HMGCS1抗体

目录号 GTX112346
目录号  GTX112346
Anti-HMGCS1 antibody used in Western Blot (WB). GTX112346
GTX112346 WB Image

Whole cell extract (30 μg) was separated by 7.5% SDS-PAGE, and the membrane was blotted with HMGCS1 antibody (GTX112346) diluted at 1:5000. The HRP-conjugated anti-rabbit IgG antibody (GTX213110-01) was used to detect the primary antibody.

1 / 5
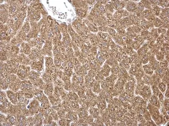
Anti-HMGCS1 antibody used in IHC (Paraffin sections) (IHC-P). GTX112346
GTX112346 IHC-P Image

HMGCS1 antibody detects HMGCS1 protein at cytosol on mouse intestine by immunohistochemical analysis.
Sample: Paraffin-embedded mouse intestine.
HMGCS1 antibody (GTX112346) dilution: 1:500.
Antigen Retrieval: Trilogy™ (EDTA based, pH 8.0) buffer, 15min

2 / 5
Anti-HMGCS1 antibody used in Western Blot (WB). GTX112346
GTX112346 WB Image

Mouse tissue extract (50 μg) was separated by 7.5% SDS-PAGE, and the membrane was blotted with HMGCS1 antibody (GTX112346) diluted at 1:1000. The HRP-conjugated anti-rabbit IgG antibody (GTX213110-01) was used to detect the primary antibody.

3 / 5
Anti-HMGCS1 antibody used in Immunocytochemistry/ Immunofluorescence (ICC/IF). GTX112346
GTX112346 ICC/IF Image

HMGCS1 antibody detects HMGCS1 protein at cytoplasm by immunofluorescent analysis.
Sample: HeLa cells were fixed in 4% paraformaldehyde at RT for 15 min.
Green: HMGCS1 protein stained by HMGCS1 antibody (GTX112346) diluted at 1:500.
Blue: Hoechst 33342 staining.
Scale bar = 10 μm.

4 / 5
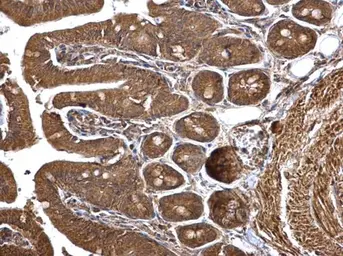
Anti-HMGCS1 antibody used in IHC (Paraffin sections) (IHC-P). GTX112346
GTX112346 IHC-P Image

HMGCS1 antibody detects HMGCS1 protein at cytosol on mouse intestine by immunohistochemical analysis.
Sample: Paraffin-embedded mouse intestine.
HMGCS1 antibody (GTX112346) dilution: 1:500.
Antigen Retrieval: Trilogy™ (EDTA based, pH 8.0) buffer, 15min

5 / 5
Anti-HMGCS1 antibody used in Western Blot (WB). GTX112346
Anti-HMGCS1 antibody used in IHC (Paraffin sections) (IHC-P). GTX112346
Anti-HMGCS1 antibody used in Western Blot (WB). GTX112346
Anti-HMGCS1 antibody used in Immunocytochemistry/ Immunofluorescence (ICC/IF). GTX112346
Anti-HMGCS1 antibody used in IHC (Paraffin sections) (IHC-P). GTX112346
  • 宿主
    Rabbit
  • 克隆
    Polyclonal
  • 同种型
    IgG
  • 实验应用
    WB ICC/IF IHC-P IHC-Fr
  • 种属反应
    Human, Mouse
查看所有 HMGCS1 的产品