Her2 / ErbB2抗体

目录号 GTX100509
目录号  GTX100509
Anti-Her2 / ErbB2 antibody used in IHC (Paraffin sections) (IHC-P). GTX100509
GTX100509 IHC-P Image

Her2 / ErbB2 antibody detects Her2 / ErbB2 protein at cell membrane by immunohistochemical analysis.
Sample: Paraffin-embedded human breast carcinoma.
Green: Her2 / ErbB2 stained by Her2 / ErbB2 antibody (GTX100509) diluted at 1:50.

1 / 9
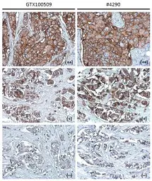
Anti-Her2 / ErbB2 antibody used in IHC (Paraffin sections) (IHC-P). GTX100509
GTX100509 IHC-P Image

Her2 / ErbB2 antibody [C2C3], C-term detects Her2 / ErbB2 protein at cell membrane in human breast carcinoma by immunohistochemical analysis.
Sample: Strong positive (++), low positive (+) and negative tissue slides cores assessed using Quantitative Digital Pathology.
Her2 / ErbB2 antibody [C2C3], C-term (GTX100509) diluted at 1:500, and competitor's antibody (CST#4290) diluted at 1:100.

Antigen Retrieval: Trilogy™ (EDTA based, pH 8.0) buffer, 15min

2 / 9
Anti-Her2 / ErbB2 antibody used in Western Blot (WB). GTX100509
GTX100509 WB Image

Wild-type (WT) and Her2 / ErbB2 knockout (KO) HeLa cell extracts (30 μg) were separated by 5% SDS-PAGE, and the membrane was blotted with Her2 / ErbB2 antibody (GTX100509) diluted at 1:5000. The HRP-conjugated anti-rabbit IgG antibody (GTX213110-01) was used to detect the primary antibody, and the signal was developed with Trident femto Western HRP Substrate.

3 / 9
Anti-Her2 / ErbB2 antibody used in Western Blot (WB). GTX100509
GTX100509 WB Image

Various whole cell extracts (30 μg) were separated by 7.5% SDS-PAGE, and the membrane was blotted with Her2 / ErbB2 antibody (GTX100509) diluted at 1:1000. The HRP-conjugated anti-rabbit IgG antibody (GTX213110-01) was used to detect the primary antibody. Corresponding RNA expression data for the same cell lines are based on Human Protein Atlas program.

4 / 9
Anti-Her2 / ErbB2 antibody used in Western Blot (WB). GTX100509
GTX100509 WB Image

Whole cell extract (30 μg) was separated by 5% SDS-PAGE, and the membrane was blotted with Her2 / ErbB2 antibody [C2C3], C-term (GTX100509) diluted at 1:10000.

5 / 9
Anti-Her2 / ErbB2 antibody used in IHC (Paraffin sections) (IHC-P). GTX100509
GTX100509 IHC-P Image

Her2 / ErbB2 antibody detects Her2 / ErbB2 protein at cell membrane by immunohistochemical analysis.
Sample: Human Breast Cancer.
Green: Her2 / ErbB2 stained by Dylight488-conjugated Her2 / ErbB2 antibody (GTX100509) diluted at 1:500.

6 / 9
Anti-Her2 / ErbB2 antibody used in Western Blot (WB). GTX100509
GTX100509 WB Image

Various whole cell extracts (30 μg) were separated by 5% SDS-PAGE, and the membrane was blotted with Her2 / ErbB2 antibody [C2C3], C-term (GTX100509) diluted at 1:2000. The HRP-conjugated anti-rabbit IgG antibody (GTX213110-01) was used to detect the primary antibody.

7 / 9
Anti-Her2 / ErbB2 antibody used in Western Blot (WB). GTX100509
GTX100509 WB Image

Non-transfected (–) and transfected (+) 293T whole cell extracts were separated by 5% SDS-PAGE, and the membrane was blotted with Her2 / ErbB2 antibody (GTX100509) diluted at 1:7000. The HRP-conjugated anti-rabbit IgG antibody (GTX213110-01) was used to detect the primary antibody.

8 / 9
Anti-Her2 / ErbB2 antibody used in Western Blot (WB). GTX100509
GTX100509 WB Image

Various whole cell extracts (30 μg) were separated by 5% SDS-PAGE, and the membrane was blotted with Her2 / ErbB2 antibody [C2C3], C-term (GTX100509) diluted at 1:2000. The HRP-conjugated anti-rabbit IgG antibody (GTX213110-01) was used to detect the primary antibody.

9 / 9
Anti-Her2 / ErbB2 antibody used in IHC (Paraffin sections) (IHC-P). GTX100509
Anti-Her2 / ErbB2 antibody used in IHC (Paraffin sections) (IHC-P). GTX100509
Anti-Her2 / ErbB2 antibody used in Western Blot (WB). GTX100509
Anti-Her2 / ErbB2 antibody used in Western Blot (WB). GTX100509
Anti-Her2 / ErbB2 antibody used in Western Blot (WB). GTX100509
Anti-Her2 / ErbB2 antibody used in IHC (Paraffin sections) (IHC-P). GTX100509
Anti-Her2 / ErbB2 antibody used in Western Blot (WB). GTX100509
Anti-Her2 / ErbB2 antibody used in Western Blot (WB). GTX100509
Anti-Her2 / ErbB2 antibody used in Western Blot (WB). GTX100509
  • 宿主
    Rabbit
  • 克隆
    Polyclonal
  • 同种型
    IgG
  • 实验应用
    WB IHC-P
  • 种属反应
    Human
摘要
HER2 antibody recognizes HER2 protein, also known as proto-oncogene Neu or ERBB2 (predicted molecular weight of 138 kDa). HER2 is a member of the human epidermal growth factor receptor (EGFR) family of receptor tyrosine kinases. It shares 50% sequence identity with EGFR protein, but involves different signaling pathways. HER2 can heterodimerize with EGFR protein or homodimerize when it is present in high concentrations.
查看所有 Her2 / ErbB2 的产品