Enterovirus 71抗体

目录号 GTX124261
目录号  GTX124261
Anti-Enterovirus 71 antibody used in Immunocytochemistry/ Immunofluorescence (ICC/IF). GTX124261
GTX124261 ICC/IF Image

Immunofluorescence analysis of paraformaldehyde-fixed EV71 infected Vero cell, using EV71 (GTX124261) antibody at 1:1000 and 1:5000 dilution.

1 / 5
Anti-Enterovirus 71 antibody used in IHC (Paraffin sections) (IHC-P). GTX124261
GTX124261 IHC-P Image

EV71 antibody detects EV71 viral protein in EV71 infected mouse skeletal muscle by immunohistochemical analysis. Sample: Paraffin-embedded EV71 infected mouse skeletal muscle. EV71 antibody [GTX124261] diluted at 1:500
Antigen Retrieval: Citrate buffer

2 / 5
Anti-Enterovirus 71 antibody used in Western Blot (WB). GTX124261
GTX124261 WB Image

EV71 antibody detects EV71 protein by western blot analysis. Un-infected (-) and infected with EV71 C2 or B4 strain RD whole cell extracts (30 μg) were separated by 10% SDS-PAGE, and the membrane was blotted with EV71 antibody (GTX124261) at a dilution of 1:20000. The HRP-conjugated anti-rabbit IgG antibody (GTX213110-01) was used to detect the primary antibody.

3 / 5
Anti-Enterovirus 71 antibody used in Western Blot (WB). GTX124261
GTX124261 WB Image

Non-infected (–) and infected (+) RD whole cell extracts (30 μg) were separated by 10% SDS-PAGE, and the membrane was blotted with Enterovirus 71 antibody (GTX124261) diluted at 1:20000. The HRP-conjugated anti-rabbit IgG antibody (GTX213110-01) was used to detect the primary antibody.

4 / 5
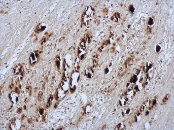
Anti-Enterovirus 71 antibody used in IHC (Paraffin sections) (IHC-P). GTX124261
GTX124261 IHC-P Image

The data was published in the journal Viruses in 2017.PMID: 29156632

5 / 5
Anti-Enterovirus 71 antibody used in Immunocytochemistry/ Immunofluorescence (ICC/IF). GTX124261
Anti-Enterovirus 71 antibody used in IHC (Paraffin sections) (IHC-P). GTX124261
Anti-Enterovirus 71 antibody used in Western Blot (WB). GTX124261
Anti-Enterovirus 71 antibody used in Western Blot (WB). GTX124261
Anti-Enterovirus 71 antibody used in IHC (Paraffin sections) (IHC-P). GTX124261
  • 宿主
    Rabbit
  • 克隆
    Polyclonal
  • 同种型
    IgG
  • 实验应用
    WB ICC/IF IHC-P ELISA
  • 种属反应
    Enterovirus 71
查看所有 Enterovirus 71 的产品