Histone H2A.XS139ph (phospho Ser139)抗体

目录号 GTX127340
目录号  GTX127340
Anti-Histone H2A.XS139ph (phospho Ser139) antibody used in Western Blot (WB). GTX127340
GTX127340 WB Image

Untreated (–) and treated (+) HCT116 whole cell extracts (30 μg) were separated by 15% SDS-PAGE, and the membrane was blotted with Histone H2A.XS139ph (phospho Ser139) antibody (GTX127340) diluted at 1:1000. The HRP-conjugated anti-rabbit IgG antibody (GTX213110-01) was used to detect the primary antibody.

1 / 11
Anti-Histone H2A.XS139ph (phospho Ser139) antibody used in Western Blot (WB). GTX127340
GTX127340 WB Image

Untreated (–) and treated (+) HCT-116 whole cell extracts (30 μg) were separated by 15% SDS-PAGE, and the membrane was blotted with Histone H2A.XS139ph (phospho Ser139) antibody (GTX127340) diluted at 1:1000. The HRP-conjugated anti-rabbit IgG antibody (GTX213110-01) was used to detect the primary antibody.

2 / 11
Anti-Histone H2A.XS139ph (phospho Ser139) antibody used in Western Blot (WB). GTX127340
GTX127340 WB Image

Untreated (–) and treated (+) PC-12 whole cell extracts (30 μg) were separated by 15% SDS-PAGE, and the membrane was blotted with Histone H2A.XS139ph (phospho Ser139) antibody (GTX127340) diluted at 1:1000. The HRP-conjugated anti-rabbit IgG antibody (GTX213110-01) was used to detect the primary antibody.

3 / 11
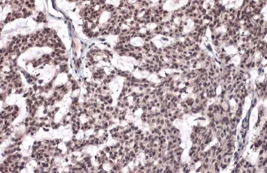
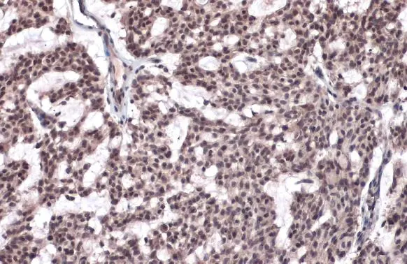
Anti-Histone H2A.XS139ph (phospho Ser139) antibody used in IHC (Paraffin sections) (IHC-P). GTX127340
GTX127340 IHC-P Image

Histone H2A.XS139ph (phospho Ser139) antibody detects Histone H2A.XS139ph (phospho Ser139) protein at nucleus by immunohistochemical analysis.
Sample: Paraffin-embedded human breast carcinoma.
Histone H2A.XS139ph (phospho Ser139) stained by Histone H2A.XS139ph (phospho Ser139) antibody (GTX127340) diluted at 1:500.
Antigen Retrieval: Citrate buffer, pH 6.0, 15 min

4 / 11
Anti-Histone H2A.XS139ph (phospho Ser139) antibody used in Immunocytochemistry/ Immunofluorescence (ICC/IF). GTX127340
GTX127340 ICC/IF Image

Histone H2A.XS139ph (phospho Ser139) antibody detects Histone H2A.XS139ph (phospho Ser139) protein at nucleus by immunofluorescent analysis.
Sample: HeLa cells were fixed in 4% paraformaldehyde at RT for 15 min.
Green: Histone H2A.XS139ph (phospho Ser139) stained by Histone H2A.XS139ph (phospho Ser139) antibody (GTX127340) diluted at 1:1000.
Red: phalloidin, a cytoskeleton marker, diluted at 1:100.
Scale bar= 10 μm.

5 / 11
Anti-Histone H2A.XS139ph (phospho Ser139) antibody used in Western Blot (WB). GTX127340
GTX127340 WB Image

Histone H2A.X (phospho Ser139) antibody detects H2AFX protein by western blot analysis.
A. 30 μg HCT116 whole cell lysate/extract (untreated for 2hr)
B. 30 μg HCT116 whole cell lysate/extract (UVB treatment 50mJ for 2hr)
C. 30 μg HCT116 whole cell lysate/extract (untreated for 6hr)
D. 30 μg HCT116 whole cell lysate/extract (UVB treatment 50mJ for 6hr)
15% SDS-PAGE
Histone H2A.X (phospho Ser139) antibody (GTX127340) dilution: 1:1000
The HRP-conjugated anti-rabbit IgG antibody (GTX213110-01) was used to detect the primary antibody.

6 / 11
Anti-Histone H2A.XS139ph (phospho Ser139) antibody used in Western Blot (WB). GTX127340
GTX127340 WB Image

Histone H2A.X (phospho Ser139) antibody detects H2AFX protein in cisplatin-treated samples by western blot analysis.
A. 30 μg NIH-3T3 whole cell lysate/extract (untreated)
B. 30 μg NIH-3T3 whole cell lysate/extract (30μM cisplatin treatment for 24hr)
15% SDS-PAGE
Histone H2A.X (phospho Ser139) antibody (GTX127340) dilution: 1:1000
The HRP-conjugated anti-rabbit IgG antibody (GTX213110-01) was used to detect the primary antibody.

7 / 11
Anti-Histone H2A.XS139ph (phospho Ser139) antibody used in Immunocytochemistry/ Immunofluorescence (ICC/IF). GTX127340
GTX127340 ICC/IF Image

The data was published in the journal FEBS Open Bio in 2018. PMID: 29928579

8 / 11
Anti-Histone H2A.XS139ph (phospho Ser139) antibody used in Immunocytochemistry/ Immunofluorescence (ICC/IF). GTX127340
GTX127340 ICC/IF Image

The data was published in the 2022 in Cell Death Dis. PMID: 35688824

9 / 11
Anti-Histone H2A.XS139ph (phospho Ser139) antibody used in Western Blot (WB). GTX127340
GTX127340 WB Image

The data was published in the journal Cell Death Discov in 2016. PMID: 27551500

10 / 11
Anti-Histone H2A.XS139ph (phospho Ser139) antibody used in Western Blot (WB). GTX127340
GTX127340 WB Image

The data was published in the journal Cell Death Discov in 2016. PMID: 27551500

11 / 11
Anti-Histone H2A.XS139ph (phospho Ser139) antibody used in Western Blot (WB). GTX127340
Anti-Histone H2A.XS139ph (phospho Ser139) antibody used in Western Blot (WB). GTX127340
Anti-Histone H2A.XS139ph (phospho Ser139) antibody used in Western Blot (WB). GTX127340
Anti-Histone H2A.XS139ph (phospho Ser139) antibody used in IHC (Paraffin sections) (IHC-P). GTX127340
Anti-Histone H2A.XS139ph (phospho Ser139) antibody used in Immunocytochemistry/ Immunofluorescence (ICC/IF). GTX127340
Anti-Histone H2A.XS139ph (phospho Ser139) antibody used in Western Blot (WB). GTX127340
Anti-Histone H2A.XS139ph (phospho Ser139) antibody used in Western Blot (WB). GTX127340
Anti-Histone H2A.XS139ph (phospho Ser139) antibody used in Immunocytochemistry/ Immunofluorescence (ICC/IF). GTX127340
Anti-Histone H2A.XS139ph (phospho Ser139) antibody used in Immunocytochemistry/ Immunofluorescence (ICC/IF). GTX127340
Anti-Histone H2A.XS139ph (phospho Ser139) antibody used in Western Blot (WB). GTX127340
Anti-Histone H2A.XS139ph (phospho Ser139) antibody used in Western Blot (WB). GTX127340
  • 宿主
    Rabbit
  • 克隆
    Polyclonal
  • 同种型
    IgG
  • 实验应用
    WB ICC/IF IHC-P IHC-Fr IHC-Wm
  • 种属反应
    Human, Mouse, Rat, Zebrafish
查看所有 Histone H2A.X 的产品