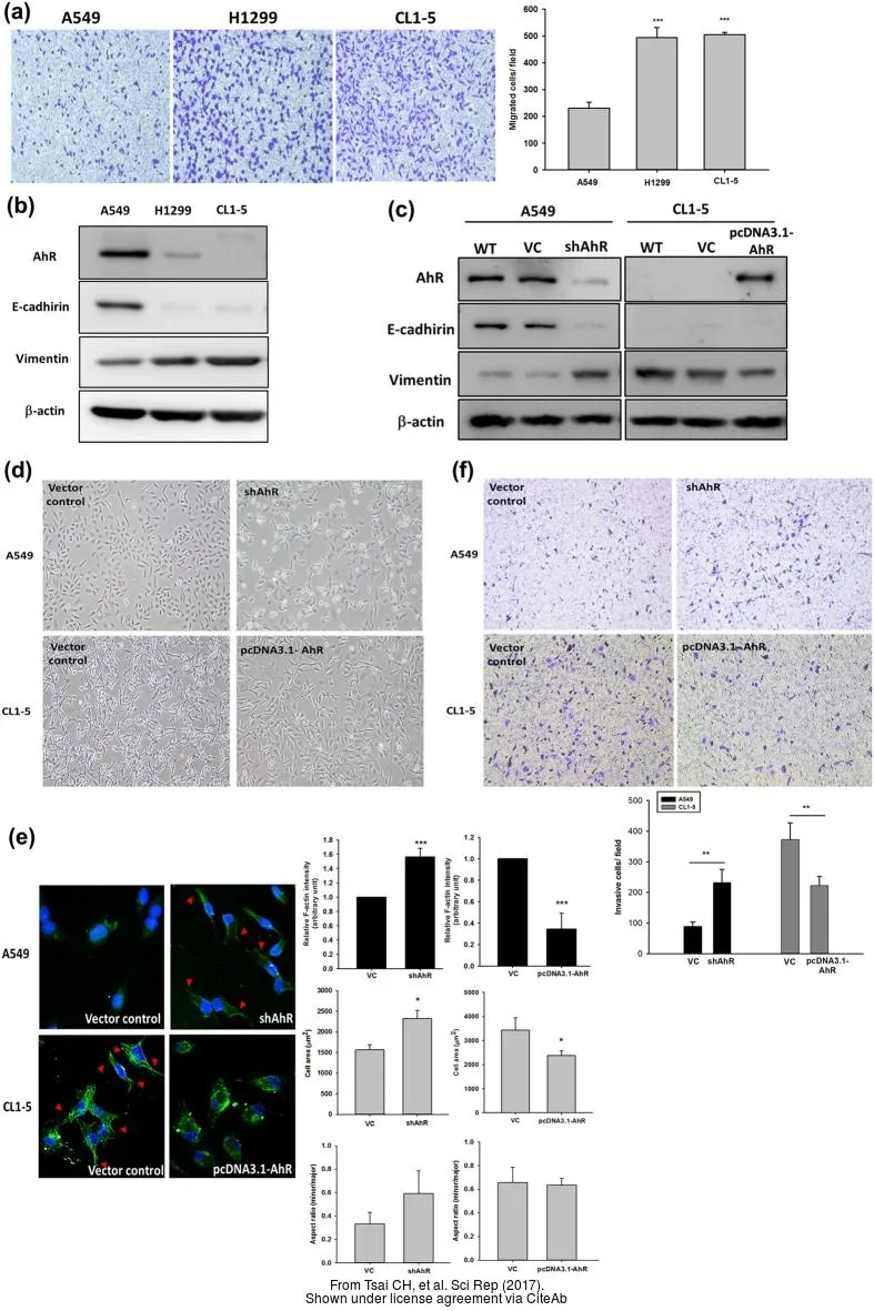
                                                    The data was published in the journal Sci Rep in 2017. PMID: 28195146
 
                                                            
                                                        
                                                    The data was published in the journal PLoS One in 2017. PMID: 28683123
 
                                                            
                                                        
                                                    The data was published in the journal PLoS One in 2017. PMID: 28683123
 
                                                            
                                                        
                                                    The data was published in the journal Evid Based Complement Alternat Med in 2019. PMID: 31186661
 
                                                            
                                                        
                                                    The data was published in the journal Int J Mol Sci in 2019.PMID: 31426484
 
                                                            
                                                        
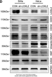
                                                    The data was published in the journal Cell Death Dis in 2020.PMID: 32080178
 
                                                            
                                                        
                                                    The data was published in the 2022 in Front Pharmacol. PMID: 35517780
 
                                                            
                                                        
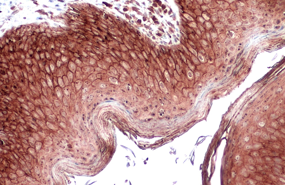
                                                    The data was published in the 2022 in Front Pharmacol. PMID: 35517780
 
                                                            
                                                        
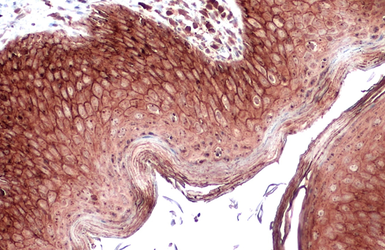
                                                    The data was published in the 2022 in Front Pharmacol. PMID: 35517780
 
                                             
                                             
                                             
                                             
                                             
                                             
                                             
                                             
                                             
                                             
                                                    
                                             
                                                    
                                             
                                                    
                                             
                                                    
                                             
                                                    
                                             
                                                    
                                             
                                                    
                                             
                                                    
                                             
                                                    
                                             
                                                    
                                             
                                                    
                                             
                                                    
                                             
                                                    
                                             
                                                    
                                             
                                                    
                                             
                                                    
                                             
                                                    
                                             
                                                    
                                             
                                                    
                                             
                                                    
                                             
                                                    
                                             
                                                    
                                             
                                                    
                                             
                                                    
                                             
                                                    
                                            - 
                                            宿主Rabbit
- 
                                            克隆Polyclonal
- 
                                                同种型IgG
- 
                                            实验应用WB ICC/IF IHC-P IHC-Wm IP PLA
- 
                                            种属反应Human, Mouse, Rat, Zebrafish, Dog
 
                                             
                                            