FACL4抗体 [C3], C-term

目录号 GTX100260
目录号  GTX100260
Anti-FACL4 antibody [C3], C-term used in Western Blot (WB). GTX100260
GTX100260 WB Image

Various whole cell extracts (30 μg) were separated by 7.5% SDS-PAGE, and the membrane was blotted with FACL4 antibody [C3], C-term (GTX100260) diluted at 1:1000. The HRP-conjugated anti-rabbit IgG antibody (GTX213110-01) was used to detect the primary antibody.

1 / 10
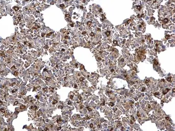
Anti-FACL4 antibody [C3], C-term used in IHC (Paraffin sections) (IHC-P). GTX100260
GTX100260 IHC-P Image

FACL4 antibody [C3], C-term detects FACL4 protein at cytosol on mouse lymph node by immunohistochemical analysis.
Sample: Paraffin-embedded mouse lymph node.
FACL4 antibody [C3], C-term (GTX100260) dilution: 1:500.

Antigen Retrieval: Trilogy™ (EDTA based, pH 8.0) buffer, 15min

2 / 10
Anti-FACL4 antibody [C3], C-term used in Western Blot (WB). GTX100260
GTX100260 WB Image

Various whole cell extracts (30 μg) were separated by 7.5% SDS-PAGE, and the membrane was blotted with FACL4 antibody [C3], C-term (GTX100260) diluted at 1:1000. The HRP-conjugated anti-rabbit IgG antibody (GTX213110-01) was used to detect the primary antibody.

3 / 10
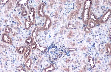
Anti-FACL4 antibody [C3], C-term used in IHC (Paraffin sections) (IHC-P). GTX100260
GTX100260 IHC-P Image

FACL4 antibody [C3], C-term detects FACL4 protein at cell membrane and cytoplasm by immunohistochemical analysis.
Sample: Paraffin-embedded mouse kidney.
FACL4 stained by FACL4 antibody [C3], C-term (GTX100260) diluted at 1:500.
Antigen Retrieval: Citrate buffer, pH 6.0, 15 min

4 / 10
Anti-FACL4 antibody [C3], C-term used in IHC (Paraffin sections) (IHC-P). GTX100260
GTX100260 IHC-P Image

FACL4 antibody [C3], C-term detects FACL4 protein at cytosol on rat middle brain by immunohistochemical analysis.
Sample: Paraffin-embedded rat middle brain.
FACL4 antibody [C3], C-term (GTX100260) dilution: 1:500.

Antigen Retrieval: Trilogy™ (EDTA based, pH 8.0) buffer, 15min

5 / 10
Anti-FACL4 antibody [C3], C-term used in Western Blot (WB). GTX100260
GTX100260 WB Image

Various whole cell extracts (30 μg) were separated by 7.5% SDS-PAGE, and the membrane was blotted with FACL4 antibody [C3], C-term (GTX100260) diluted at 1:1000. The HRP-conjugated anti-rabbit IgG antibody (GTX213110-01) was used to detect the primary antibody.

6 / 10
Anti-FACL4 antibody [C3], C-term used in Immunoprecipitation (IP). GTX100260
GTX100260 IP Image

Immunoprecipitation of FACL4 protein from HeLa whole cell extracts using 5 μg of FACL4 antibody [C3], C-term (GTX100260).
Western blot analysis was performed using FACL4 antibody [C3], C-term (GTX100260) diluted at 1:500.
EasyBlot HRP-conjugated anti rabbit IgG antibody (GTX221666-01) was used to detect the primary antibody.

7 / 10
Anti-FACL4 antibody [C3], C-term used in IHC (Paraffin sections) (IHC-P). GTX100260
GTX100260 IHC-P Image

FACL4 antibody [C3], C-term detects FACL4 protein by immunohistochemical analysis.
Sample: Paraffin-embedded mouse tissues.
FACL4 stained by FACL4 antibody [C3], C-term (GTX100260) diluted at 1:500.
Antigen Retrieval: Citrate buffer, pH 6.0, 15 min

8 / 10
Anti-FACL4 antibody [C3], C-term used in IHC (Paraffin sections) (IHC-P). GTX100260
GTX100260 IHC-P Image

FACL4 antibody [C3], C-term detects FACL4 protein by immunohistochemical analysis.
Sample: Paraffin-embedded rat tissues.
FACL4 stained by FACL4 antibody [C3], C-term (GTX100260) diluted at 1:500.
Antigen Retrieval: Citrate buffer, pH 6.0, 15 min

9 / 10
Anti-FACL4 antibody [C3], C-term used in Immunocytochemistry/ Immunofluorescence (ICC/IF). GTX100260
GTX100260 ICC/IF Image

FACL4 antibody [C3], C-term detects FACL4 protein at cytoplasm by immunofluorescent analysis.
Sample: HeLa cells were fixed in 4% paraformaldehyde at RT for 15 min.
Green: FACL4 stained by FACL4 antibody [C3], C-term (GTX100260) diluted at 1:500.
Red: alpha Tubulin, a cytoskeleton marker, stained by alpha Tubulin antibody [GT114] (GTX628802) diluted at 1:1000.
Blue: Fluoroshield with DAPI (GTX30920).

10 / 10
Anti-FACL4 antibody [C3], C-term used in Western Blot (WB). GTX100260
Anti-FACL4 antibody [C3], C-term used in IHC (Paraffin sections) (IHC-P). GTX100260
Anti-FACL4 antibody [C3], C-term used in Western Blot (WB). GTX100260
Anti-FACL4 antibody [C3], C-term used in IHC (Paraffin sections) (IHC-P). GTX100260
Anti-FACL4 antibody [C3], C-term used in IHC (Paraffin sections) (IHC-P). GTX100260
Anti-FACL4 antibody [C3], C-term used in Western Blot (WB). GTX100260
Anti-FACL4 antibody [C3], C-term used in Immunoprecipitation (IP). GTX100260
Anti-FACL4 antibody [C3], C-term used in IHC (Paraffin sections) (IHC-P). GTX100260
Anti-FACL4 antibody [C3], C-term used in IHC (Paraffin sections) (IHC-P). GTX100260
Anti-FACL4 antibody [C3], C-term used in Immunocytochemistry/ Immunofluorescence (ICC/IF). GTX100260
  • 宿主
    Rabbit
  • 克隆
    Polyclonal
  • 同种型
    IgG
  • 实验应用
    WB ICC/IF IHC-P IP
  • 种属反应
    Human, Mouse, Rat
查看所有 FACL4 的产品