HMGCL抗体 [N2C3]

目录号 GTX114472
目录号  GTX114472
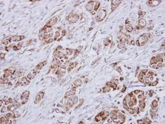
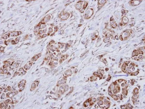
Anti-HMGCL antibody [N2C3] used in IHC (Paraffin sections) (IHC-P). GTX114472
GTX114472 IHC-P Image

Immunohistochemical analysis of paraffin-embedded human breast cancer, using HMGCL(GTX114472) antibody at 1:250 dilution.
Antigen Retrieval: Trilogy™ (EDTA based, pH 8.0) buffer, 15min

1 / 2
Anti-HMGCL antibody [N2C3] used in Western Blot (WB). GTX114472
GTX114472 WB Image

Sample (30 ug of whole cell lysate)
A: Hela
10% SDS PAGE
HL antibody
GTX114472 diluted at 1:1000

2 / 2
Anti-HMGCL antibody [N2C3] used in IHC (Paraffin sections) (IHC-P). GTX114472
Anti-HMGCL antibody [N2C3] used in Western Blot (WB). GTX114472
  • 宿主
    Rabbit
  • 克隆
    Polyclonal
  • 同种型
    IgG
  • 实验应用
    WB IHC-P
  • 种属反应
    Human
查看所有 HMGCL 的产品