FOXO3A抗体 [C3], C-term

目录号 GTX100277
目录号  GTX100277
Anti-FOXO3A antibody [C3], C-term used in Western Blot (WB). GTX100277
GTX100277 WB Image

Non-transfected (–) and transfected (+) C2C12 whole cell extracts (30 μg) were separated by 7.5% SDS-PAGE, and the membrane was blotted with FOXO3A antibody [C3], C-term (GTX100277) diluted at 1:500. The HRP-conjugated anti-rabbit IgG antibody (GTX213110-01) was used to detect the primary antibody.

1 / 13
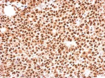
Anti-FOXO3A antibody [C3], C-term used in IHC (Paraffin sections) (IHC-P). GTX100277
GTX100277 IHC-P Image

FOXO3A antibody [C3], C-term detects FOXO3A protein at cell membrane and cytoplasm by immunohistochemical analysis.
Sample: Paraffin-embedded human glioblastoma.
FOXO3A stained by FOXO3A antibody [C3], C-term (GTX100277) diluted at 1:500.
Antigen Retrieval: Citrate buffer, pH 6.0, 15 min

2 / 13
Anti-FOXO3A antibody [C3], C-term used in IHC (Paraffin sections) (IHC-P). GTX100277
GTX100277 IHC-P Image

FOXO3A antibody [C3], C-term detects FOXO3A protein at cytoplasm by immunohistochemical analysis.
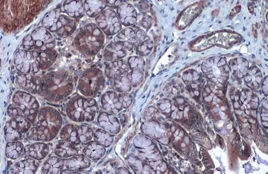
Sample: Paraffin-embedded rat colon.
FOXO3A stained by FOXO3A antibody [C3], C-term (GTX100277) diluted at 1:2000.
Antigen Retrieval: Citrate buffer, pH 6.0, 15 min

3 / 13
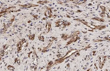
Anti-FOXO3A antibody [C3], C-term used in IHC (Paraffin sections) (IHC-P). GTX100277
GTX100277 IHC-P Image

FOXO3A antibody [C3], C-term detects FOXO3A protein at cytoplasm and nucleus by immunohistochemical analysis.
Sample: Paraffin-embedded rat brain.
FOXO3A stained by FOXO3A antibody [C3], C-term (GTX100277) diluted at 1:2000.
Antigen Retrieval: Citrate buffer, pH 6.0, 15 min

4 / 13
Anti-FOXO3A antibody [C3], C-term used in Western Blot (WB). GTX100277
GTX100277 WB Image

Various whole cell extracts (30 μg) were separated by 7.5% SDS-PAGE, and the membrane was blotted with FOXO3A antibody [C3], C-term (GTX100277) diluted at 1:1000. The HRP-conjugated anti-rabbit IgG antibody (GTX213110-01) was used to detect the primary antibody.

5 / 13
Anti-FOXO3A antibody [C3], C-term used in Immunoprecipitation (IP). GTX100277
GTX100277 IP Image

FOXO3A antibody immunoprecipitates FOXO3A protein in IP experiments. IP Sample: Jurkat whole cell lysate/extract A. Control with 2 μg of preimmune rabbit IgG B. Immunoprecipitation of FOXO3A protein by 2 μg of FOXO3A antibody (GTX101150) 5% SDS-PAGE The immunoprecipitated FOXO3A protein was detected by FOXO3A antibody (GTX101150) diluted at 1:1000. EasyBlot anti-rabbit IgG (GTX221666-01) was used as a secondary reagent.

6 / 13
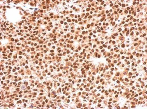
Anti-FOXO3A antibody [C3], C-term used in IHC (Paraffin sections) (IHC-P). GTX100277
GTX100277 IHC-P Image

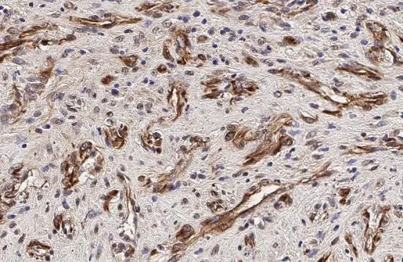
Immunohistochemical analysis of paraffin-embedded Huh-7 xenograft, using FOXO3A(GTX100277) antibody at 1:500 dilution.
Antigen Retrieval: Trilogy™ (EDTA based, pH 8.0) buffer, 15min

7 / 13
Anti-FOXO3A antibody [C3], C-term used in IHC (Paraffin sections) (IHC-P). GTX100277
GTX100277 IHC-P Image

FOXO3A antibody [C3], C-term detects FOXO3A protein at nucleus by immunohistochemical analysis.
Sample: Paraffin-embedded mouse testis.
FOXO3A stained by FOXO3A antibody [C3], C-term (GTX100277) diluted at 1:500.
Antigen Retrieval: Citrate buffer, pH 6.0, 15 min

8 / 13
Anti-FOXO3A antibody [C3], C-term used in Western Blot (WB). GTX100277
GTX100277 WB Image

Sample (50 μg of whole cell lysate)
A: Mouse brain
7.5% SDS PAGE
GTX100277 diluted at 1:500
The HRP-conjugated anti-rabbit IgG antibody (GTX213110-01) was used to detect the primary antibody.

9 / 13
Anti-FOXO3A antibody [C3], C-term used in IHC (Paraffin sections) (IHC-P). GTX100277
GTX100277 IHC-P Image

FOXO3A antibody [C3], C-term detects FOXO3A protein at cytoplasm and nucleus by immunohistochemical analysis.
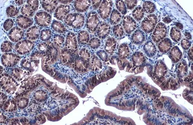
Sample: Paraffin-embedded mouse duodenum.
FOXO3A stained by FOXO3A antibody [C3], C-term (GTX100277) diluted at 1:2000.
Antigen Retrieval: Citrate buffer, pH 6.0, 15 min

10 / 13
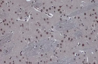
Anti-FOXO3A antibody [C3], C-term used in IHC (Paraffin sections) (IHC-P). GTX100277
GTX100277 IHC-P Image

FOXO3A antibody [C3], C-term detects FOXO3A protein at cytoplasm and nucleus by immunohistochemical analysis.
Sample: Paraffin-embedded mouse brain.
FOXO3A stained by FOXO3A antibody [C3], C-term (GTX100277) diluted at 1:2000.
Antigen Retrieval: Citrate buffer, pH 6.0, 15 min

11 / 13
Anti-FOXO3A antibody [C3], C-term used in Immunocytochemistry/ Immunofluorescence (ICC/IF). GTX100277
GTX100277 ICC/IF Image

FOXO3A antibody [C3], C-term detects FOXO3A protein at nucleus by immunofluorescent analysis.
Sample: HeLa cells were fixed in 4% paraformaldehyde at RT for 15 min.
Green: FOXO3A stained by FOXO3A antibody [C3], C-term (GTX100277) diluted at 1:1000.
Blue: Hoechst 33342 staining.
Scale bar= 10 μm.

12 / 13
Anti-FOXO3A antibody [C3], C-term used in Western Blot (WB). GTX100277
GTX100277 WB Image

Various whole cell extracts (30 μg) were separated by 7.5% SDS-PAGE, and the membrane was blotted with FOXO3A antibody [C3], C-term (GTX100277) diluted at 1:1000. The HRP-conjugated anti-rabbit IgG antibody (GTX213110-01) was used to detect the primary antibody. Corresponding RNA expression data for the same cell lines are based on Human Protein Atlas program.

13 / 13
Anti-FOXO3A antibody [C3], C-term used in Western Blot (WB). GTX100277
Anti-FOXO3A antibody [C3], C-term used in IHC (Paraffin sections) (IHC-P). GTX100277
Anti-FOXO3A antibody [C3], C-term used in IHC (Paraffin sections) (IHC-P). GTX100277
Anti-FOXO3A antibody [C3], C-term used in IHC (Paraffin sections) (IHC-P). GTX100277
Anti-FOXO3A antibody [C3], C-term used in Western Blot (WB). GTX100277
Anti-FOXO3A antibody [C3], C-term used in Immunoprecipitation (IP). GTX100277
Anti-FOXO3A antibody [C3], C-term used in IHC (Paraffin sections) (IHC-P). GTX100277
Anti-FOXO3A antibody [C3], C-term used in IHC (Paraffin sections) (IHC-P). GTX100277
Anti-FOXO3A antibody [C3], C-term used in Western Blot (WB). GTX100277
Anti-FOXO3A antibody [C3], C-term used in IHC (Paraffin sections) (IHC-P). GTX100277
Anti-FOXO3A antibody [C3], C-term used in IHC (Paraffin sections) (IHC-P). GTX100277
Anti-FOXO3A antibody [C3], C-term used in Immunocytochemistry/ Immunofluorescence (ICC/IF). GTX100277
Anti-FOXO3A antibody [C3], C-term used in Western Blot (WB). GTX100277
  • 宿主
    Rabbit
  • 克隆
    Polyclonal
  • 同种型
    IgG
  • 实验应用
    WB ICC/IF IHC-P IP
  • 种属反应
    Human, Mouse, Rat, Squirrel, Xenopus
查看所有 FOXO3A 的产品