HCN1抗体

目录号 GTX131334
目录号  GTX131334
Anti-HCN1 antibody used in IHC (Paraffin sections) (IHC-P). GTX131334
GTX131334 IHC-P Image

HCN1 antibody detects HCN1 protein by immunohistochemical analysis.
Sample: Paraffin-embedded mouse cerebellum.
HCN1 stained by HCN1 antibody (GTX131334) diluted at 1:500.
Antigen Retrieval: Citrate buffer, pH 6.0, 15 min

1 / 7
Anti-HCN1 antibody used in IHC (Paraffin sections) (IHC-P). GTX131334
GTX131334 IHC-P Image

HCN1 antibody detects HCN1 protein by immunohistochemical analysis.
Sample: Paraffin-embedded mouse hippocampus.
HCN1 stained by HCN1 antibody (GTX131334) diluted at 1:500.
Antigen Retrieval: Citrate buffer, pH 6.0, 15 min

2 / 7
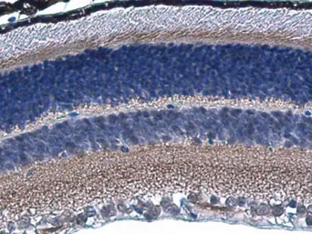
Anti-HCN1 antibody used in IHC (Paraffin sections) (IHC-P). GTX131334
GTX131334 IHC-P Image

HCN1 antibody detects HCN1 protein in mouse retina by immunohistochemical analysis.
Sample: Paraffin-embedded mouse retina.
HCN1 antibody (GTX131334) diluted at 1:800.

Antigen Retrieval: Citrate buffer, pH 6.0, 15 min

3 / 7
Anti-HCN1 antibody used in Immunocytochemistry/ Immunofluorescence (ICC/IF). GTX131334
GTX131334 ICC/IF Image

HCN1 antibody detects HCN1 protein by immunofluorescent analysis.
Sample: DIV9 rat E18 primary cortical neuron cells were fixed in 4% paraformaldehyde at RT for 15 min.
Green: HCN1 stained by HCN1 antibody (GTX131334) diluted at 1:500.
Red: beta Tubulin 3/ Tuj1, stained by beta Tubulin 3/ Tuj1 antibody [GT1338] (GTX631831) diluted at 1:500.
Blue: Fluoroshield with DAPI (GTX30920).

4 / 7
Anti-HCN1 antibody used in IHC (Paraffin sections) (IHC-P). GTX131334
GTX131334 IHC-P Image

HCN1 antibody detects HCN1 protein at cell membrane in rat brain by immunohistochemical analysis.
Sample: Paraffin-embedded rat brain.
HCN1 antibody (GTX131334) diluted at 1:500.

Antigen Retrieval: Citrate buffer, pH 6.0, 15 min

5 / 7
Anti-HCN1 antibody used in IHC (Frozen sections) (IHC-Fr). GTX131334
GTX131334 IHC-Fr Image

HCN1 antibody detects HCN1 protein expression by immunohistochemical analysis.
Sample: Frozen-sectioned adult mouse hippocampus.
Green: HCN1 protein stained by HCN1 antibody (GTX131334) diluted at 1:250.
Blue: Fluoroshield with DAPI (GTX30920).

6 / 7
Anti-HCN1 antibody used in IHC (Frozen sections) (IHC-Fr). GTX131334
GTX131334 IHC-Fr Image

HCN1 antibody detects HCN1 protein expression by immunohistochemical analysis.
Sample: Frozen-sectioned adult mouse cerebellum.
Green: HCN1 protein stained by HCN1 antibody (GTX131334) diluted at 1:250.
Red: beta Tubulin 3/ TUJ1, stained by beta Tubulin 3/ TUJ1 antibody [GT11710] (GTX631836) diluted at 1:500.
Blue: Fluoroshield with DAPI (GTX30920).

7 / 7
Anti-HCN1 antibody used in IHC (Paraffin sections) (IHC-P). GTX131334
Anti-HCN1 antibody used in IHC (Paraffin sections) (IHC-P). GTX131334
Anti-HCN1 antibody used in IHC (Paraffin sections) (IHC-P). GTX131334
Anti-HCN1 antibody used in Immunocytochemistry/ Immunofluorescence (ICC/IF). GTX131334
Anti-HCN1 antibody used in IHC (Paraffin sections) (IHC-P). GTX131334
Anti-HCN1 antibody used in IHC (Frozen sections) (IHC-Fr). GTX131334
Anti-HCN1 antibody used in IHC (Frozen sections) (IHC-Fr). GTX131334
  • 宿主
    Rabbit
  • 克隆
    Polyclonal
  • 同种型
    IgG
  • 实验应用
    ICC/IF IHC-P IHC-Fr
  • 种属反应
    Mouse, Rat
查看所有 HCN1 的产品