FIS1抗体 [GT9810]

目录号 GTX631209
目录号  GTX631209
Anti-FIS1 antibody [GT9810] used in Immunocytochemistry/ Immunofluorescence (ICC/IF). GTX631209
GTX631209 ICC/IF Image

FIS1 antibody detects FIS1 protein at mitochondria by immunofluorescent analysis.
Sample: HeLa cells were fixed in 2% paraformaldehyde/culture medium at 37oC for 30 min.
Green: FIS1 protein stained by FIS1 antibody (GTX631209) diluted at 1:20000.
Red: MitoTrackerR Red CMXRos, a mitochondria tracker.
Blue: Hoechst 33342 staining.
Scale bar = 10 μm.

1 / 5
Anti-FIS1 antibody [GT9810] used in Western Blot (WB). GTX631209
GTX631209 WB Image

Non-transfected (–) and transfected (+) HeLa whole cell extracts (30 μg) were separated by 15% SDS-PAGE, and the membrane was blotted with FIS1 antibody [GT9810] (GTX631209) diluted at 1:500.

2 / 5
Anti-FIS1 antibody [GT9810] used in Western Blot (WB). GTX631209
GTX631209 WB Image

Whole cell extract (30 μg) was separated by 15% SDS-PAGE, and the membrane was blotted with FIS1 antibody [GT9810] (GTX631209) diluted at 1:500. The HRP-conjugated anti-mouse IgG antibody (GTX213111-01) was used to detect the primary antibody.

3 / 5
Anti-FIS1 antibody [GT9810] used in Western Blot (WB). GTX631209
GTX631209 WB Image

FIS1 antibody [GT9810] detects FIS1 protein by western blot analysis. Whole cell extracts (30 μg) was separated by 15 % SDS-PAGE, and blotted with FIS1 antibody [GT9810] (GTX631209) diluted by 1:1000

4 / 5
Anti-FIS1 antibody [GT9810] used in Western Blot (WB). GTX631209
GTX631209 WB Image

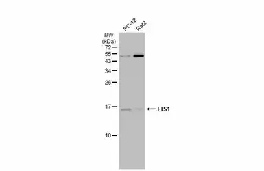
Various whole cell extracts (30 μg) were separated by 15% SDS-PAGE, and the membrane was blotted with FIS1 antibody [GT9810] (GTX631209) diluted at 1:500. The HRP-conjugated anti-mouse IgG antibody (GTX213111-01) was used to detect the primary antibody.

5 / 5
Anti-FIS1 antibody [GT9810] used in Immunocytochemistry/ Immunofluorescence (ICC/IF). GTX631209
Anti-FIS1 antibody [GT9810] used in Western Blot (WB). GTX631209
Anti-FIS1 antibody [GT9810] used in Western Blot (WB). GTX631209
Anti-FIS1 antibody [GT9810] used in Western Blot (WB). GTX631209
Anti-FIS1 antibody [GT9810] used in Western Blot (WB). GTX631209
  • 宿主
    Mouse
  • 克隆
    Monoclonal
  • 克隆编号
    GT9810
  • 同种型
    IgG2a
  • 实验应用
    WB ICC/IF
  • 种属反应
    Human, Mouse, Rat
查看所有 FIS1 的产品