FABP4抗体 [N3C3]

目录号 GTX116036
目录号  GTX116036
Anti-FABP4 antibody [N3C3] used in Western Blot (WB). GTX116036
GTX116036 WB Image

Unstimulatd and stimulatd 3T3-L1 whole cell extracts (20 μg) were separated by 15% SDS-PAGE, and the membrane was blotted with FABP4 antibody [N3C3] (GTX116036) diluted at 1:500. The HRP-conjugated anti-rabbit IgG antibody (GTX213110-01) was used to detect the primary antibody. (The differentiation stimulated medium is composed by basal medium, 10% FBS, 50 ug/ml gentamicin, 1 nM L-glutamin, 500 uM IBMX, 1 uM dexamethasone, 2 uM rosiglitazone and 1 ug/ml insulin.)

1 / 6
Anti-FABP4 antibody [N3C3] used in Western Blot (WB). GTX116036
GTX116036 WB Image

Various whole cell extracts (30 μg) were separated by 15% SDS-PAGE, and the membrane was blotted with FABP4 antibody [N3C3] (GTX116036) diluted at 1:500. The HRP-conjugated anti-rabbit IgG antibody (GTX213110-01) was used to detect the primary antibody.

2 / 6
Anti-FABP4 antibody [N3C3] used in Immunocytochemistry/ Immunofluorescence (ICC/IF). GTX116036
GTX116036 ICC/IF Image

Immunofluorescence analysis of paraformaldehyde-fixed mouse ESC D3, using FABP4 (adipocyte)(GTX116036) antibody at 1:200 dilution.

3 / 6
Anti-FABP4 antibody [N3C3] used in Immunocytochemistry/ Immunofluorescence (ICC/IF). GTX116036
GTX116036 ICC/IF Image

Immunofluorescence analysis of paraformaldehyde-fixed HeLa, using FABP4(GTX116036) antibody at 1:200 dilution.

4 / 6
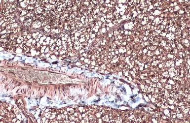
Anti-FABP4 antibody [N3C3] used in IHC (Paraffin sections) (IHC-P). GTX116036
GTX116036 IHC-P Image

FABP4 antibody [N3C3] detects FABP4 protein at cytoplasm and nucleus by immunohistochemical analysis.
Sample: Paraffin-embedded mouse brown adipocyte.
FABP4 stained by FABP4 antibody [N3C3] (GTX116036) diluted at 1:500.
Antigen Retrieval: Citrate buffer, pH 6.0, 15 min

5 / 6
Anti-FABP4 antibody [N3C3] used in Western Blot (WB). GTX116036
GTX116036 WB Image

Various whole cell extracts (30 μg) were separated by 15% SDS-PAGE, and the membrane was blotted with FABP4 antibody [N3C3] (GTX116036) diluted at 1:500. The HRP-conjugated anti-rabbit IgG antibody (GTX213110-01) was used to detect the primary antibody.

6 / 6
Anti-FABP4 antibody [N3C3] used in Western Blot (WB). GTX116036
Anti-FABP4 antibody [N3C3] used in Western Blot (WB). GTX116036
Anti-FABP4 antibody [N3C3] used in Immunocytochemistry/ Immunofluorescence (ICC/IF). GTX116036
Anti-FABP4 antibody [N3C3] used in Immunocytochemistry/ Immunofluorescence (ICC/IF). GTX116036
Anti-FABP4 antibody [N3C3] used in IHC (Paraffin sections) (IHC-P). GTX116036
Anti-FABP4 antibody [N3C3] used in Western Blot (WB). GTX116036
  • 宿主
    Rabbit
  • 克隆
    Polyclonal
  • 同种型
    IgG
  • 实验应用
    WB ICC/IF IHC-P ELISA
  • 种属反应
    Human, Mouse
查看所有 FABP4 的产品