GAD67抗体

目录号 GTX101881
目录号  GTX101881
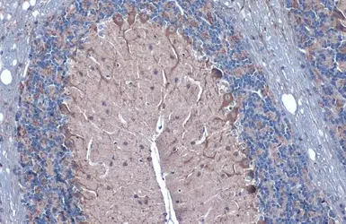
Anti-GAD67 antibody used in IHC (Paraffin sections) (IHC-P). GTX101881
GTX101881 IHC-P Image

GAD67 antibody detects GAD67 protein at cell membrane and cytoplasm by immunohistochemical analysis.
Sample: Paraffin-embedded rat cerebellum.
GAD67 stained by GAD67 antibody (GTX101881) diluted at 1:1000.
Antigen Retrieval: Citrate buffer, pH 6.0, 15 min

1 / 14
Anti-GAD67 antibody used in IHC (Paraffin sections) (IHC-P). GTX101881
GTX101881 IHC-P Image

GAD67 antibody detects GAD67 protein at cell membrane and cytoplasm by immunohistochemical analysis.
Sample: Paraffin-embedded mouse cerebellum.
GAD67 stained by GAD67 antibody (GTX101881) diluted at 1:1000.
Antigen Retrieval: Citrate buffer, pH 6.0, 15 min

2 / 14
Anti-GAD67 antibody used in Western Blot (WB). GTX101881
GTX101881 WB Image

GAD67 antibody detects GAD67 protein by western blot analysis.
A. 30 μg 293T whole cell lysate/extract
B. 30 μg whole cell lysate/extract of human GAD1-transfected 293T cells
7.5% SDS-PAGE
GAD67 antibody (GTX101881) dilution: 1:5000
The HRP-conjugated anti-rabbit IgG antibody (GTX213110-01) was used to detect the primary antibody.

3 / 14
Anti-GAD67 antibody used in IHC (Paraffin sections) (IHC-P). GTX101881
GTX101881 IHC-P Image

GAD67 antibody detects GAD67 protein at cell membrane and cytoplasm by immunohistochemical analysis.
Sample: Paraffin-embedded mouse eye.
Green: GAD67 stained by GAD67 antibody (GTX101881) diluted at 1:250.
Red: beta Tubulin 3/ Tuj1, a neural marker, stained by beta Tubulin 3/ Tuj1 antibody [GT11710] (GTX631836) diluted at 1:500.
Blue: Fluoroshield with DAPI (GTX30920).
Antigen Retrieval: Citrate buffer, pH 6.0, 15 min

4 / 14
Anti-GAD67 antibody used in Immunocytochemistry/ Immunofluorescence (ICC/IF). GTX101881
GTX101881 ICC/IF Image

GAD67 antibody detects GAD67 protein by immunofluorescent analysis.
Sample: DIV10 rat E18 primary cortical neuron cells were fixed in 4% paraformaldehyde at RT for 15 min.
Green: GAD67 stained by GAD67 antibody (GTX101881) diluted at 1:500.
Red: Tau, stained by Tau antibody [GT287] (GTX634809) diluted at 1:500.
Blue: Fluoroshield with DAPI (GTX30920).

5 / 14
Anti-GAD67 antibody used in Immunocytochemistry/ Immunofluorescence (ICC/IF). GTX101881
GTX101881 ICC/IF Image

GAD67 antibody detects GAD67 protein by immunofluorescent analysis.
Sample: Mock and transfected 293T cells were fixed in 4% paraformaldehyde at RT for 15 min.
Green: GAD67 stained by GAD67 antibody (GTX101881) diluted at 1:500.
Blue: Fluoroshield with DAPI (GTX30920).

6 / 14
Anti-GAD67 antibody used in IHC (Paraffin sections) (IHC-P). GTX101881
GTX101881 IHC-P Image

GAD67 antibody detects GAD67 protein at cytoplasm by immunohistochemical analysis.
Sample: Paraffin-embedded mouse brain.
GAD67 stained by GAD67 antibody (GTX101881) diluted at 1:500.
Antigen Retrieval: Citrate buffer, pH 6.0, 15 min

7 / 14
Anti-GAD67 antibody used in Western Blot (WB). GTX101881
GTX101881 WB Image

Various whole cell extracts (30 μg) were separated by 7.5% SDS-PAGE, and the membrane was blotted with GAD67 antibody (GTX101881) diluted at 1:500. The HRP-conjugated anti-rabbit IgG antibody (GTX213110-01) was used to detect the primary antibody.

8 / 14
Anti-GAD67 antibody used in IHC (Paraffin sections) (IHC-P). GTX101881
GTX101881 IHC-P Image

GAD67 antibody detects GAD67 protein at cytoplasm by immunohistochemical analysis.
Sample: Paraffin-embedded rat brain.
GAD67 stained by GAD67 antibody (GTX101881) diluted at 1:500.
Antigen Retrieval: Citrate buffer, pH 6.0, 15 min

9 / 14
Anti-GAD67 antibody used in Western Blot (WB). GTX101881
GTX101881 WB Image

Human tissue extract (30 μg) was separated by 7.5% SDS-PAGE, and the membrane was blotted with GAD67 antibody (GTX101881) diluted at 1:1000. The HRP-conjugated anti-rabbit IgG antibody (GTX213110-01) was used to detect the primary antibody.

10 / 14
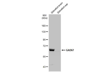
Anti-GAD67 antibody used in Western Blot (WB). GTX101881
GTX101881 WB Image

Various tissue extracts (50 μg) were separated by 7.5% SDS-PAGE, and the membrane was blotted with GAD67 antibody (GTX101881) diluted at 1:1000. The HRP-conjugated anti-rabbit IgG antibody (GTX213110-01) was used to detect the primary antibody.

11 / 14
Anti-GAD67 antibody used in IHC (Whole mount) (IHC-Wm). GTX101881
GTX101881 IHC-Wm Image

GAD67 antibody detects GAD67 protein on myofiber membranes by immunohistochemical analysis.
Sample: Whole-mount zebrafish embryo
GAD67 antibody (GTX101881) dilution: 1:200.

12 / 14
Anti-GAD67 antibody used in Immunohistochemistry (IHC). GTX101881
GTX101881 IHC Image

GAD67 antibody detects GAD67 protein on myofiber membranes by immunohistochemical analysis.
Sample: Agarose-embedded zebrafish embryo
GAD67 antibody (GTX101881) dilution: 1:200.
Image provided with permission courtesy of Dr. T. Schilling at UC, Irvine.

13 / 14
Anti-GAD67 antibody used in Western Blot (WB). GTX101881
GTX101881 WB Image

Various tissue extracts (30 μg) were separated by 7.5% SDS-PAGE, and the membrane was blotted with GAD67 antibody (GTX101881) diluted at 1:500. The HRP-conjugated anti-rabbit IgG antibody (GTX213110-01) was used to detect the primary antibody.

14 / 14
Anti-GAD67 antibody used in IHC (Paraffin sections) (IHC-P). GTX101881
Anti-GAD67 antibody used in IHC (Paraffin sections) (IHC-P). GTX101881
Anti-GAD67 antibody used in Western Blot (WB). GTX101881
Anti-GAD67 antibody used in IHC (Paraffin sections) (IHC-P). GTX101881
Anti-GAD67 antibody used in Immunocytochemistry/ Immunofluorescence (ICC/IF). GTX101881
Anti-GAD67 antibody used in Immunocytochemistry/ Immunofluorescence (ICC/IF). GTX101881
Anti-GAD67 antibody used in IHC (Paraffin sections) (IHC-P). GTX101881
Anti-GAD67 antibody used in Western Blot (WB). GTX101881
Anti-GAD67 antibody used in IHC (Paraffin sections) (IHC-P). GTX101881
Anti-GAD67 antibody used in Western Blot (WB). GTX101881
Anti-GAD67 antibody used in Western Blot (WB). GTX101881
Anti-GAD67 antibody used in IHC (Whole mount) (IHC-Wm). GTX101881
Anti-GAD67 antibody used in Immunohistochemistry (IHC). GTX101881
Anti-GAD67 antibody used in Western Blot (WB). GTX101881
  • 宿主
    Rabbit
  • 克隆
    Polyclonal
  • 同种型
    IgG
  • 实验应用
    WB ICC/IF IHC-P IHC-Fr IHC-Wm IHC IHC (Free Floating)
  • 种属反应
    Human, Mouse, Rat, Zebrafish, Monkey
查看所有 GAD67 的产品