GPBB抗体

目录号 GTX104291
目录号  GTX104291
Anti-GPBB antibody used in Western Blot (WB). GTX104291
GTX104291 WB Image

Various whole cell extracts (30 μg) were separated by 7.5% SDS-PAGE, and the membrane was blotted with GPBB antibody (GTX104291) diluted at 1:1000. The HRP-conjugated anti-rabbit IgG antibody (GTX213110-01) was used to detect the primary antibody. Corresponding RNA expression data for the same cell lines are based on Human Protein Atlas program.

1 / 6
Anti-GPBB antibody used in Western Blot (WB). GTX104291
GTX104291 WB Image

Mouse tissue extract (50 μg) was separated by 7.5% SDS-PAGE, and the membrane was blotted with GPBB antibody (GTX104291) diluted at 1:1000. The HRP-conjugated anti-rabbit IgG antibody (GTX213110-01) was used to detect the primary antibody.

2 / 6
Anti-GPBB antibody used in IHC (Paraffin sections) (IHC-P). GTX104291
GTX104291 IHC-P Image

GPBB antibody detects PYGB protein at cytosol on U87 xenograft by immunohistochemical analysis.
Sample: Paraffin-embedded U87 xenograft.
GPBB antibody (GTX104291) dilution: 1:500.

Antigen Retrieval: Trilogy™ (EDTA based, pH 8.0) buffer, 15min

3 / 6
Anti-GPBB antibody used in IHC (Paraffin sections) (IHC-P). GTX104291
GTX104291 IHC-P Image

GPBB antibody detects GPBB protein at cytosol on mouse fore brain by immunohistochemical analysis.
Sample: Paraffin-embedded mouse fore brain.
GPBB antibody (GTX104291) dilution: 1:500.

Antigen Retrieval: Trilogy™ (EDTA based, pH 8.0) buffer, 15min

4 / 6
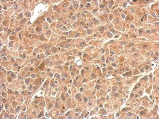
Anti-GPBB antibody used in IHC (Paraffin sections) (IHC-P). GTX104291
GTX104291 IHC-P Image

The data was published in the journal Sci Rep in 2018. PMID: 29555943

5 / 6
Anti-GPBB antibody used in Western Blot (WB). GTX104291
GTX104291 WB Image

The data was published in the journal Sci Rep in 2018. PMID: 29555943

6 / 6
Anti-GPBB antibody used in Western Blot (WB). GTX104291
Anti-GPBB antibody used in Western Blot (WB). GTX104291
Anti-GPBB antibody used in IHC (Paraffin sections) (IHC-P). GTX104291
Anti-GPBB antibody used in IHC (Paraffin sections) (IHC-P). GTX104291
Anti-GPBB antibody used in IHC (Paraffin sections) (IHC-P). GTX104291
Anti-GPBB antibody used in Western Blot (WB). GTX104291
  • 宿主
    Rabbit
  • 克隆
    Polyclonal
  • 同种型
    IgG
  • 实验应用
    WB IHC-P
  • 种属反应
    Human, Mouse
查看所有 GPBB 的产品