Her2 / ErbB2 (phospho Tyr1221/Tyr1222)抗体

目录号 GTX133445
目录号  GTX133445
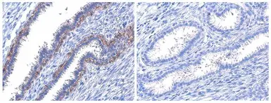
Anti-Her2 / ErbB2 (phospho Tyr1221/Tyr1222) antibody used in IHC (Paraffin sections) (IHC-P). GTX133445
GTX133445 IHC-P Image

Her2 / ErbB2 (phospho Tyr1221/Tyr1222) antibody detects Her2 / ErbB2 (phospho Tyr1221/Tyr1222) protein at cell membrane by immunohistochemical analysis in the presence of control peptide (left) or antigen-specific peptide (right).
Sample: Paraffin-embedded human breast carcinoma.
Her2 / ErbB2 (phospho Tyr1221/Tyr1222) stained by Her2 / ErbB2 (phospho Tyr1221/Tyr1222) antibody (GTX133445) diluted at 1:1000.
Antigen Retrieval: Citrate buffer, pH 6.0, 15 min

1 / 2
Anti-Her2 / ErbB2 (phospho Tyr1221/Tyr1222) antibody used in Western Blot (WB). GTX133445
GTX133445 WB Image

Untreated (–) and treated (+) MCF-7 whole cell extracts (30 μg) were separated by 7.5% SDS-PAGE, and the membrane was blotted with Her2 / ErbB2 (phospho Tyr1221/Tyr1222) antibody (GTX133445) diluted at 1:1000. The HRP-conjugated anti-rabbit IgG antibody (GTX213110-01) was used to detect the primary antibody.

2 / 2
Anti-Her2 / ErbB2 (phospho Tyr1221/Tyr1222) antibody used in IHC (Paraffin sections) (IHC-P). GTX133445
Anti-Her2 / ErbB2 (phospho Tyr1221/Tyr1222) antibody used in Western Blot (WB). GTX133445
  • 宿主
    Rabbit
  • 克隆
    Polyclonal
  • 同种型
    IgG
  • 实验应用
    WB IHC-P
  • 种属反应
    Human
查看所有 Her2 / ErbB2 的产品