Glutamine synthetase抗体

目录号 GTX109121
目录号  GTX109121
Anti-Glutamine synthetase antibody used in Western Blot (WB). GTX109121
GTX109121 WB Image

Non-transfected (–) and transfected (+) 293T whole cell extracts (30 μg) were separated by 10% SDS-PAGE, and the membrane was blotted with Glutamine synthetase antibody (GTX109121) diluted at 1:1000. The HRP-conjugated anti-rabbit IgG antibody (GTX213110-01) was used to detect the primary antibody.

1 / 23
Anti-Glutamine synthetase antibody used in Immunocytochemistry/ Immunofluorescence (ICC/IF). GTX109121
GTX109121 ICC/IF Image

Glutamine synthetase antibody detects Glutamine synthetase protein at astrocytes by immunofluorescent analysis.
Sample: DIV9 rat E18 primary cortical neurons were fixed in 4% paraformaldehyde at RT for 15 min.
Green: Glutamine synthetase protein stained by Glutamine synthetase antibody (GTX109121) diluted at 1:500.
Red: beta Tubulin 3/ Tuj1, a neuron cell marker, stained by beta Tubulin 3/ Tuj1 antibody [GT11710] (GTX631836) diluted at 1:500.
Blue: Fluoroshield with DAPI (GTX30920).

2 / 23
Anti-Glutamine synthetase antibody used in IHC (Paraffin sections) (IHC-P). GTX109121
GTX109121 IHC-P Image

Glutamine synthetase antibody detects Glutamine synthetase protein expression by immunohistochemical analysis.
Sample:Paraffin-embedded adult mouse retina.
Green: Glutamine synthetase protein stained by Glutamine synthetase antibody (GTX109121) diluted at 1:250.
Red: beta Tubulin 3/ TUJ1, stained by beta Tubulin 3/ TUJ1 antibody [GT11710] (GTX631836) diluted at 1:250.
Blue: Fluoroshield with DAPI (GTX30920).

3 / 23
Anti-Glutamine synthetase antibody used in Western Blot (WB). GTX109121
GTX109121 WB Image

Various whole cell extracts (30 μg) were separated by 10% SDS-PAGE, and the membrane was blotted with Glutamine synthetase antibody (GTX109121) diluted at 1:1000. The HRP-conjugated anti-rabbit IgG antibody (GTX213110-01) was used to detect the primary antibody.

4 / 23
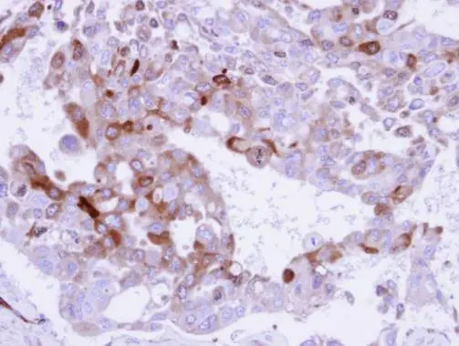
Anti-Glutamine synthetase antibody used in IHC (Paraffin sections) (IHC-P). GTX109121
GTX109121 IHC-P Image

Immunohistochemical analysis of paraffin-embedded H441 xenograft , using Glutamine Synthetase (GTX109121) antibody at 1:500 dilution.
Antigen Retrieval: Trilogy™ (EDTA based, pH 8.0) buffer, 15min

5 / 23
Anti-Glutamine synthetase antibody used in Immunoprecipitation (IP). GTX109121
GTX109121 IP Image

Immunoprecipitation of Glutamine synthetase protein from IMR32 whole cell extracts using 5 μg of Glutamine synthetase antibody (GTX109121).
Western blot analysis was performed using Glutamine synthetase antibody (GTX109121).
EasyBlot anti-Rabbit IgG (GTX221666-01) was used as a secondary reagent.

6 / 23
Anti-Glutamine synthetase antibody used in Western Blot (WB). GTX109121
GTX109121 WB Image

Non-transfected (–) and transfected (+) 293T whole cell extracts (30 μg) were separated by 10% SDS-PAGE, and the membrane was blotted with Glutamine synthetase antibody (GTX109121) diluted at 1:10000. The HRP-conjugated anti-rabbit IgG antibody (GTX213110-01) was used to detect the primary antibody.

7 / 23
Anti-Glutamine synthetase antibody used in IHC (Frozen sections) (IHC-Fr). GTX109121
GTX109121 IHC-Fr Image

Glutamine synthetase antibody detects Glutamine synthetase protein expression by immunohistochemical analysis.
Sample: Frozen-sectioned adult mouse cerebellum.
Green: Glutamine synthetase protein stained by Glutamine synthetase antibody (GTX109121) diluted at 1:250.
Red: beta Tubulin 3/ TUJ1, stained by beta Tubulin 3/ TUJ1 antibody [GT11710] (GTX631836) diluted at 1:500.
Blue: Fluoroshield with DAPI (GTX30920).

8 / 23
Anti-Glutamine synthetase antibody used in Western Blot (WB). GTX109121
GTX109121 WB Image

Rat tissue extract (50 μg) was separated by 10% SDS-PAGE, and the membrane was blotted with Glutamine synthetase antibody (GTX109121) diluted at 1:50000.

9 / 23
Anti-Glutamine synthetase antibody used in Western Blot (WB). GTX109121
GTX109121 WB Image

Mouse tissue extract (50 μg) was separated by 10% SDS-PAGE, and the membrane was blotted with Glutamine synthetase antibody (GTX109121) diluted at 1:20000.

10 / 23
Anti-Glutamine synthetase antibody used in Western Blot (WB). GTX109121
GTX109121 WB Image

Mouse tissue extract (50 μg) was separated by 10% SDS-PAGE, and the membrane was blotted with Glutamine synthetase antibody (GTX109121) diluted at 1:50000.

11 / 23
Anti-Glutamine synthetase antibody used in IHC (Whole mount) (IHC-Wm). GTX109121
GTX109121 IHC-Wm Image

Glutamine synthetase antibody detects Glutamine synthetase protein on zebrafish by whole mount immunohistochemical analysis.
Sample: 2 days-post-fertilization zebrafish embryo.
Glutamine synthetase antibody (GTX109121) dilution: 1:100.

12 / 23
Anti-Glutamine synthetase antibody used in Western Blot (WB). GTX109121
GTX109121 WB Image

Glutamine synthetase antibody detects Glutamine synthetase protein by Western blot analysis. Zebrafish tissue extracts (30 μg) was separated by 10 % SDS-PAGE, and the membrane was blotted with Glutamine synthetase antibody (GTX109121) at a dilution of 1:10000.

13 / 23
Anti-Glutamine synthetase antibody used in IHC (Whole mount) (IHC-Wm). GTX109121
GTX109121 IHC-Wm Image

Glutamine synthetase antibody detects Glutamine synthetase protein on zebrafish by whole mount immunohistochemical analysis.
Sample: 1 day-post-fertilization zebrafish embryo.
Glutamine synthetase antibody (GTX109121) dilution: 1:100.

14 / 23
Anti-Glutamine synthetase antibody used in Western Blot (WB). GTX109121
GTX109121 WB Image

Whole zebrafish extract (30 μg) was separated by 10% SDS-PAGE, and the membrane was blotted with Glutamine synthetase antibody (GTX109121) diluted at 1:10000.

15 / 23
Anti-Glutamine synthetase antibody used in Western Blot (WB). GTX109121
GTX109121 WB Image

Various whole cell extracts (30 μg) were separated by 10% SDS-PAGE, and the membrane was blotted with Glutamine synthetase antibody (GTX109121) diluted at 1:1000. The HRP-conjugated anti-rabbit IgG antibody (GTX213110-01) was used to detect the primary antibody.

16 / 23
Anti-Glutamine synthetase antibody used in IHC (Frozen sections) (IHC-Fr). GTX109121
GTX109121 IHC-Fr Image

The data was published in the journal Front Mol Neurosci in 2019. PMID: 30930743

17 / 23
Anti-Glutamine synthetase antibody used in IHC (Frozen sections) (IHC-Fr). GTX109121
GTX109121 IHC-Fr Image

The data was published in the journal Front Mol Neurosci in 2019. PMID: 30930743

18 / 23
Anti-Glutamine synthetase antibody used in IHC (Frozen sections) (IHC-Fr). GTX109121
GTX109121 IHC-Fr Image

The data was published in the journal Front Mol Neurosci in 2019. PMID: 30930743

19 / 23
Anti-Glutamine synthetase antibody used in Immunocytochemistry/ Immunofluorescence (ICC/IF). GTX109121
GTX109121 ICC/IF Image

The data was published in the journal Sci Rep in 2019. PMID: 31616018

20 / 23
Anti-Glutamine synthetase antibody used in Western Blot (WB). GTX109121
GTX109121 WB Image

The data was published in the journal Front Physiol in 2020.PMID: 32425814

21 / 23
Anti-Glutamine synthetase antibody used in Western Blot (WB). GTX109121
GTX109121 WB Image

The data was published in the journal Sci Rep in 2019. PMID: 31616018

22 / 23
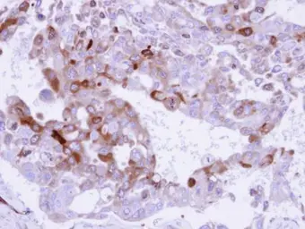
Anti-Glutamine synthetase antibody used in IHC (Paraffin sections) (IHC-P). GTX109121
GTX109121 IHC-P Image

The data was published in the 2022 in Sci Rep. PMID: 35232986

23 / 23
Anti-Glutamine synthetase antibody used in Western Blot (WB). GTX109121
Anti-Glutamine synthetase antibody used in Immunocytochemistry/ Immunofluorescence (ICC/IF). GTX109121
Anti-Glutamine synthetase antibody used in IHC (Paraffin sections) (IHC-P). GTX109121
Anti-Glutamine synthetase antibody used in Western Blot (WB). GTX109121
Anti-Glutamine synthetase antibody used in IHC (Paraffin sections) (IHC-P). GTX109121
Anti-Glutamine synthetase antibody used in Immunoprecipitation (IP). GTX109121
Anti-Glutamine synthetase antibody used in Western Blot (WB). GTX109121
Anti-Glutamine synthetase antibody used in IHC (Frozen sections) (IHC-Fr). GTX109121
Anti-Glutamine synthetase antibody used in Western Blot (WB). GTX109121
Anti-Glutamine synthetase antibody used in Western Blot (WB). GTX109121
Anti-Glutamine synthetase antibody used in Western Blot (WB). GTX109121
Anti-Glutamine synthetase antibody used in IHC (Whole mount) (IHC-Wm). GTX109121
Anti-Glutamine synthetase antibody used in Western Blot (WB). GTX109121
Anti-Glutamine synthetase antibody used in IHC (Whole mount) (IHC-Wm). GTX109121
Anti-Glutamine synthetase antibody used in Western Blot (WB). GTX109121
Anti-Glutamine synthetase antibody used in Western Blot (WB). GTX109121
Anti-Glutamine synthetase antibody used in IHC (Frozen sections) (IHC-Fr). GTX109121
Anti-Glutamine synthetase antibody used in IHC (Frozen sections) (IHC-Fr). GTX109121
Anti-Glutamine synthetase antibody used in IHC (Frozen sections) (IHC-Fr). GTX109121
Anti-Glutamine synthetase antibody used in Immunocytochemistry/ Immunofluorescence (ICC/IF). GTX109121
Anti-Glutamine synthetase antibody used in Western Blot (WB). GTX109121
Anti-Glutamine synthetase antibody used in Western Blot (WB). GTX109121
Anti-Glutamine synthetase antibody used in IHC (Paraffin sections) (IHC-P). GTX109121
  • 宿主
    Rabbit
  • 克隆
    Polyclonal
  • 同种型
    IgG
  • 实验应用
    WB ICC/IF IHC-P IHC-Fr IHC-Wm IP
  • 种属反应
    Human, Mouse, Rat, Zebrafish
查看所有 Glutamine synthetase 的产品