EasyBlocker
目录号 GTX425858
                        目录号  GTX425858
                    
                            - 
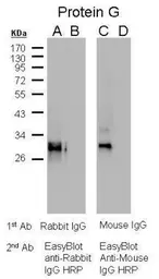
                                            实验应用WB
 摘要
                                    
                                        EasyBlocker for EasyBlot kit
                                    
                                 
                                                        