HSC70抗体 [N2C1], Internal

目录号 GTX111069
目录号  GTX111069
Anti-HSC70 antibody [N2C1], Internal used in Western Blot (WB). GTX111069
GTX111069 WB Image

Sample (30 μg of whole cell lysate)
A: A431 (GTX27909)
B: HeLa
7.5% SDS PAGE
GTX111069 diluted at 1:1000
The HRP-conjugated anti-rabbit IgG antibody (GTX213110-01) was used to detect the primary antibody.

1 / 7
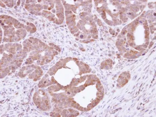
Anti-HSC70 antibody [N2C1], Internal used in IHC (Paraffin sections) (IHC-P). GTX111069
GTX111069 IHC-P Image

HSC70 antibody detects HSC70 protein at cytosol on mouse prostate by immunohistochemical analysis.
Sample: Paraffin-embedded mouse prostate.
HSC70 antibody (GTX111069) dilution: 1:500.

Antigen Retrieval: Trilogy™ (EDTA based, pH 8.0) buffer, 15min

2 / 7
Anti-HSC70 antibody [N2C1], Internal used in Western Blot (WB). GTX111069
GTX111069 WB Image

Sample (30 μg of whole cell lysate)
A: Neuro2A
B: GL261
C: C8D30
7.5% SDS PAGE
GTX111069 diluted at 1:1000
The HRP-conjugated anti-rabbit IgG antibody (GTX213110-01) was used to detect the primary antibody.

3 / 7
Anti-HSC70 antibody [N2C1], Internal used in Immunocytochemistry/ Immunofluorescence (ICC/IF). GTX111069
GTX111069 ICC/IF Image

HSC70 antibody detects HSC70 protein at cytoplasm by immunofluorescent analysis.
Sample: HeLa cells were fixed in ice-cold MeOH for 5 min.
Green: HSC70 protein stained by HSC70 antibody (GTX111069) diluted at 1:500.
Blue: Hoechst 33342 staining.

4 / 7
Anti-HSC70 antibody [N2C1], Internal used in IHC (Paraffin sections) (IHC-P). GTX111069
GTX111069 IHC-P Image

Immunohistochemical analysis of paraffin-embedded NCIN87 xenograft, using HSC70(GTX111069) antibody at 1:100 dilution.
Antigen Retrieval: Trilogy™ (EDTA based, pH 8.0) buffer, 15min

5 / 7
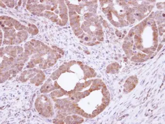
Anti-HSC70 antibody [N2C1], Internal used in IHC (Paraffin sections) (IHC-P). GTX111069
GTX111069 IHC-P Image

HSC70 antibody detects HSC70 protein at cytosol on mouse prostate by immunohistochemical analysis.
Sample: Paraffin-embedded mouse prostate.
HSC70 antibody (GTX111069) dilution: 1:500.

Antigen Retrieval: Trilogy™ (EDTA based, pH 8.0) buffer, 15min

6 / 7
Anti-HSC70 antibody [N2C1], Internal used in Western Blot (WB). GTX111069
GTX111069 WB Image

Hsc70 antibody detects Hsc70 protein by Western blot analysis.
A. 30 μg 293T whole cell lysate/extract
B. 30 μg A431 whole cell lysate/extract
C. 30 μg HeLa whole cell lysate/extract
D. 30 μg HepG2 whole cell lysate/extract
7.5 % SDS-PAGE
Hsc70 antibody (GTX111069) dilution: 1:5000

7 / 7
Anti-HSC70 antibody [N2C1], Internal used in Western Blot (WB). GTX111069
Anti-HSC70 antibody [N2C1], Internal used in IHC (Paraffin sections) (IHC-P). GTX111069
Anti-HSC70 antibody [N2C1], Internal used in Western Blot (WB). GTX111069
Anti-HSC70 antibody [N2C1], Internal used in Immunocytochemistry/ Immunofluorescence (ICC/IF). GTX111069
Anti-HSC70 antibody [N2C1], Internal used in IHC (Paraffin sections) (IHC-P). GTX111069
Anti-HSC70 antibody [N2C1], Internal used in IHC (Paraffin sections) (IHC-P). GTX111069
Anti-HSC70 antibody [N2C1], Internal used in Western Blot (WB). GTX111069
  • 宿主
    Rabbit
  • 克隆
    Polyclonal
  • 同种型
    IgG
  • 实验应用
    WB ICC/IF IHC-P
  • 种属反应
    Human, Mouse
查看所有 HSC70 的产品