Fibronectin抗体 [N1N2], N-term

目录号 GTX112794
目录号  GTX112794
Anti-Fibronectin antibody [N1N2], N-term used in Western Blot (WB). GTX112794
GTX112794 WB Image

Non-transfected (–) and transfected (+) HeLa whole cell extracts (30 μg) were separated by 5% SDS-PAGE, and the membrane was blotted with Fibronectin antibody [N1N2], N-term (GTX112794) diluted at 1:2000. The HRP-conjugated anti-rabbit IgG antibody (GTX213110-01) was used to detect the primary antibody, and the signal was developed with Trident ECL plus-Enhanced.

1 / 21
Anti-Fibronectin antibody [N1N2], N-term used in Western Blot (WB). GTX112794
GTX112794 WB Image

Various whole cell extracts (30 μg) were separated by 5% SDS-PAGE, and the membrane was blotted with Fibronectin antibody [N1N2], N-term (GTX112794) diluted at 1:1000. The HRP-conjugated anti-rabbit IgG antibody (GTX213110-01) was used to detect the primary antibody. Corresponding RNA expression data for the same cell lines are based on Human Protein Atlas program.

2 / 21
Anti-Fibronectin antibody [N1N2], N-term used in Immunoprecipitation (IP). GTX112794
GTX112794 IP Image

Fibronectin antibody [N1N2], N-term immunoprecipitates Fibronectin protein in IP experiments. IP Sample: HeLa whole cell lysate/extract A : 30 μg whole cell lysate/extract of Fibronectin protein expressing HeLa cells B : Control with 3 μg of pre-immune rabbit IgG C : Immunoprecipitation of Fibronectin by 3 μg of Fibronectin antibody [N1N2], N-term (GTX112794) 5% SDS-PAGE The immunoprecipitated Fibronectin protein was detected by Fibronectin antibody [N1N2], N-term (GTX112794) diluted at 1 : 1000. EasyBlot anti-rabbit IgG (HRP) (GTX221666-01) was used as a secondary reagent.

3 / 21
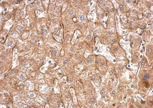
Anti-Fibronectin antibody [N1N2], N-term used in IHC (Paraffin sections) (IHC-P). GTX112794
GTX112794 IHC-P Image

Fibronectin antibody [N1N2], N-term detects FN1 protein at cytosol on human hepatoma by immunohistochemical analysis.
Sample: Paraffin-embedded hepatoma.
Fibronectin antibody [N1N2], N-term (GTX112794) dilution: 1:500.

Antigen Retrieval: Trilogy™ (EDTA based, pH 8.0) buffer, 15min

4 / 21
Anti-Fibronectin antibody [N1N2], N-term used in ELISA (ELISA). GTX112794
GTX112794 ELISA Image

Competitive ELISA detection of human fibronectin in plasma using GTX112794. Recombinant or purified native Fibronectin protein was coated to an ELISA plate at concentration of 10 μg/ml. Human plasma was applied as the competitors and was serial diluted at 1, 20, 200, 2000, 20000, 200000X dilutions. The primary antibody concentration was diluted to 14 ng/mL. Rabbit IgG antibody (HRP) (GTX213110-01) was diluted at 1:2,000 and used to detect the primary antibody.

5 / 21
Anti-Fibronectin antibody [N1N2], N-term used in ELISA (ELISA). GTX112794
GTX112794 ELISA Image

Indirect ELISA analysis was performed by coating plate with 100 μL of recombinant Fibronectin protein at concentration of 10 μg/mL. The coated protein is detected with Fibronectin antibody [N1N2], N-term (GTX112794) at rangeing from 0.5 to 140 ng/mL.

6 / 21
Anti-Fibronectin antibody [N1N2], N-term used in Western Blot (WB). GTX112794
GTX112794 WB Image

Fibronectin antibody [N1N2] detects Fibronectin protein by western blot analysis. Mouse tissue extracts (50 μg) was separated by 5% SDS-PAGE, and the membrane was blotted with Fibronectin antibody [N1N2] (GTX112794) diluted at 1:1000. The HRP-conjugated anti-rabbit IgG antibody (GTX213110-01) was used to detect the primary antibody.

7 / 21
Anti-Fibronectin antibody [N1N2], N-term used in Immunocytochemistry/ Immunofluorescence (ICC/IF). GTX112794
GTX112794 ICC/IF Image

Immunofluorescence analysis of paraformaldehyde-fixed HeLa, using Fibronectin (GTX112794) antibody at 1:200 dilution.

8 / 21
Anti-Fibronectin antibody [N1N2], N-term used in Western Blot (WB). GTX112794
GTX112794 WB Image

Untreated (–) and treated (+) HepG2 whole cell extracts (30 μg) were separated by 5% SDS-PAGE, and the membrane was blotted with Fibronectin antibody [N1N2], N-term (GTX112794) diluted at 1:1000. The HRP-conjugated anti-rabbit IgG antibody (GTX213110-01) was used to detect the primary antibody.

9 / 21
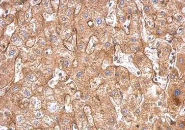
Anti-Fibronectin antibody [N1N2], N-term used in IHC (Paraffin sections) (IHC-P). GTX112794
GTX112794 IHC-P Image

Fibronectin antibody [N1N2], N-term detects Fibronectin protein at cell membrane by immunohistochemical analysis.
Sample: Paraffin-embedded mouse esophagus.
Fibronectin stained by Fibronectin antibody [N1N2], N-term (GTX112794) diluted at 1:500.
Antigen Retrieval: Citrate buffer, pH 6.0, 15 min

10 / 21
Anti-Fibronectin antibody [N1N2], N-term used in IHC (Paraffin sections) (IHC-P). GTX112794
GTX112794 IHC-P Image

Fibronectin antibody [N1N2], N-term detects Fibronectin protein at cell membrane by immunohistochemical analysis.
Sample: Paraffin-embedded rat colon.
Fibronectin stained by Fibronectin antibody [N1N2], N-term (GTX112794) diluted at 1:500.
Antigen Retrieval: Citrate buffer, pH 6.0, 15 min

11 / 21
Anti-Fibronectin antibody [N1N2], N-term used in Western Blot (WB). GTX112794
GTX112794 WB Image

The data was published in the journal EMBO Rep in 2020. PMID: 31908141

12 / 21
Anti-Fibronectin antibody [N1N2], N-term used in Western Blot (WB). GTX112794
GTX112794 WB Image

The data was published in the journal EMBO Rep in 2020. PMID: 31908141

13 / 21
Anti-Fibronectin antibody [N1N2], N-term used in Western Blot (WB). GTX112794
GTX112794 WB Image

The data was published in the journal EMBO Rep in 2020. PMID: 31908141

14 / 21
Anti-Fibronectin antibody [N1N2], N-term used in Immunocytochemistry/ Immunofluorescence (ICC/IF). GTX112794
GTX112794 ICC/IF Image

The data was published in the journal Oncotarget in 2016.PMID: 26840566

15 / 21
Anti-Fibronectin antibody [N1N2], N-term used in IHC (Paraffin sections) (IHC-P). GTX112794
GTX112794 IHC-P Image

The data was published in the journal Oncotarget in 2016.PMID: 26840566

16 / 21
Anti-Fibronectin antibody [N1N2], N-term used in Western Blot (WB). GTX112794
GTX112794 WB Image

The data was published in the journal Nat Commun in 2017.PMID: 28102225

17 / 21
Anti-Fibronectin antibody [N1N2], N-term used in Western Blot (WB). GTX112794
GTX112794 WB Image

The data was published in the journal Nat Commun in 2017.PMID: 28102225

18 / 21
Anti-Fibronectin antibody [N1N2], N-term used in Western Blot (WB). GTX112794
GTX112794 WB Image

The data was published in the journal Oncotarget in 2015. PMID: 25460509

19 / 21
Anti-Fibronectin antibody [N1N2], N-term used in Western Blot (WB). GTX112794
GTX112794 WB Image

The data was published in the journal Nat Commun in 2015. PMID: 26245647

20 / 21
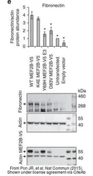
Anti-Fibronectin antibody [N1N2], N-term used in Western Blot (WB). GTX112794
GTX112794 WB Image

The data was published in the journal Nat Commun in 2015. PMID: 26245647

21 / 21
Anti-Fibronectin antibody [N1N2], N-term used in Western Blot (WB). GTX112794
Anti-Fibronectin antibody [N1N2], N-term used in Western Blot (WB). GTX112794
Anti-Fibronectin antibody [N1N2], N-term used in Immunoprecipitation (IP). GTX112794
Anti-Fibronectin antibody [N1N2], N-term used in IHC (Paraffin sections) (IHC-P). GTX112794
Anti-Fibronectin antibody [N1N2], N-term used in ELISA (ELISA). GTX112794
Anti-Fibronectin antibody [N1N2], N-term used in ELISA (ELISA). GTX112794
Anti-Fibronectin antibody [N1N2], N-term used in Western Blot (WB). GTX112794
Anti-Fibronectin antibody [N1N2], N-term used in Immunocytochemistry/ Immunofluorescence (ICC/IF). GTX112794
Anti-Fibronectin antibody [N1N2], N-term used in Western Blot (WB). GTX112794
Anti-Fibronectin antibody [N1N2], N-term used in IHC (Paraffin sections) (IHC-P). GTX112794
Anti-Fibronectin antibody [N1N2], N-term used in IHC (Paraffin sections) (IHC-P). GTX112794
Anti-Fibronectin antibody [N1N2], N-term used in Western Blot (WB). GTX112794
Anti-Fibronectin antibody [N1N2], N-term used in Western Blot (WB). GTX112794
Anti-Fibronectin antibody [N1N2], N-term used in Western Blot (WB). GTX112794
Anti-Fibronectin antibody [N1N2], N-term used in Immunocytochemistry/ Immunofluorescence (ICC/IF). GTX112794
Anti-Fibronectin antibody [N1N2], N-term used in IHC (Paraffin sections) (IHC-P). GTX112794
Anti-Fibronectin antibody [N1N2], N-term used in Western Blot (WB). GTX112794
Anti-Fibronectin antibody [N1N2], N-term used in Western Blot (WB). GTX112794
Anti-Fibronectin antibody [N1N2], N-term used in Western Blot (WB). GTX112794
Anti-Fibronectin antibody [N1N2], N-term used in Western Blot (WB). GTX112794
Anti-Fibronectin antibody [N1N2], N-term used in Western Blot (WB). GTX112794
  • 宿主
    Rabbit
  • 克隆
    Polyclonal
  • 同种型
    IgG
  • 实验应用
    WB ICC/IF IHC-P IHC-Fr IP ELISA
  • 种属反应
    Human, Mouse, Rat
摘要
Fibronectin antibody recognizes fibronectin protein, which is an extracellular glycoprotein (predicted molecular weight of 272 kDa) that exists in two forms. Insoluble fibronectin, made by fibroblasts, chondrocytes, endothelial cells, macrophages, and certain epithelial cells, binds to multiple matrix proteins such as collagens, syndecans, and integrins to mediate cell adhesion and migration. Soluble fibronectin, produced by hepatocytes as a component of vertebrate blood plasma, is involved in blood clotting and wound repair.
查看所有 Fibronectin 的产品