HMGCS2抗体

目录号 GTX128013
目录号  GTX128013
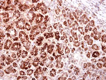
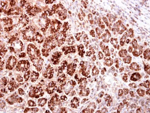
Anti-HMGCS2 antibody used in IHC (Paraffin sections) (IHC-P). GTX128013
GTX128013 IHC-P Image

HMGCS2 antibody detects HMGCS2 protein at mitochondria on human liver carcinoma by immunohistochemical analysis.
Sample: Paraffin-embedded human liver carcinoma.
HMGCS2 antibody (GTX128013) diluted at 1:500.

Antigen Retrieval: Trilogy™ (EDTA based, pH 8.0) buffer, 15min

1 / 2
Anti-HMGCS2 antibody used in Western Blot (WB). GTX128013
GTX128013 WB Image

HMGCS2 antibody detects HMGCS2 protein by Western blot analysis.
A. 30 ug 293T whole cell lysate/extract
B. 30 whole cell lysate/extract of human HMGCS2-transfected 293T cells
7.5 % SDS-PAGE
HMGCS2 antibody (GTX128013) dilution: 1:5000

2 / 2
Anti-HMGCS2 antibody used in IHC (Paraffin sections) (IHC-P). GTX128013
Anti-HMGCS2 antibody used in Western Blot (WB). GTX128013
  • 宿主
    Rabbit
  • 克隆
    Polyclonal
  • 同种型
    IgG
  • 实验应用
    WB IHC-P
  • 种属反应
    Human
查看所有 HMGCS2 的产品