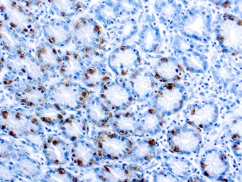
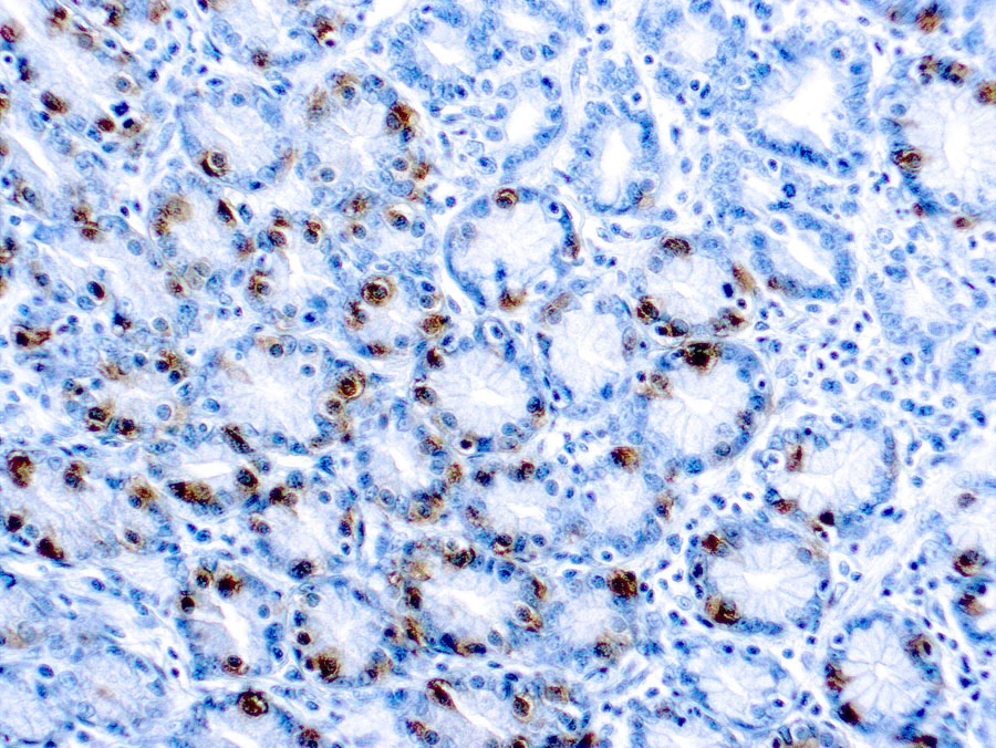
Gastrin抗体 (ready-to-use)
目录号 GTX20928
                        目录号  GTX20928
                    
                            - 
                                            宿主Rabbit
- 
                                            克隆Polyclonal
- 
                                                同种型IgG
- 
                                            实验应用IHC-P
- 
                                            种属反应Human
