GSK3 beta抗体 [C1C3]

目录号 GTX111192
目录号  GTX111192
Anti-GSK3 beta antibody [C1C3] used in Western Blot (WB). GTX111192
GTX111192 WB Image

Non-transfected (–) and transfected (+) 293T whole cell extracts (30 μg) were separated by 10% SDS-PAGE, and the membrane was blotted with GSK3 beta antibody [C1C3] (GTX111192) diluted at 1:1000. The HRP-conjugated anti-rabbit IgG antibody (GTX213110-01) was used to detect the primary antibody.

1 / 12
Anti-GSK3 beta antibody [C1C3] used in IHC (Paraffin sections) (IHC-P). GTX111192
GTX111192 IHC-P Image

GSK3 beta antibody [C1C3] detects GSK3 beta protein by immunohistochemical analysis.
Sample: Paraffin-embedded rat tissues.
GSK3 beta stained by GSK3 beta antibody [C1C3] (GTX111192) diluted at 1:500.
Antigen Retrieval: Citrate buffer, pH 6.0, 15 min

2 / 12
Anti-GSK3 beta antibody [C1C3] used in IHC (Paraffin sections) (IHC-P). GTX111192
GTX111192 IHC-P Image

GSK3 beta antibody [C1C3] detects GSK3 beta protein by immunohistochemical analysis.
Sample: Paraffin-embedded rat hippocampus.
GSK3 beta stained by GSK3 beta antibody [C1C3] (GTX111192) diluted at 1:500.
Antigen Retrieval: Citrate buffer, pH 6.0, 15 min

3 / 12
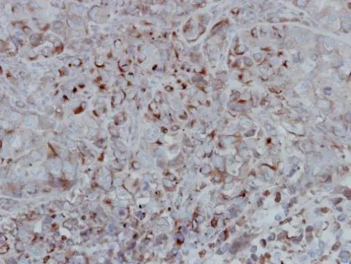
Anti-GSK3 beta antibody [C1C3] used in IHC (Paraffin sections) (IHC-P). GTX111192
GTX111192 IHC-P Image

GSK3 beta antibody [C1C3] detects GSK3 beta protein by immunohistochemical analysis.
Sample: Paraffin-embedded mouse tissues.
GSK3 beta stained by GSK3 beta antibody [C1C3] (GTX111192) diluted at 1:500.
Antigen Retrieval: Citrate buffer, pH 6.0, 15 min

4 / 12
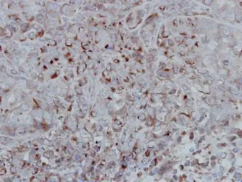
Anti-GSK3 beta antibody [C1C3] used in IHC (Paraffin sections) (IHC-P). GTX111192
GTX111192 IHC-P Image

GSK3 beta antibody [C1C3] detects GSK3 beta protein by immunohistochemical analysis.
Sample: Paraffin-embedded human oral cancer.
GSK3 beta stained by GSK3 beta antibody [C1C3] (GTX111192) diluted at 1:500.
Antigen Retrieval: Citrate buffer, pH 6.0, 15 min

5 / 12
Anti-GSK3 beta antibody [C1C3] used in IHC (Paraffin sections) (IHC-P). GTX111192
GTX111192 IHC-P Image

GSK3 beta antibody [C1C3] detects GSK3 beta protein by immunohistochemical analysis.
Sample: Paraffin-embedded mouse tissues.
GSK3 beta stained by GSK3 beta antibody [C1C3] (GTX111192) diluted at 1:500.
Antigen Retrieval: Citrate buffer, pH 6.0, 15 min

6 / 12
Anti-GSK3 beta antibody [C1C3] used in Western Blot (WB). GTX111192
GTX111192 WB Image

Various tissue extracts (50 μg) were separated by 10% SDS-PAGE, and the membrane was blotted with GSK3 beta antibody [C1C3] (GTX111192) diluted at 1:1000. The HRP-conjugated anti-rabbit IgG antibody (GTX213110-01) was used to detect the primary antibody.

7 / 12
Anti-GSK3 beta antibody [C1C3] used in IHC (Paraffin sections) (IHC-P). GTX111192
GTX111192 IHC-P Image

GSK3 beta antibody [C1C3] detects GSK3 beta protein at cytoplasm in rat brain by immunohistochemical analysis.
Sample: Paraffin-embedded rat brain.
GSK3 beta antibody [C1C3] (GTX111192) diluted at 1:500.

Antigen Retrieval: Citrate buffer, pH 6.0, 15 min

8 / 12
Anti-GSK3 beta antibody [C1C3] used in Immunocytochemistry/ Immunofluorescence (ICC/IF). GTX111192
GTX111192 ICC/IF Image

GSK3 beta antibody [C1C3] detects GSK3 beta protein at cytoplasm by immunofluorescent analysis.
Sample: SK-N-SH cells were fixed in 4% paraformaldehyde at RT for 15 min.
Green: GSK3 beta protein stained by GSK3 beta antibody [C1C3] (GTX111192) diluted at 1:400.
Blue: Hoechst 33342 staining.
Scale bar = 10 μm.

9 / 12
Anti-GSK3 beta antibody [C1C3] used in Western Blot (WB). GTX111192
GTX111192 WB Image

Whole cell extract (30 μg) was separated by 10% SDS-PAGE, and the membrane was blotted with GSK3 beta antibody [C1C3] (GTX111192) diluted at 1:500. The HRP-conjugated anti-rabbit IgG antibody (GTX213110-01) was used to detect the primary antibody.

10 / 12
Anti-GSK3 beta antibody [C1C3] used in Immunocytochemistry/ Immunofluorescence (ICC/IF). GTX111192
GTX111192 ICC/IF Image

GSK3 beta antibody [C1C3] detects GSK3 beta protein at cytoplasm and cell membrane by immunofluorescent analysis.
Sample: HeLa cells were fixed in 4% paraformaldehyde at RT for 15 min.
Green: GSK3 beta stained by GSK3 beta antibody [C1C3] (GTX111192) diluted at 1:500.
Blue: Fluoroshield with DAPI (GTX30920).
Scale bar= 10μm.

11 / 12
Anti-GSK3 beta antibody [C1C3] used in Western Blot (WB). GTX111192
GTX111192 WB Image

The data was published in the 2020 in Front Cell Dev Biol. PMID: 33015048

12 / 12
Anti-GSK3 beta antibody [C1C3] used in Western Blot (WB). GTX111192
Anti-GSK3 beta antibody [C1C3] used in IHC (Paraffin sections) (IHC-P). GTX111192
Anti-GSK3 beta antibody [C1C3] used in IHC (Paraffin sections) (IHC-P). GTX111192
Anti-GSK3 beta antibody [C1C3] used in IHC (Paraffin sections) (IHC-P). GTX111192
Anti-GSK3 beta antibody [C1C3] used in IHC (Paraffin sections) (IHC-P). GTX111192
Anti-GSK3 beta antibody [C1C3] used in IHC (Paraffin sections) (IHC-P). GTX111192
Anti-GSK3 beta antibody [C1C3] used in Western Blot (WB). GTX111192
Anti-GSK3 beta antibody [C1C3] used in IHC (Paraffin sections) (IHC-P). GTX111192
Anti-GSK3 beta antibody [C1C3] used in Immunocytochemistry/ Immunofluorescence (ICC/IF). GTX111192
Anti-GSK3 beta antibody [C1C3] used in Western Blot (WB). GTX111192
Anti-GSK3 beta antibody [C1C3] used in Immunocytochemistry/ Immunofluorescence (ICC/IF). GTX111192
Anti-GSK3 beta antibody [C1C3] used in Western Blot (WB). GTX111192
  • 宿主
    Rabbit
  • 克隆
    Polyclonal
  • 同种型
    IgG
  • 实验应用
    WB ICC/IF IHC-P
  • 种属反应
    Human, Mouse, Rat
查看所有 GSK3 beta 的产品