Hepatitis C virus抗体

目录号 GTX70331
目录号  GTX70331
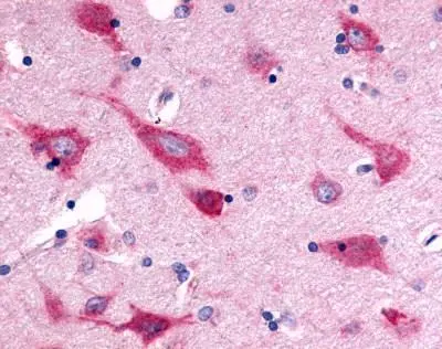
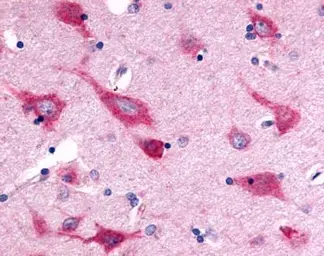
Anti-Hepatitis C virus antibody used in Immunohistochemistry (IHC). GTX70331
GTX70331 IHC Image
1 / 1
Anti-Hepatitis C virus antibody used in Immunohistochemistry (IHC). GTX70331
  • 宿主
    Rabbit
  • 克隆
    Polyclonal
  • 同种型
    IgG
  • 实验应用
    WB IHC
  • 种属反应
    Hepatitis C virus
查看所有 Hepatitis C virus 的产品