Histone H2A.X抗体

目录号 GTX108272
目录号  GTX108272
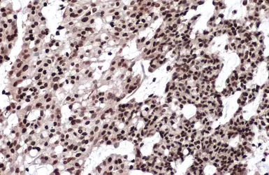
Anti-Histone H2A.X antibody used in IHC (Paraffin sections) (IHC-P). GTX108272
GTX108272 IHC-P Image

Histone H2A.X antibody detects Histone H2A.X protein at nucleus on mouse prostate by immunohistochemical analysis.
Sample: Paraffin-embedded mouse prostate.
Histone H2A.X antibody (GTX108272) dilution: 1:500.

Antigen Retrieval: Trilogy™ (EDTA based, pH 8.0) buffer, 15min

1 / 15
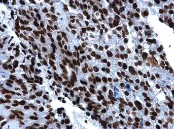
Anti-Histone H2A.X antibody used in IHC (Paraffin sections) (IHC-P). GTX108272
GTX108272 IHC-P Image

Histone H2A.X antibody detects Histone H2A.X protein at nucleus on rat hind brain by immunohistochemical analysis.
Sample: Paraffin-embedded rat hind brain.
Histone H2A.X antibody (GTX108272) dilution: 1:500.

Antigen Retrieval: Trilogy™ (EDTA based, pH 8.0) buffer, 15min

2 / 15
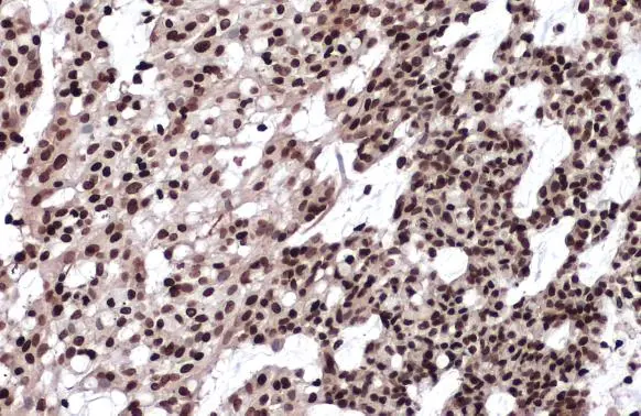
Anti-Histone H2A.X antibody used in IHC (Paraffin sections) (IHC-P). GTX108272
GTX108272 IHC-P Image

Histone H2A.X antibody detects Histone H2A.X protein at nucleus on mouse prostate by immunohistochemical analysis.
Sample: Paraffin-embedded mouse prostate.
Histone H2A.X antibody (GTX108272) dilution: 1:500.

Antigen Retrieval: Trilogy™ (EDTA based, pH 8.0) buffer, 15min

3 / 15
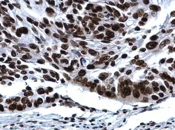
Anti-Histone H2A.X antibody used in IHC (Paraffin sections) (IHC-P). GTX108272
GTX108272 IHC-P Image

Histone H2A.X antibody detects Histone H2A.X protein at nucleus in human cervical cancer by immunohistochemical analysis.
Sample: Paraffin-embedded human cervical cancer.
Histone H2A.X antibody (GTX108272) diluted at 1:500.

Antigen Retrieval: Citrate buffer, pH 6.0, 15 min

4 / 15
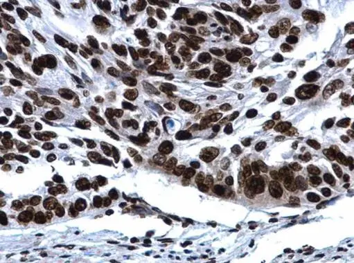
Anti-Histone H2A.X antibody used in IHC (Paraffin sections) (IHC-P). GTX108272
GTX108272 IHC-P Image

Histone H2A.X antibody detects Histone H2A.X protein at nucleus in human esophagus cancer by immunohistochemical analysis.
Sample: Paraffin-embedded human esophagus cancer.
Histone H2A.X antibody (GTX108272) diluted at 1:500.

Antigen Retrieval: Citrate buffer, pH 6.0, 15 min

5 / 15
Anti-Histone H2A.X antibody used in Immunocytochemistry/ Immunofluorescence (ICC/IF). GTX108272
GTX108272 ICC/IF Image

Confocal immunofluorescence analysis (Olympus FV10i) of paraformaldehyde-fixed U2OS, using Histone H2A.X (GTX108272) antibody (Green) at 1:500 dilution. Alpha-tubulin filaments were labeled with GTX11304 (Red) at 1:2000.

6 / 15
Anti-Histone H2A.X antibody used in Western Blot (WB). GTX108272
GTX108272 WB Image

Various whole cell extracts (30 μg) were separated by 15% SDS-PAGE, and the membrane was blotted with Histone H2A.X antibody (GTX108272) diluted at 1:1000. The HRP-conjugated anti-rabbit IgG antibody (GTX213110-01) was used to detect the primary antibody. Corresponding RNA expression data for the same cell lines are based on Human Protein Atlas program.

7 / 15
Anti-Histone H2A.X antibody used in Western Blot (WB). GTX108272
GTX108272 WB Image

Various whole cell extracts (30 μg) were separated by 15% SDS-PAGE, and the membrane was blotted with Histone H2A.X antibody (GTX108272) diluted at 1:500. The HRP-conjugated anti-rabbit IgG antibody (GTX213110-01) was used to detect the primary antibody.

8 / 15
Anti-Histone H2A.X antibody used in Western Blot (WB). GTX108272
GTX108272 WB Image

Various whole cell extracts (30 μg) were separated by 15% SDS-PAGE, and the membrane was blotted with Histone H2A.X antibody (GTX108272) diluted at 1:500. The HRP-conjugated anti-rabbit IgG antibody (GTX213110-01) was used to detect the primary antibody.

9 / 15
Anti-Histone H2A.X antibody used in Western Blot (WB). GTX108272
GTX108272 WB Image

Histone H2A.X antibody detects Histone H2A.X protein by western blot analysis.
A. 50 μg mouse brain extract
12% SDS-PAGE
Histone H2A.X antibody (GTX108272) dilution: 1:1000
The HRP-conjugated anti-rabbit IgG antibody (GTX213110-01) was used to detect the primary antibody.

10 / 15
Anti-Histone H2A.X antibody used in Western Blot (WB). GTX108272
GTX108272 WB Image

Untreated (–) and treated (+) HCT116 whole cell extracts (30 μg) were separated by 15% SDS-PAGE, and the membrane was blotted with Histone H2A.X antibody (GTX108272) diluted at 1:10000. The HRP-conjugated anti-rabbit IgG antibody (GTX213110-01) was used to detect the primary antibody.

11 / 15
Anti-Histone H2A.X antibody used in Immunocytochemistry/ Immunofluorescence (ICC/IF). GTX108272
GTX108272 ICC/IF Image

Histone H2A.X antibody detects Histone H2A.X protein at nucleus by immunofluorescent analysis.
Sample: HeLa cells were fixed in 4% paraformaldehyde at RT for 15 min.
Green: Histone H2A.X stained by Histone H2A.X antibody (GTX108272) diluted at 1:2000.
Red: phalloidin, a cytoskeleton marker, diluted at 1:200.
Scale bar= 10 μm.

12 / 15
Anti-Histone H2A.X antibody used in Western Blot (WB). GTX108272
GTX108272 WB Image

Histone H2A.X antibody detects Histone H2A.X protein by western blot analysis.
A. 50 μg rat brain extract
12% SDS-PAGE
Histone H2A.X antibody (GTX108272) dilution: 1:1000
The HRP-conjugated anti-rabbit IgG antibody (GTX213110-01) was used to detect the primary antibody.

13 / 15
Anti-Histone H2A.X antibody used in Immunoprecipitation (IP). GTX108272
GTX108272 IP Image

Histone H2A.X antibody immunoprecipitates H2AFX protein in IP experiments.
IP samples: Jurkat whole cell extract
A. 40 μg Jurkat whole cell extract
B. Control with 4 μg of preimmune Rabbit IgG
C. Immunoprecipitation of H2AFX protein by 4 μg Histone H2A.X antibody (GTX108272)
15 % SDS-PAGE
The immunoprecipitated H2AFX protein was detected by Histone H2A.X antibody (GTX108272) diluted at 1:2000.
[EasyBlot anti-rabbit IgG (GTX221666-01) was used as a secondary reagent]

14 / 15
Anti-Histone H2A.X antibody used in IHC (Paraffin sections) (IHC-P). GTX108272
GTX108272 IHC-P Image

Histone H2A.X antibody detects Histone H2A.X protein at nucleus by immunohistochemical analysis.
Sample: Paraffin-embedded human breast carcinoma.
Histone H2A.X stained by Histone H2A.X antibody (GTX108272) diluted at 1:500.
Antigen Retrieval: Citrate buffer, pH 6.0, 15 min

15 / 15
Anti-Histone H2A.X antibody used in IHC (Paraffin sections) (IHC-P). GTX108272
Anti-Histone H2A.X antibody used in IHC (Paraffin sections) (IHC-P). GTX108272
Anti-Histone H2A.X antibody used in IHC (Paraffin sections) (IHC-P). GTX108272
Anti-Histone H2A.X antibody used in IHC (Paraffin sections) (IHC-P). GTX108272
Anti-Histone H2A.X antibody used in IHC (Paraffin sections) (IHC-P). GTX108272
Anti-Histone H2A.X antibody used in Immunocytochemistry/ Immunofluorescence (ICC/IF). GTX108272
Anti-Histone H2A.X antibody used in Western Blot (WB). GTX108272
Anti-Histone H2A.X antibody used in Western Blot (WB). GTX108272
Anti-Histone H2A.X antibody used in Western Blot (WB). GTX108272
Anti-Histone H2A.X antibody used in Western Blot (WB). GTX108272
Anti-Histone H2A.X antibody used in Western Blot (WB). GTX108272
Anti-Histone H2A.X antibody used in Immunocytochemistry/ Immunofluorescence (ICC/IF). GTX108272
Anti-Histone H2A.X antibody used in Western Blot (WB). GTX108272
Anti-Histone H2A.X antibody used in Immunoprecipitation (IP). GTX108272
Anti-Histone H2A.X antibody used in IHC (Paraffin sections) (IHC-P). GTX108272
  • 宿主
    Rabbit
  • 克隆
    Polyclonal
  • 同种型
    IgG
  • 实验应用
    WB ICC/IF IHC-P IP
  • 种属反应
    Human, Mouse, Rat
查看所有 Histone H2A.X 的产品