Glypican-3抗体 [GT2473]

目录号 GTX633410
目录号  GTX633410
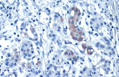
Anti-Glypican-3 antibody [GT2473] used in IHC (Paraffin sections) (IHC-P). GTX633410
GTX633410 IHC-P Image

Glypican-3 antibody [GT2473] detects Glypican-3 protein at cytoplasm by immunohistochemical analysis.
Sample: Paraffin-embedded human pancreatic cancer.
Glypican-3 stained by Glypican-3 antibody [GT2473] (GTX633410) diluted at 1:200.
Antigen Retrieval: Citrate buffer, pH 6.0, 15 min

1 / 5
Anti-Glypican-3 antibody [GT2473] used in Immunocytochemistry/ Immunofluorescence (ICC/IF). GTX633410
GTX633410 ICC/IF Image

Glypican-3 antibody [GT2473] detects Glypican-3 protein at cell membrane by immunofluorescent analysis.
Sample: HepG2 cells were fixed in 4% paraformaldehyde at RT for 15 min.
Green: Glypican-3 protein stained by Glypican-3 antibody [GT2473] (GTX633410) diluted at 1:250.
Blue: Hoechst 33342 staining.

2 / 5
Anti-Glypican-3 antibody [GT2473] used in Western Blot (WB). GTX633410
GTX633410 WB Image

Unboiled various whole cell extracts (30 μg) were separated by 7.5% SDS-PAGE, and the membrane was blotted with Glypican-3 antibody [GT2473] (GTX633410) diluted at 1:2000. The HRP-conjugated anti-mouse IgG antibody (GTX213111-01) was used to detect the primary antibody. Corresponding RNA expression data for the same cell lines are based on Human Protein Atlas program.

3 / 5
Anti-Glypican-3 antibody [GT2473] used in Western Blot (WB). GTX633410
GTX633410 WB Image

Untreated (–) and treated (+) HepG2 whole cell extracts (30 μg) were separated by 7.5% SDS-PAGE, and the membrane was blotted with Glypican-3 antibody [GT2473] (GTX633410) diluted at 1:2000. The HRP-conjugated anti-mouse IgG antibody (GTX213111-01) was used to detect the primary antibody.

4 / 5
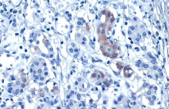
Anti-Glypican-3 antibody [GT2473] used in IHC (Paraffin sections) (IHC-P). GTX633410
GTX633410 IHC-P Image

Glypican-3 antibody [GT2473] detects Glypican-3 protein at cytoplasm by immunohistochemical analysis (Autostainer Formulated).
Sample: Paraffin-embedded human liver cancer.
Glypican-3 stained by Glypican-3 antibody [GT2473] (GTX633410) diluted at 1:100.
Antigen Retrieval: Citrate buffer, 20 min

5 / 5
Anti-Glypican-3 antibody [GT2473] used in IHC (Paraffin sections) (IHC-P). GTX633410
Anti-Glypican-3 antibody [GT2473] used in Immunocytochemistry/ Immunofluorescence (ICC/IF). GTX633410
Anti-Glypican-3 antibody [GT2473] used in Western Blot (WB). GTX633410
Anti-Glypican-3 antibody [GT2473] used in Western Blot (WB). GTX633410
Anti-Glypican-3 antibody [GT2473] used in IHC (Paraffin sections) (IHC-P). GTX633410
  • 宿主
    Mouse
  • 克隆
    Monoclonal
  • 克隆编号
    GT2473
  • 同种型
    IgG1
  • 实验应用
    WB ICC/IF IHC-P
  • 种属反应
    Human
摘要
Glypican-3 (GPC3) is a glycoprotein attached to the cell membrane. It has a predicted molecular weight of 66 kDa. GPC3 overexpression is found in human hepatocellular carcinoma (HCC), but not in healthy adult liver. Studies have shown GPC3 to be a reliable serological and immunohistochemical marker for HCC diagnosis, and a potential target for immunotherapies.
查看所有 Glypican-3 的产品