GK5抗体

目录号 GTX107498
目录号  GTX107498
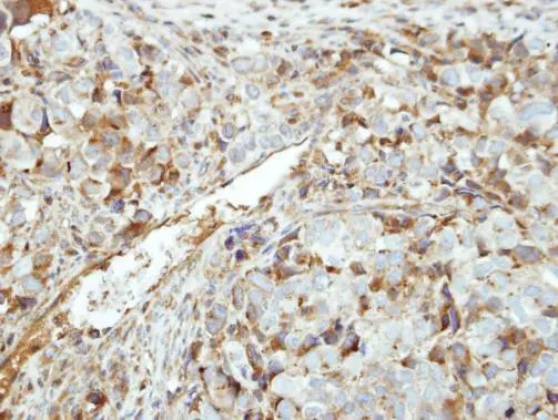
Anti-GK5 antibody used in IHC (Paraffin sections) (IHC-P). GTX107498
GTX107498 IHC-P Image

Immunohistochemical analysis of paraffin-embedded CL1-0 xenograft, using GK5(GTX107498) antibody at 1:500 dilution.
Antigen Retrieval: Citrate buffer, pH 6.0, 15 min

1 / 2
Anti-GK5 antibody used in Western Blot (WB). GTX107498
GTX107498 WB Image

Sample (30 ug of whole cell lysate)
A: A431 (GTX27909)
10% SDS PAGE
GTX107498 diluted at 1:1000

2 / 2
Anti-GK5 antibody used in IHC (Paraffin sections) (IHC-P). GTX107498
Anti-GK5 antibody used in Western Blot (WB). GTX107498
  • 宿主
    Rabbit
  • 克隆
    Polyclonal
  • 同种型
    IgG
  • 实验应用
    WB IHC-P
  • 种属反应
    Human
查看所有 GK5 的产品