HMGB1抗体

目录号 GTX101277
目录号  GTX101277
Anti-HMGB1 antibody used in Western Blot (WB). GTX101277
GTX101277 WB Image

Non-transfected (–) and transfected (+) 293T whole cell extracts (30 μg) were separated by 12% SDS-PAGE, and the membrane was blotted with HMGB1 antibody (GTX101277) diluted at 1:5000. The HRP-conjugated anti-rabbit IgG antibody (GTX213110-01) was used to detect the primary antibody.

1 / 21
Anti-HMGB1 antibody used in Western Blot (WB). GTX101277
GTX101277 WB Image

Various whole cell extracts (30 μg) were separated by 12% SDS-PAGE, and the membrane was blotted with HMGB1 antibody (GTX101277) diluted at 1:3000. The HRP-conjugated anti-rabbit IgG antibody (GTX213110-01) was used to detect the primary antibody.

2 / 21
Anti-HMGB1 antibody used in Immunocytochemistry/ Immunofluorescence (ICC/IF). GTX101277
GTX101277 ICC/IF Image

HMGB1 antibody detects HMGB1 protein at cytoplasm and nucleus by immunofluorescent analysis.
Sample: SK-N-SH cells were fixed in 4% paraformaldehyde at RT for 15 min.
Green: HMGB1 protein stained by HMGB1 antibody (GTX101277) diluted at 1:1000.
Red: beta Tubulin 3/ Tuj1 stained by beta Tubulin 3/ Tuj1 antibody [GT11710] (GTX631836) diluted at 1:500.
Scale bar = 10 μm.

3 / 21
Anti-HMGB1 antibody used in Immunocytochemistry/ Immunofluorescence (ICC/IF). GTX101277
GTX101277 ICC/IF Image

HMGB1 antibody detects HMGB1 protein at nucleus by immunofluorescent analysis.
Sample: HeLa cells were fixed in 4% paraformaldehyde at RT for 15 min.
Green: HMGB1 protein stained by HMGB1 antibody (GTX101277) diluted at 1:1000.
Red: phalloidin, a cytoskeleton marker, stained by phalloidin (invitrogen, A12380) diluted at 1:200.
Blue: Hoechst 33342 staining.

4 / 21
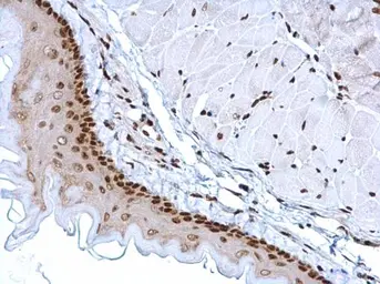
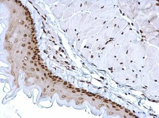
Anti-HMGB1 antibody used in IHC (Paraffin sections) (IHC-P). GTX101277
GTX101277 IHC-P Image

HMGB1 antibody detects HMGB1 protein at nucleus on mouse esophagus by immunohistochemical analysis.
Sample: Paraffin-embedded mouse esophagus.
HMGB1 antibody (GTX101277) dilution: 1:1000.

Antigen Retrieval: Trilogy™ (EDTA based, pH 8.0) buffer, 15min

5 / 21
Anti-HMGB1 antibody used in Immunocytochemistry/ Immunofluorescence (ICC/IF). GTX101277
GTX101277 ICC/IF Image

HMGB1 antibody detects HMGB1 protein at nucleus by immunofluorescent analysis.
Sample: NIH/3T3 cells were fixed in 4% paraformaldehyde at RT for 15 min.
Green: HMGB1 protein stained by HMGB1 antibody (GTX101277) diluted at 1:500.
Red: phalloidin, a cytoskeleton marker, diluted at 1:50.
Scale bar = 10 μm.

6 / 21
Anti-HMGB1 antibody used in Western Blot (WB). GTX101277
GTX101277 WB Image

Various whole cell extracts (30 μg) were separated by 12% SDS-PAGE, and the membrane was blotted with HMGB1 antibody (GTX101277) diluted at 1:3000. The HRP-conjugated anti-rabbit IgG antibody (GTX213110-01) was used to detect the primary antibody.

7 / 21
Anti-HMGB1 antibody used in Western Blot (WB). GTX101277
GTX101277 WB Image

HMGB1 antibody detects HMGB1 protein by western blot analysis.
A. 30 μg PC-12 whole cell lysate/extract
12% SDS-PAGE
HMGB1 antibody (GTX101277) dilution: 1:3000
The HRP-conjugated anti-rabbit IgG antibody (GTX213110-01) was used to detect the primary antibody.

8 / 21
Anti-HMGB1 antibody used in Western Blot (WB). GTX101277
GTX101277 WB Image

Non-transfected (–) and transfected (+) 293T whole cell extracts (30 μg) were separated by 12% SDS-PAGE, and the membrane was blotted with HMGB1 antibody (GTX101277) diluted at 1:5000. The HRP-conjugated anti-rabbit IgG antibody (GTX213110-01) was used to detect the primary antibody.

9 / 21
Anti-HMGB1 antibody used in IHC (Paraffin sections) (IHC-P). GTX101277
GTX101277 IHC-P Image

HMGB1 antibody detects HMGB1 protein at nucleus in mouse esophagus by immunohistochemical analysis.
Sample: Paraffin-embedded mouse esophagus.
HMGB1 antibody (GTX101277) diluted at 1:1000.

Antigen Retrieval: Citrate buffer, pH 6.0, 15 min

10 / 21
Anti-HMGB1 antibody used in IHC (Paraffin sections) (IHC-P). GTX101277
GTX101277 IHC-P Image

HMGB1 antibody detects HMGB1 protein at nucleus on rat brain stem by immunohistochemical analysis.
Sample: Paraffin-embedded rat brain stem.
HMGB1 antibody (GTX101277) dilution: 1:1000.

Antigen Retrieval: Trilogy™ (EDTA based, pH 8.0) buffer, 15min

11 / 21
Anti-HMGB1 antibody used in IHC (Paraffin sections) (IHC-P). GTX101277
GTX101277 IHC-P Image

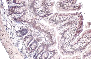
HMGB1 antibody detects HMGB1 protein at nucleus on mouse colon by immunohistochemical analysis.
Sample: Paraffin-embedded mouse colon.
HMGB1 antibody (GTX101277) dilution: 1:1000.

Antigen Retrieval: Trilogy™ (EDTA based, pH 8.0) buffer, 15min

12 / 21
Anti-HMGB1 antibody used in Western Blot (WB). GTX101277
GTX101277 WB Image

HMGB1 antibody detects HMGB1 protein by western blot analysis.
A. 30 μg NIH-3T3 whole cell lysate/extract
B. 30 μg JC whole cell lysate/extract
C. 30 μg BCL-1 whole cell lysate/extract
D. 30 μg C2C12 whole cell lysate/extract
E. 30 μg Raw264.7 whole cell lysate/extract
12% SDS-PAGE
HMGB1 antibody (GTX101277) dilution: 1:3000
The HRP-conjugated anti-rabbit IgG antibody (GTX213110-01) was used to detect the primary antibody.

13 / 21
Anti-HMGB1 antibody used in Western Blot (WB). GTX101277
GTX101277 WB Image

Various tissue extracts (30 μg) were separated by 12% SDS-PAGE, and the membrane was blotted with HMGB1 antibody (GTX101277) diluted at 1:1000. The HRP-conjugated anti-rabbit IgG antibody (GTX213110-01) was used to detect the primary antibody. (GI: gastrointestinal)

14 / 21
Anti-HMGB1 antibody used in IHC (Paraffin sections) (IHC-P). GTX101277
GTX101277 IHC-P Image

Immunohistochemical analysis of paraffin-embedded zebrafish tissue, using HMGB1 antibody (GTX101277) at 1:300 dilution.

15 / 21
Anti-HMGB1 antibody used in IHC (Whole mount) (IHC-Wm). GTX101277
GTX101277 IHC-Wm Image

HMGB1 antibody detects Hmgb1 protein on whole mount zebrafish by immunohistochemical analysis.
Sample: Paraformaldehyde-fixed 2 days-post-fertilization zebrafish embryo.
Green: Hmgb1 stained by HMGB1 antibody (GTX101277) diluted at 1:100.
Antigen Retrieval: Tris-HCl buffer, pH 9.0, 20 min at 70ºC

16 / 21
Anti-HMGB1 antibody used in IHC (Paraffin sections) (IHC-P). GTX101277
GTX101277 IHC-P Image

HMGB1 antibody detects HMGB1 protein at nucleus by immunohistochemical analysis.
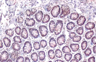
Sample: Paraffin-embedded rat colon.
HMGB1 stained by HMGB1 antibody (GTX101277) diluted at 1:500.
Antigen Retrieval: Citrate buffer, pH 6.0, 15 min

17 / 21
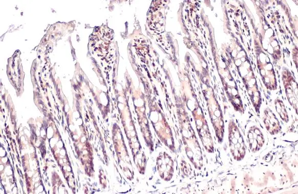
Anti-HMGB1 antibody used in IHC (Paraffin sections) (IHC-P). GTX101277
GTX101277 IHC-P Image

HMGB1 antibody detects HMGB1 protein at nucleus by immunohistochemical analysis.
Sample: Paraffin-embedded rat colon.
HMGB1 stained by HMGB1 antibody (GTX101277) diluted at 1:500.
Antigen Retrieval: Citrate buffer, pH 6.0, 15 min

18 / 21
Anti-HMGB1 antibody used in IHC (Paraffin sections) (IHC-P). GTX101277
GTX101277 IHC-P Image

HMGB1 antibody detects HMGB1 protein at nucleus by immunohistochemical analysis.
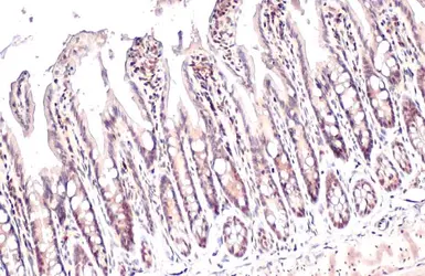
Sample: Paraffin-embedded mouse intestine.
HMGB1 stained by HMGB1 antibody (GTX101277) diluted at 1:500.
Antigen Retrieval: Citrate buffer, pH 6.0, 15 min

19 / 21
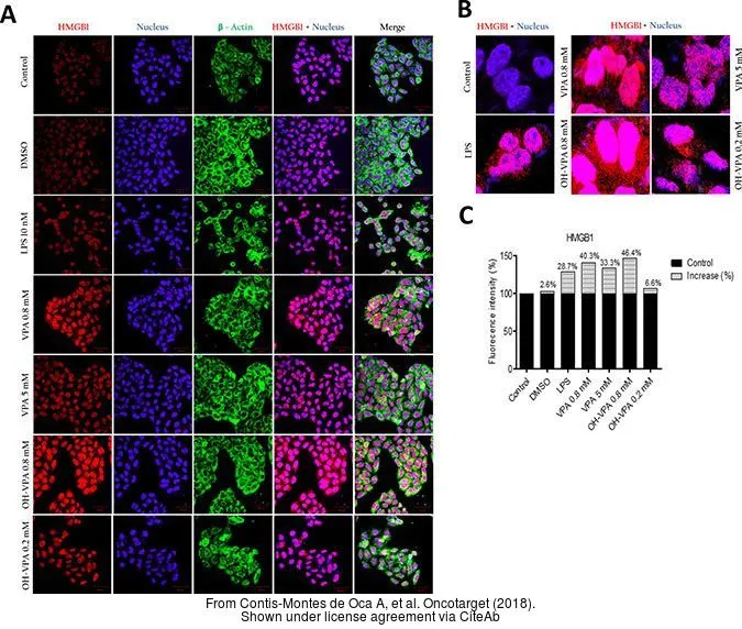
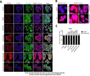
Anti-HMGB1 antibody used in Immunocytochemistry/ Immunofluorescence (ICC/IF). GTX101277
GTX101277 ICC/IF Image

The data was published in the journal Oncotarget in 2018. PMID: 30279967

20 / 21
Anti-HMGB1 antibody used in Western Blot (WB). GTX101277
GTX101277 WB Image

The data was published in the 2016 in Nat Commun. PMID: 27329339

21 / 21
Anti-HMGB1 antibody used in Western Blot (WB). GTX101277
Anti-HMGB1 antibody used in Western Blot (WB). GTX101277
Anti-HMGB1 antibody used in Immunocytochemistry/ Immunofluorescence (ICC/IF). GTX101277
Anti-HMGB1 antibody used in Immunocytochemistry/ Immunofluorescence (ICC/IF). GTX101277
Anti-HMGB1 antibody used in IHC (Paraffin sections) (IHC-P). GTX101277
Anti-HMGB1 antibody used in Immunocytochemistry/ Immunofluorescence (ICC/IF). GTX101277
Anti-HMGB1 antibody used in Western Blot (WB). GTX101277
Anti-HMGB1 antibody used in Western Blot (WB). GTX101277
Anti-HMGB1 antibody used in Western Blot (WB). GTX101277
Anti-HMGB1 antibody used in IHC (Paraffin sections) (IHC-P). GTX101277
Anti-HMGB1 antibody used in IHC (Paraffin sections) (IHC-P). GTX101277
Anti-HMGB1 antibody used in IHC (Paraffin sections) (IHC-P). GTX101277
Anti-HMGB1 antibody used in Western Blot (WB). GTX101277
Anti-HMGB1 antibody used in Western Blot (WB). GTX101277
Anti-HMGB1 antibody used in IHC (Paraffin sections) (IHC-P). GTX101277
Anti-HMGB1 antibody used in IHC (Whole mount) (IHC-Wm). GTX101277
Anti-HMGB1 antibody used in IHC (Paraffin sections) (IHC-P). GTX101277
Anti-HMGB1 antibody used in IHC (Paraffin sections) (IHC-P). GTX101277
Anti-HMGB1 antibody used in IHC (Paraffin sections) (IHC-P). GTX101277
Anti-HMGB1 antibody used in Immunocytochemistry/ Immunofluorescence (ICC/IF). GTX101277
Anti-HMGB1 antibody used in Western Blot (WB). GTX101277
  • 宿主
    Rabbit
  • 克隆
    Polyclonal
  • 同种型
    IgG
  • 实验应用
    WB ICC/IF IHC-P IHC-Wm IHC IHC (Free Floating)
  • 种属反应
    Human, Mouse, Rat, Zebrafish, Pig
查看所有 HMGB1 的产品