H-Ras抗体

目录号 GTX116041
目录号  GTX116041
Anti-H-Ras antibody used in Immunocytochemistry/ Immunofluorescence (ICC/IF). GTX116041
GTX116041 ICC/IF Image

Immunofluorescence analysis of paraformaldehyde-fixed HeLa, using H-RAS (GTX116041) antibody at 1:200 dilution.

1 / 14
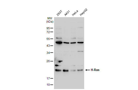
Anti-H-Ras antibody used in Western Blot (WB). GTX116041
GTX116041 WB Image

Various whole cell extracts (30 μg) were separated by 12% SDS-PAGE, and the membrane was blotted with H-RAS antibody (GTX116041) diluted at 1:1000. The HRP-conjugated anti-rabbit IgG antibody (GTX213110-01) was used to detect the primary antibody.

2 / 14
Anti-H-Ras antibody used in Western Blot (WB). GTX116041
GTX116041 WB Image

Non-transfected (–) and transfected (+) 293T whole cell extracts (30 μg) were separated by 12% SDS-PAGE, and the membrane was blotted with H-RAS antibody (GTX116041) diluted at 1:5000. The HRP-conjugated anti-rabbit IgG antibody (GTX213110-01) was used to detect the primary antibody.

3 / 14
Anti-H-Ras antibody used in Western Blot (WB). GTX116041
GTX116041 WB Image

Various whole cell extracts (30 μg) were separated by 12% SDS-PAGE, and the membranes were blotted with H-RAS antibody (GTX116041) diluted at 1:500 and competitor's antibody (SC-520) diluted at 1:200. The HRP-conjugated anti-rabbit IgG antibody (GTX213110-01) was used to detect the primary antibody.

*The competitor is not affiliated with GeneTex and does not endorse this product.

4 / 14
Anti-H-Ras antibody used in IHC (Paraffin sections) (IHC-P). GTX116041
GTX116041 IHC-P Image

H-RAS antibody detects H-RAS protein at membrane on mouse intestine by immunohistochemical analysis.
Sample: Paraffin-embedded mouse intestine.
H-RAS antibody (GTX116041) dilution: 1:500.

Antigen Retrieval: Trilogy™ (EDTA based, pH 8.0) buffer, 15min

5 / 14
Anti-H-Ras antibody used in IHC (Paraffin sections) (IHC-P). GTX116041
GTX116041 IHC-P Image

H-RAS antibody detects H-RAS protein at membrane on mouse intestine by immunohistochemical analysis.
Sample: Paraffin-embedded mouse intestine.
H-RAS antibody (GTX116041) dilution: 1:500.

Antigen Retrieval: Trilogy™ (EDTA based, pH 8.0) buffer, 15min

6 / 14
Anti-H-Ras antibody used in Western Blot (WB). GTX116041
GTX116041 WB Image

Whole cell extract (30 μg) was separated by 12% SDS-PAGE, and the membrane was blotted with H-Ras antibody (GTX116041) diluted at 1:1000. The HRP-conjugated anti-rabbit IgG antibody (GTX213110-01) was used to detect the primary antibody.

7 / 14
Anti-H-Ras antibody used in Western Blot (WB). GTX116041
GTX116041 WB Image

Various tissue extracts (50 μg) were separated by 12% SDS-PAGE, and the membrane was blotted with H-Ras antibody (GTX116041) diluted at 1:2000. The HRP-conjugated anti-rabbit IgG antibody (GTX213110-01) was used to detect the primary antibody.

8 / 14
Anti-H-Ras antibody used in Western Blot (WB). GTX116041
GTX116041 WB Image

Various whole cell extracts (30 μg) were separated by 12% SDS-PAGE, and the membrane was blotted with H-Ras antibody (GTX116041) diluted at 1:2000. The HRP-conjugated anti-rabbit IgG antibody (GTX213110-01) was used to detect the primary antibody.

9 / 14
Anti-H-Ras antibody used in Western Blot (WB). GTX116041
GTX116041 WB Image

The data was published in the journal Breast Cancer Res in 2018. PMID: 30208932

10 / 14
Anti-H-Ras antibody used in IHC (Paraffin sections) (IHC-P). GTX116041
GTX116041 IHC-P Image

The data was published in the journal Oncotarget in 2018.PMID: 29731980

11 / 14
Anti-H-Ras antibody used in Western Blot (WB). GTX116041
GTX116041 WB Image

The data was published in the journal Breast Cancer Res in 2018. PMID: 30208932

12 / 14
Anti-H-Ras antibody used in Western Blot (WB). GTX116041
GTX116041 WB Image

The data was published in the journal Breast Cancer Res in 2018. PMID: 30208932

13 / 14
Anti-H-Ras antibody used in Western Blot (WB). GTX116041
GTX116041 WB Image

The data was published in the journal Int J Mol Sci in 2018. PMID: 29518977

14 / 14
Anti-H-Ras antibody used in Immunocytochemistry/ Immunofluorescence (ICC/IF). GTX116041
Anti-H-Ras antibody used in Western Blot (WB). GTX116041
Anti-H-Ras antibody used in Western Blot (WB). GTX116041
Anti-H-Ras antibody used in Western Blot (WB). GTX116041
Anti-H-Ras antibody used in IHC (Paraffin sections) (IHC-P). GTX116041
Anti-H-Ras antibody used in IHC (Paraffin sections) (IHC-P). GTX116041
Anti-H-Ras antibody used in Western Blot (WB). GTX116041
Anti-H-Ras antibody used in Western Blot (WB). GTX116041
Anti-H-Ras antibody used in Western Blot (WB). GTX116041
Anti-H-Ras antibody used in Western Blot (WB). GTX116041
Anti-H-Ras antibody used in IHC (Paraffin sections) (IHC-P). GTX116041
Anti-H-Ras antibody used in Western Blot (WB). GTX116041
Anti-H-Ras antibody used in Western Blot (WB). GTX116041
Anti-H-Ras antibody used in Western Blot (WB). GTX116041
  • 宿主
    Rabbit
  • 克隆
    Polyclonal
  • 同种型
    IgG
  • 实验应用
    WB ICC/IF IHC-P IP
  • 种属反应
    Human, Mouse, Rat
查看所有 H-Ras 的产品