Glutamine synthetase抗体 [GT1055]

目录号 GTX630654
目录号  GTX630654
Anti-Glutamine synthetase antibody [GT1055] used in Western Blot (WB). GTX630654
GTX630654 WB Image

Non-transfected (–) and transfected (+) 293T whole cell extracts (30 μg) were separated by 10% SDS-PAGE, and the membrane was blotted with Glutamine synthetase antibody [GT1055] (GTX630654) diluted at 1:500.

1 / 13
Anti-Glutamine synthetase antibody [GT1055] used in IHC (Frozen sections) (IHC-Fr). GTX630654
GTX630654 IHC-Fr Image

Glutamine synthetase antibody [GT1055] detects Glutamine synthetase protein by immunohistochemical analysis.
Sample: Frozen sectioned adult mouse retina.
Green: Glutamine synthetase protein stained by Glutamine synthetase antibody [GT1055] (GTX630654) diluted at 1:250.
Red: PKC alpha protein stained by PKC alpha antibody [GT1876] (GTX130453) diluted at 1:250.
Blue: Fluoroshield with DAPI (GTX30920).

2 / 13
Anti-Glutamine synthetase antibody [GT1055] used in Immunocytochemistry/ Immunofluorescence (ICC/IF). GTX630654
GTX630654 ICC/IF Image

Glutamine synthetase antibody [GT1055] detects Glutamine synthetase protein at cytoplasm by immunofluorescent analysis.
Sample: Cultured rat E18 primary cortical neuron, DIV 8. Cells were fixed in 4% paraformaldehyde at RT for 15 min.
Green: Glutamine synthetase protein stained by Glutamine synthetase antibody [GT1055] (GTX630654) diluted at 1:250.
Red: GFAP, stained by GFAP antibody (GTX27260) diluted at 1:250.
Blue: Fluoroshield with DAPI (GTX30920).

3 / 13
Anti-Glutamine synthetase antibody [GT1055] used in IHC (Paraffin sections) (IHC-P). GTX630654
GTX630654 IHC-P Image

Glutamine synthetase antibody [GT1055] detects Glutamine synthetase protein at cytosol on mouse skin by immunohistochemical analysis.
Sample: Paraffin-embedded mouse skin.
Glutamine synthetase antibody [GT1055] (GTX630654) dilution: 1:500.

Antigen Retrieval: Trilogy™ (EDTA based, pH 8.0) buffer, 15min

4 / 13
Anti-Glutamine synthetase antibody [GT1055] used in Western Blot (WB). GTX630654
GTX630654 WB Image

Mouse tissue extract (50 μg) was separated by 10% SDS-PAGE, and the membrane was blotted with Glutamine synthetase antibody [GT1055] (GTX630654) diluted at 1:5000.

5 / 13
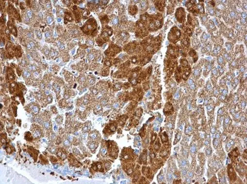
Anti-Glutamine synthetase antibody [GT1055] used in IHC (Paraffin sections) (IHC-P). GTX630654
GTX630654 IHC-P Image

Glutamine synthetase antibody [GT1055] detects Glutamine synthetase protein at cytosol on human hepatoma by immunohistochemical analysis.
Sample: Paraffin-embedded human hepatoma.
Glutamine synthetase antibody [GT1055] (GTX630654) dilution: 1:500.

Antigen Retrieval: Trilogy™ (EDTA based, pH 8.0) buffer, 15min

6 / 13
Anti-Glutamine synthetase antibody [GT1055] used in IHC (Paraffin sections) (IHC-P). GTX630654
GTX630654 IHC-P Image

Glutamine synthetase antibody [GT1055] detects Glutamine synthetase protein at cytosol on rat hind brain by immunohistochemical analysis.
Sample: Paraffin-embedded rat hind brain.
Glutamine synthetase antibody [GT1055] (GTX630654) dilution: 1:500.

Antigen Retrieval: Trilogy™ (EDTA based, pH 8.0) buffer, 15min

7 / 13
Anti-Glutamine synthetase antibody [GT1055] used in Western Blot (WB). GTX630654
GTX630654 WB Image

Mouse tissue extract (50 μg) was separated by 10% SDS-PAGE, and the membrane was blotted with Glutamine synthetase antibody (GTX630654) diluted at 1:1000.

8 / 13
Anti-Glutamine synthetase antibody [GT1055] used in Western Blot (WB). GTX630654
GTX630654 WB Image

Glutamine synthetase antibody [GT1055] detects Glutamine synthetase protein by western blot analysis.
A. 30 μg U87-MG whole cell lysate/extract
B. 30 μg SK-N-SH whole cell lysate/extract
C. 30 μg IMR32 whole cell lysate/extract
D. 30 μg SK-N-AS whole cell lysate/extract
10 % SDS-PAGE
Glutamine synthetase antibody [GT1055] (GTX630654) dilution: 1:1000

9 / 13
Anti-Glutamine synthetase antibody [GT1055] used in IHC (Frozen sections) (IHC-Fr). GTX630654
GTX630654 IHC-Fr Image

Glutamine synthetase antibody [GT1055] detects Glutamine synthetase protein on embryonic mouse brain by immunohistochemical analysis. Sample: Frozen section of embryonic mouse brain (mE18.5). Red: Glutamine synthetase antibody [GT1055] (GTX630654) diluted at 1:500. Blue: DAPI

10 / 13
Anti-Glutamine synthetase antibody [GT1055] used in Western Blot (WB). GTX630654
GTX630654 WB Image

Non-transfected (–) and transfected (+) 293T whole cell extracts (30 μg) were separated by 10% SDS-PAGE, and the membrane was blotted with Glutamine synthetase antibody [GT1055] (GTX630654) diluted at 1:1000. The HRP-conjugated anti-mouse IgG antibody (GTX213111-01) was used to detect the primary antibody.

11 / 13
Anti-Glutamine synthetase antibody [GT1055] used in Western Blot (WB). GTX630654
GTX630654 WB Image

Glutamine synthetase antibody [GT1055] detects Glutamine synthetase protein by western blot analysis.
A. 30 μg 293T whole cell lysate/extract
B. 30 μg HeLa whole cell lysate/extract
C. 30 μg HepG2 whole cell lysate/extract
10 % SDS-PAGE
Glutamine synthetase antibody [GT1055] (GTX630654) dilution: 1:1000

12 / 13
Anti-Glutamine synthetase antibody [GT1055] used in Western Blot (WB). GTX630654
GTX630654 WB Image

Rat tissue extract (50 μg) was separated by 10% SDS-PAGE, and the membrane was blotted with Glutamine synthetase antibody [GT1055] (GTX630654) diluted at 1:5000.

13 / 13
Anti-Glutamine synthetase antibody [GT1055] used in Western Blot (WB). GTX630654
Anti-Glutamine synthetase antibody [GT1055] used in IHC (Frozen sections) (IHC-Fr). GTX630654
Anti-Glutamine synthetase antibody [GT1055] used in Immunocytochemistry/ Immunofluorescence (ICC/IF). GTX630654
Anti-Glutamine synthetase antibody [GT1055] used in IHC (Paraffin sections) (IHC-P). GTX630654
Anti-Glutamine synthetase antibody [GT1055] used in Western Blot (WB). GTX630654
Anti-Glutamine synthetase antibody [GT1055] used in IHC (Paraffin sections) (IHC-P). GTX630654
Anti-Glutamine synthetase antibody [GT1055] used in IHC (Paraffin sections) (IHC-P). GTX630654
Anti-Glutamine synthetase antibody [GT1055] used in Western Blot (WB). GTX630654
Anti-Glutamine synthetase antibody [GT1055] used in Western Blot (WB). GTX630654
Anti-Glutamine synthetase antibody [GT1055] used in IHC (Frozen sections) (IHC-Fr). GTX630654
Anti-Glutamine synthetase antibody [GT1055] used in Western Blot (WB). GTX630654
Anti-Glutamine synthetase antibody [GT1055] used in Western Blot (WB). GTX630654
Anti-Glutamine synthetase antibody [GT1055] used in Western Blot (WB). GTX630654
  • 宿主
    Mouse
  • 克隆
    Monoclonal
  • 克隆编号
    GT1055
  • 同种型
    IgG1
  • 实验应用
    WB ICC/IF IHC-P IHC-Fr
  • 种属反应
    Human, Mouse, Rat
查看所有 Glutamine synthetase 的产品