Glutaminase C (GAC)抗体

目录号 GTX131263
目录号  GTX131263
Anti-Glutaminase C (GAC) antibody used in Immunocytochemistry/ Immunofluorescence (ICC/IF). GTX131263
GTX131263 ICC/IF Image

Glutaminase C antibody detects Glutaminase C protein at mitochondria by immunofluorescent analysis.
Sample: A549 cells were fixed in 4% paraformaldehyde at RT for 15 min.
Green: Glutaminase C protein stained by Glutaminase C antibody (GTX131263) diluted at 1:500.
Red: Histone H3K9ac (acetyl Lys9), a nucleus marker, stained by Histone H3K9ac (acetyl Lys9) antibody [GT464] (GTX630554) diluted at 1:500.
Blue: Hoechst 33342 staining.
Scale bar = 10 μm.

1 / 6
Anti-Glutaminase C (GAC) antibody used in IHC (Paraffin sections) (IHC-P). GTX131263
GTX131263 IHC-P Image

Glutaminase C antibody detects Glutaminase C protein at cytoplasm on human breast carcinoma by immunohistochemical analysis.
Sample: Paraffin-embedded human breast carcinoma.
Glutaminase C antibody (GTX131263) diluted at 1:500.

Antigen Retrieval: Citrate buffer, pH 6.0, 15 min

2 / 6
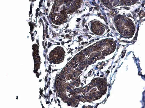
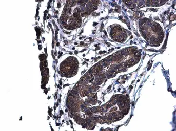
Anti-Glutaminase C (GAC) antibody used in IHC (Paraffin sections) (IHC-P). GTX131263
GTX131263 IHC-P Image

Glutaminase C antibody detects Glutaminase C protein at cytoplasm on mouse duidenum by immunohistochemical analysis.
Sample: Paraffin-embedded mouse duidenum.
Glutaminase C antibody (GTX131263) diluted at 1:500.

Antigen Retrieval: Trilogy™ (EDTA based, pH 8.0) buffer, 15min

3 / 6
Anti-Glutaminase C (GAC) antibody used in IHC (Paraffin sections) (IHC-P). GTX131263
GTX131263 IHC-P Image

Glutaminase C antibody detects Glutaminase C protein at cytoplasm on human colon carcinoma by immunohistochemical analysis.
Sample: Paraffin-embedded human colon carcinoma.
Glutaminase C antibody (GTX131263) diluted at 1:500.

Antigen Retrieval: Citrate buffer, pH 6.0, 15 min

4 / 6
Anti-Glutaminase C (GAC) antibody used in Immunoprecipitation (IP). GTX131263
GTX131263 IP Image

Immunoprecipitation of Glutaminase C protein from MDA-MB-231 whole cell extracts using 5 μg of Glutaminase C antibody (GTX131263) or Glutaminase C antibody (GTX132402).
Western blot analysis was performed using Glutaminase C antibody (GTX131263).
EasyBlot anti-Rabbit IgG (GTX221666-01) was used as a secondary reagent.

5 / 6
Anti-Glutaminase C (GAC) antibody used in Western Blot (WB). GTX131263
GTX131263 WB Image

Glutaminase C (GAC) antibody validation by shRNA knock-down. Non-transfected (-) and GLS1(GAC isoform specific) shRNA-transfected MDA-MB-231 whole cell extracts (30 μg) were separated by 7.5% SDS-PAGE, and the membrane was blotted with Glutaminase C (GAC) antibody (GTX131263) at a dilution of 1:5000.

6 / 6
Anti-Glutaminase C (GAC) antibody used in Immunocytochemistry/ Immunofluorescence (ICC/IF). GTX131263
Anti-Glutaminase C (GAC) antibody used in IHC (Paraffin sections) (IHC-P). GTX131263
Anti-Glutaminase C (GAC) antibody used in IHC (Paraffin sections) (IHC-P). GTX131263
Anti-Glutaminase C (GAC) antibody used in IHC (Paraffin sections) (IHC-P). GTX131263
Anti-Glutaminase C (GAC) antibody used in Immunoprecipitation (IP). GTX131263
Anti-Glutaminase C (GAC) antibody used in Western Blot (WB). GTX131263
  • 宿主
    Rabbit
  • 克隆
    Polyclonal
  • 同种型
    IgG
  • 实验应用
    WB ICC/IF IHC-P IP
  • 种属反应
    Human, Mouse
查看所有 Glutaminase C 的产品