EGFR抗体 [N1-2], N-term

目录号 GTX121919
目录号  GTX121919
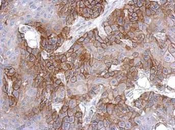
Anti-EGFR antibody [N1-2], N-term used in IHC (Paraffin sections) (IHC-P). GTX121919
GTX121919 IHC-P Image

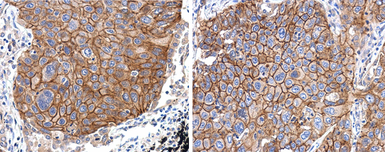
EGFR antibody [N1-2], N-term detects EGFR protein at cell membrane in human non-small cell lung cancer by immunohistochemical analysis.
Sample: Two independent paraffin-embedded human non-small cell lung cancer.
EGFR antibody [N1-2], N-term (GTX121919) diluted at 1:500.

Antigen Retrieval: Citrate buffer, pH 6.0, 15 min

1 / 14
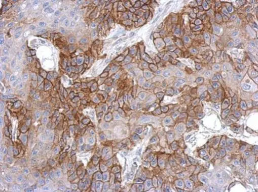
Anti-EGFR antibody [N1-2], N-term used in IHC (Paraffin sections) (IHC-P). GTX121919
GTX121919 IHC-P Image

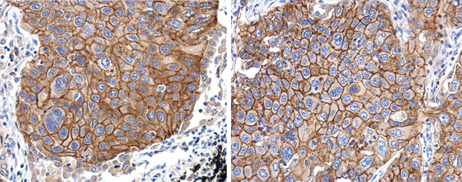
Immunohistochemical analysis of paraffin-embedded Cal27 xenograft, using EGFR(GTX121919) antibody at 1:500 dilution.
Antigen Retrieval: Trilogy™ (EDTA based, pH 8.0) buffer, 15min

2 / 14
Anti-EGFR antibody [N1-2], N-term used in Western Blot (WB). GTX121919
GTX121919 WB Image

Non-transfected (–) and transfected (+) A431 whole cell extracts (15 μg) were separated by 5% SDS-PAGE, and the membrane was blotted with EGFR antibody [N1-2], N-term (GTX121919) diluted at 1:12000. The HRP-conjugated anti-rabbit IgG antibody (GTX213110-01) was used to detect the primary antibody.

3 / 14
Anti-EGFR antibody [N1-2], N-term used in Western Blot (WB). GTX121919
GTX121919 WB Image

Whole cell extract (30 μg) was separated by 5% SDS-PAGE, and the membranes were blotted with EGFR antibody [N1-2], N-term (GTX121919) diluted at 1:500 and competitor's antibody (UM500070) diluted at 1:500. The HRP-conjugated anti-rabbit IgG antibody (GTX213110-01) was used to detect the primary antibody.

*The competitor is not affiliated with GeneTex and does not endorse this product.

4 / 14
Anti-EGFR antibody [N1-2], N-term used in Western Blot (WB). GTX121919
GTX121919 WB Image

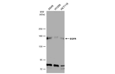
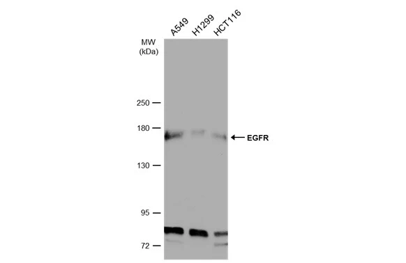
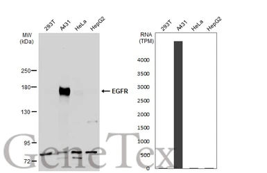
Various whole cell extracts (30 μg) were separated by 5% SDS-PAGE, and the membrane was blotted with EGFR antibody [N1-2], N-term (GTX121919) diluted at 1:500. The HRP-conjugated anti-rabbit IgG antibody (GTX213110-01) was used to detect the primary antibody. Corresponding RNA expression data for the same cell lines are based on Human Protein Atlas program.

5 / 14
Anti-EGFR antibody [N1-2], N-term used in Western Blot (WB). GTX121919
GTX121919 WB Image

Sample (50 μg of whole cell lysate)
A: Mouse brain
5% SDS PAGE
GTX121919 diluted at 1:500
The HRP-conjugated anti-rabbit IgG antibody (GTX213110-01) was used to detect the primary antibody.

6 / 14
Anti-EGFR antibody [N1-2], N-term used in Western Blot (WB). GTX121919
GTX121919 WB Image

Various whole cell extracts (30 μg) were separated by 5% SDS-PAGE, and the membrane was blotted with EGFR antibody [N1-2], N-term (GTX121919) diluted at 1:500. The HRP-conjugated anti-rabbit IgG antibody (GTX213110-01) was used to detect the primary antibody.

7 / 14
Anti-EGFR antibody [N1-2], N-term used in Immunoprecipitation (IP). GTX121919
GTX121919 IP Image

EGFR protein was immunoprecipitated from A549 cell lysate using 5 ug of anti-EGFR antibody (GTX121919). The precipitated EGFR protein was detected by GTX121919 diluted at 1:500, and used EasyBlot anti-rabbit IgG (GTX221666-01) as secondary reagent.
A: A549 cell lysate.
B: IP by EGFR antibody.
7.5% SDS PAGE

8 / 14
Anti-EGFR antibody [N1-2], N-term used in Western Blot (WB). GTX121919
GTX121919 WB Image

The data was published in the journal Nat Commun in 2014. PMID: 25366117

9 / 14
Anti-EGFR antibody [N1-2], N-term used in Western Blot and Immunoprecipitation (WB IP). GTX121919
GTX121919 WB IP Image

The data was published in the journal Nat Commun in 2014. PMID: 25366117

10 / 14
Anti-EGFR antibody [N1-2], N-term used in Western Blot and Immunoprecipitation (WB IP). GTX121919
GTX121919 WB IP Image

The data was published in the journal Nat Commun in 2014. PMID: 25366117

11 / 14
Anti-EGFR antibody [N1-2], N-term used in Western Blot (WB). GTX121919
GTX121919 WB Image

The data was published in the journal PLoS One in 2014.PMID: 25180832

12 / 14
Anti-EGFR antibody [N1-2], N-term used in Western Blot and Immunoprecipitation (WB IP). GTX121919
GTX121919 WB IP Image

The data was published in the journal PLoS One in 2014.PMID: 25180832

13 / 14
Anti-EGFR antibody [N1-2], N-term used in Western Blot (WB). GTX121919
GTX121919 WB Image

The data was published in the journal PLoS One in 2014.PMID: 25180832

14 / 14
Anti-EGFR antibody [N1-2], N-term used in IHC (Paraffin sections) (IHC-P). GTX121919
Anti-EGFR antibody [N1-2], N-term used in IHC (Paraffin sections) (IHC-P). GTX121919
Anti-EGFR antibody [N1-2], N-term used in Western Blot (WB). GTX121919
Anti-EGFR antibody [N1-2], N-term used in Western Blot (WB). GTX121919
Anti-EGFR antibody [N1-2], N-term used in Western Blot (WB). GTX121919
Anti-EGFR antibody [N1-2], N-term used in Western Blot (WB). GTX121919
Anti-EGFR antibody [N1-2], N-term used in Western Blot (WB). GTX121919
Anti-EGFR antibody [N1-2], N-term used in Immunoprecipitation (IP). GTX121919
Anti-EGFR antibody [N1-2], N-term used in Western Blot (WB). GTX121919
Anti-EGFR antibody [N1-2], N-term used in Western Blot and Immunoprecipitation (WB IP). GTX121919
Anti-EGFR antibody [N1-2], N-term used in Western Blot and Immunoprecipitation (WB IP). GTX121919
Anti-EGFR antibody [N1-2], N-term used in Western Blot (WB). GTX121919
Anti-EGFR antibody [N1-2], N-term used in Western Blot and Immunoprecipitation (WB IP). GTX121919
Anti-EGFR antibody [N1-2], N-term used in Western Blot (WB). GTX121919
  • 宿主
    Rabbit
  • 克隆
    Polyclonal
  • 同种型
    IgG
  • 实验应用
    WB ICC/IF IHC-P FCM IP PLA
  • 种属反应
    Human, Mouse, Rat
查看所有 EGFR 的产品