ECHS1抗体 [N1C2]

目录号 GTX114376
目录号  GTX114376
Anti-ECHS1 antibody [N1C2] used in Western Blot (WB). GTX114376
GTX114376 WB Image

ECHS1 antibody detects ECHS1 protein by Western blot analysis. Mouse tissue extracts (50 μg) was separated by 12 % SDS-PAGE, and the membrane was blotted with ECHS1 antibody (GTX114376) diluted by 1:5000.

1 / 10
Anti-ECHS1 antibody [N1C2] used in Western Blot (WB). GTX114376
GTX114376 WB Image

ECHS1 antibody detects ECHS1 protein by Western blot analysis. Various whole cell extracts (30 μg) were separated by 12% SDS-PAGE, and the membrane was blotted with ECHS1 antibody (GTX114376) diluted by 1:5000.

2 / 10
Anti-ECHS1 antibody [N1C2] used in Western Blot (WB). GTX114376
GTX114376 WB Image

Various whole cell extracts (30 μg) were separated by 12% SDS-PAGE, and the membrane was blotted with ECHS1 antibody [N1C2] (GTX114376) diluted at 1:500. The HRP-conjugated anti-rabbit IgG antibody (GTX213110-01) was used to detect the primary antibody.

3 / 10
Anti-ECHS1 antibody [N1C2] used in IHC (Paraffin sections) (IHC-P). GTX114376
GTX114376 IHC-P Image

ECHS1 antibody [N1C2] detects ECHS1 protein at mitochondria on mouse liver by immunohistochemical analysis.
Sample: Paraffin-embedded mouse ovary.
ECHS1 antibody [N1C2] (GTX114376) dilution: 1:500.

Antigen Retrieval: Trilogy™ (EDTA based, pH 8.0) buffer, 15min

4 / 10
Anti-ECHS1 antibody [N1C2] used in IHC (Paraffin sections) (IHC-P). GTX114376
GTX114376 IHC-P Image

ECHS1 antibody [N1C2] detects ECHS1 protein at mitochondria on mouse heart by immunohistochemical analysis.
Sample: Paraffin-embedded mouse heart.
ECHS1 antibody [N1C2] (GTX114376) dilution: 1:500.

Antigen Retrieval: Trilogy™ (EDTA based, pH 8.0) buffer, 15min

5 / 10
Anti-ECHS1 antibody [N1C2] used in Immunoprecipitation (IP). GTX114376
GTX114376 IP Image

Immunoprecipitation of ECHS1 protein from 293T whole cell extracts using 5 μg of ECHS1 antibody [N1C2] (GTX114376).
Western blot analysis was performed using ECHS1 antibody [N1C2] (GTX114376).
EasyBlot anti-Rabbit IgG (GTX221666-01) was used as a secondary reagent.

6 / 10
Anti-ECHS1 antibody [N1C2] used in Immunocytochemistry/ Immunofluorescence (ICC/IF). GTX114376
GTX114376 ICC/IF Image

ECHS1 antibody [N1C2] detects ECHS1 protein at mitochondria by immunofluorescent analysis.
Sample: A431 cells were fixed in 2% paraformaldehyde/culture medium at RT for 30 min.
Green: ECHS1 protein stained by ECHS1 antibody [N1C2] (GTX114376) diluted at 1:200.
Blue: Hoechst 33342 staining.

7 / 10
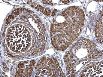
Anti-ECHS1 antibody [N1C2] used in IHC (Paraffin sections) (IHC-P). GTX114376
GTX114376 IHC-P Image

ECHS1 antibody [N1C2] detects ECHS1 protein at mitochondria on mouse ovary by immunohistochemical analysis.
Sample: Paraffin-embedded mouse liver.
ECHS1 antibody [N1C2] (GTX114376) dilution: 1:500.

Antigen Retrieval: Trilogy™ (EDTA based, pH 8.0) buffer, 15min

8 / 10
Anti-ECHS1 antibody [N1C2] used in Immunocytochemistry/ Immunofluorescence (ICC/IF). GTX114376
GTX114376 ICC/IF Image

ECHS1 antibody [N1C2] detects ECHS1 protein at mitochondria by immunofluorescent analysis.
Sample: HeLa cells were fixed in ice-cold MeOH for 5 min.
Green: ECHS1 protein stained by ECHS1 antibody [N1C2] (GTX114376) diluted at 1:500.
Blue: Hoechst 33342 staining.

9 / 10
Anti-ECHS1 antibody [N1C2] used in IHC (Paraffin sections) (IHC-P). GTX114376
GTX114376 IHC-P Image

ECHS1 antibody [N1C2] detects ECHS1 protein at mitochondria on mouse heart by immunohistochemical analysis.
Sample: Paraffin-embedded mouse heart.
ECHS1 antibody [N1C2] (GTX114376) dilution: 1:500.

Antigen Retrieval: Trilogy™ (EDTA based, pH 8.0) buffer, 15min

10 / 10
Anti-ECHS1 antibody [N1C2] used in Western Blot (WB). GTX114376
Anti-ECHS1 antibody [N1C2] used in Western Blot (WB). GTX114376
Anti-ECHS1 antibody [N1C2] used in Western Blot (WB). GTX114376
Anti-ECHS1 antibody [N1C2] used in IHC (Paraffin sections) (IHC-P). GTX114376
Anti-ECHS1 antibody [N1C2] used in IHC (Paraffin sections) (IHC-P). GTX114376
Anti-ECHS1 antibody [N1C2] used in Immunoprecipitation (IP). GTX114376
Anti-ECHS1 antibody [N1C2] used in Immunocytochemistry/ Immunofluorescence (ICC/IF). GTX114376
Anti-ECHS1 antibody [N1C2] used in IHC (Paraffin sections) (IHC-P). GTX114376
Anti-ECHS1 antibody [N1C2] used in Immunocytochemistry/ Immunofluorescence (ICC/IF). GTX114376
Anti-ECHS1 antibody [N1C2] used in IHC (Paraffin sections) (IHC-P). GTX114376
  • 宿主
    Rabbit
  • 克隆
    Polyclonal
  • 同种型
    IgG
  • 实验应用
    WB ICC/IF IHC-P IP
  • 种属反应
    Human, Mouse
查看所有 ECHS1 的产品