GOLPH2抗体 [C3], C-term

目录号 GTX107702
目录号  GTX107702
Anti-GOLPH2 antibody [C3], C-term used in Western Blot (WB). GTX107702
GTX107702 WB Image

Wild-type (WT) and GOLPH2 knockout (KO) 293T cell extracts (30 μg) were separated by 7.5% SDS-PAGE, and the membrane was blotted with GOLPH2 antibody [C3], C-term (GTX107702) diluted at 1:500. The HRP-conjugated anti-rabbit IgG antibody (GTX213110-01) was used to detect the primary antibody.

1 / 10
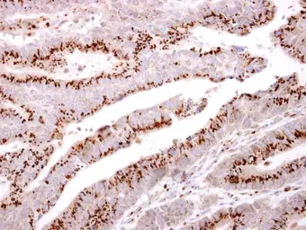
Anti-GOLPH2 antibody [C3], C-term used in IHC (Paraffin sections) (IHC-P). GTX107702
GTX107702 IHC-P Image

GOLPH2 antibody [C3], C-term detects GOLPH2 protein at cytoplasm by immunohistochemical analysis.
Sample: Paraffin-embedded human endometrial carcinoma.
GOLPH2 stained by GOLPH2 antibody [C3], C-term (GTX107702) diluted at 1:1000.
Antigen Retrieval: Citrate buffer, pH 6.0, 15 min

2 / 10
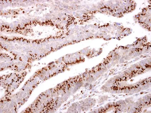
Anti-GOLPH2 antibody [C3], C-term used in IHC (Paraffin sections) (IHC-P). GTX107702
GTX107702 IHC-P Image

GOLPH2 antibody [C3], C-term detects GOLPH2 protein at cytoplasm by immunohistochemical analysis.
Sample: Paraffin-embedded human colon cancer.
GOLPH2 stained by GOLPH2 antibody [C3], C-term (GTX107702) diluted at 1:1000.
Antigen Retrieval: Citrate buffer, pH 6.0, 15 min

3 / 10
Anti-GOLPH2 antibody [C3], C-term used in Immunocytochemistry/ Immunofluorescence (ICC/IF). GTX107702
GTX107702 ICC/IF Image

Confocal immunofluorescence analysis (Olympus FV10i) of paraformaldehyde-fixed HeLa, using GOLPH2(GTX107702) antibody (Green) at 1:1000 dilution. Alpha-tubulin filaments were labeled with GTX11304 (Red) at 1:2500.

4 / 10
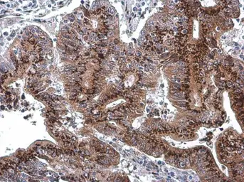
Anti-GOLPH2 antibody [C3], C-term used in IHC (Paraffin sections) (IHC-P). GTX107702
GTX107702 IHC-P Image

GOLPH2 antibody [C3], C-term detects GOLPH2 protein at cytosol on human colon carcinoma by immunohistochemical analysis.
Sample: Paraffin-embedded human colon carcinoma.
GOLPH2 antibody [C3], C-term (GTX107702) dilution: 1:500.

Antigen Retrieval: Trilogy™ (EDTA based, pH 8.0) buffer, 15min

5 / 10
Anti-GOLPH2 antibody [C3], C-term used in Immunocytochemistry/ Immunofluorescence (ICC/IF). GTX107702
GTX107702 ICC/IF Image

Immunofluorescence analysis of 70%methanol,30% Acetone-fixed HCT116 , using GOLPH2(GTX107702) antibody at 1:200 dilution.

6 / 10
Anti-GOLPH2 antibody [C3], C-term used in IHC (Paraffin sections) (IHC-P). GTX107702
GTX107702 IHC-P Image

GOLPH2 antibody [C3], C-term detects GOLPH2 protein at cytoplasm by immunohistochemical analysis.
Sample: Paraffin-embedded human ovarian cancer.
GOLPH2 stained by GOLPH2 antibody [C3], C-term (GTX107702) diluted at 1:1000.
Antigen Retrieval: Citrate buffer, pH 6.0, 15 min

7 / 10
Anti-GOLPH2 antibody [C3], C-term used in Immunocytochemistry/ Immunofluorescence (ICC/IF). GTX107702
GTX107702 ICC/IF Image

GOLPH2 antibody [C3], C-term detects GOLPH2 protein at Golgi apparatus by immunofluorescent analysis.
Sample: HeLa cells were fixed in 4% paraformaldehyde at RT for 15 min.
Green: GOLPH2 protein stained by GOLPH2 antibody [C3], C-term (GTX107702) diluted at 1:5000.
Red: Phalloidin, a F-actin marker.
Blue: Hoechst 33342 staining.
Scale bar = 10 μm.

8 / 10
Anti-GOLPH2 antibody [C3], C-term used in Western Blot (WB). GTX107702
GTX107702 WB Image

GOLPH2 antibody detects GOLPH2 protein by western blot analysis.
A. 30 μg HeLa whole cell lysate/extract
B. 30 μg HeLa membrane fraction lysate/extract
10 % SDS-PAGE
GOLPH2 antibody (GTX107702) dilution: 1:500

9 / 10
Anti-GOLPH2 antibody [C3], C-term used in Western Blot (WB). GTX107702
GTX107702 WB Image

Whole cell extract (30 μg) was separated by 7.5% SDS-PAGE, and the membrane was blotted with GOLPH2 antibody [C3], C-term (GTX107702) diluted at 1:1000. The HRP-conjugated anti-rabbit IgG antibody (GTX213110-01) was used to detect the primary antibody.

10 / 10
Anti-GOLPH2 antibody [C3], C-term used in Western Blot (WB). GTX107702
Anti-GOLPH2 antibody [C3], C-term used in IHC (Paraffin sections) (IHC-P). GTX107702
Anti-GOLPH2 antibody [C3], C-term used in IHC (Paraffin sections) (IHC-P). GTX107702
Anti-GOLPH2 antibody [C3], C-term used in Immunocytochemistry/ Immunofluorescence (ICC/IF). GTX107702
Anti-GOLPH2 antibody [C3], C-term used in IHC (Paraffin sections) (IHC-P). GTX107702
Anti-GOLPH2 antibody [C3], C-term used in Immunocytochemistry/ Immunofluorescence (ICC/IF). GTX107702
Anti-GOLPH2 antibody [C3], C-term used in IHC (Paraffin sections) (IHC-P). GTX107702
Anti-GOLPH2 antibody [C3], C-term used in Immunocytochemistry/ Immunofluorescence (ICC/IF). GTX107702
Anti-GOLPH2 antibody [C3], C-term used in Western Blot (WB). GTX107702
Anti-GOLPH2 antibody [C3], C-term used in Western Blot (WB). GTX107702
  • 宿主
    Rabbit
  • 克隆
    Polyclonal
  • 同种型
    IgG
  • 实验应用
    WB ICC/IF IHC-P
  • 种属反应
    Human
摘要
Golgi membrane protein 1, also known as GP73, GOLM1, and GOLPH2, is a type II Golgi membrane glycoprotein with a predicted molecular weight of 45 kDa. GOLPH2 is often overexpressed in the hepatocytes of patients with hepatitis and hepatocellular carcinoma (HCC). Reports indicate that GOLPH2 is a promising serum marker for the diagnosis of HCC.
查看所有 GOLPH2 的产品