GOLGA5抗体 [N2C2], Internal

目录号 GTX104255
目录号  GTX104255
Anti-GOLGA5 antibody [N2C2], Internal used in Immunocytochemistry/ Immunofluorescence (ICC/IF). GTX104255
GTX104255 ICC/IF Image

Confocal immunofluorescence analysis (Olympus FV10i) of methanol-fixed HeLa, using GOLGA5(GTX104255) antibody (Green) at 1:500 dilution. Alpha-tubulin filaments were labeled with GTX11304 (Red) at 1:2500.

1 / 6
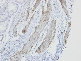
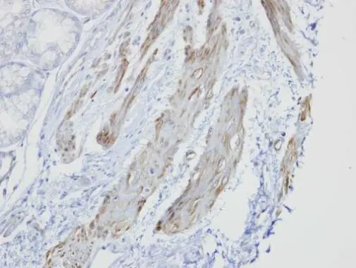
Anti-GOLGA5 antibody [N2C2], Internal used in IHC (Paraffin sections) (IHC-P). GTX104255
GTX104255 IHC-P Image

Immunohistochemical analysis of paraffin-embedded human smooth muscle, using GOLGA5(GTX104255) antibody at 1:100 dilution.
Antigen Retrieval: Trilogy™ (EDTA based, pH 8.0) buffer, 15min

2 / 6
Anti-GOLGA5 antibody [N2C2], Internal used in Western Blot (WB). GTX104255
GTX104255 WB Image

Sample (30 ug of whole cell lysate)
A: A549
7.5% SDS PAGE
GTX104255 diluted at 1:1000

3 / 6
Anti-GOLGA5 antibody [N2C2], Internal used in Western Blot (WB). GTX104255
GTX104255 WB Image

Sample (50 ug of whole cell lysate)
A: Mouse brain
7.5% SDS PAGE
GTX104255 diluted at 1:1000

4 / 6
Anti-GOLGA5 antibody [N2C2], Internal used in Immunocytochemistry/ Immunofluorescence (ICC/IF). GTX104255
GTX104255 ICC/IF Image

The data was published in the journal Sci Rep in 2017. PMID: 28615694

5 / 6
Anti-GOLGA5 antibody [N2C2], Internal used in Immunocytochemistry/ Immunofluorescence (ICC/IF). GTX104255
GTX104255 ICC/IF Image

The data was published in the journal Wellcome Open Res in 2019.PMID: 32030357

6 / 6
Anti-GOLGA5 antibody [N2C2], Internal used in Immunocytochemistry/ Immunofluorescence (ICC/IF). GTX104255
Anti-GOLGA5 antibody [N2C2], Internal used in IHC (Paraffin sections) (IHC-P). GTX104255
Anti-GOLGA5 antibody [N2C2], Internal used in Western Blot (WB). GTX104255
Anti-GOLGA5 antibody [N2C2], Internal used in Western Blot (WB). GTX104255
Anti-GOLGA5 antibody [N2C2], Internal used in Immunocytochemistry/ Immunofluorescence (ICC/IF). GTX104255
Anti-GOLGA5 antibody [N2C2], Internal used in Immunocytochemistry/ Immunofluorescence (ICC/IF). GTX104255
  • 宿主
    Rabbit
  • 克隆
    Polyclonal
  • 同种型
    IgG
  • 实验应用
    WB ICC/IF IHC-P
  • 种属反应
    Human, Mouse, Hamster
查看所有 GOLGA5 的产品