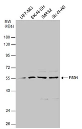
FSD1抗体
目录号 GTX131769
目录号 GTX131769
-
宿主Rabbit
-
克隆Polyclonal
-
同种型IgG
-
实验应用WB ICC/IF IHC-P IHC
-
种属反应Human, Mouse