Histone H3K27me3 (Tri-methyl Lys27)抗体

目录号 GTX121184
目录号  GTX121184
Anti-Histone H3K27me3 (Tri-methyl Lys27) antibody used in Western Blot (WB). GTX121184
GTX121184 WB Image

U87 cells were grown under normoxic (DMEM 10% FBS, 16% O2), hypoxic (DMEM 10% FBS, 1% O2), and neurosphere conditions (DMEM/F12, B-27 supplement, growth factor (10ng/ml FGF and 20ng/ml EGF)). Cell lysate were Western blotted for H3K27me3 and Histone-H3 (loading control). The HRP-conjugated anti-rabbit IgG antibody (GTX213110-01) was used to detect the primary antibody.

1 / 13
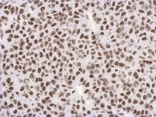
Anti-Histone H3K27me3 (Tri-methyl Lys27) antibody used in IHC (Paraffin sections) (IHC-P). GTX121184
GTX121184 IHC-P Image

Histone H3K27me3 (Tri-methyl Lys27) antibody detects Histone H3K27me3 (Tri-methyl Lys27) protein at nucleus by immunohistochemical analysis.
Sample: Paraffin-embedded mouse intestine.
Histone H3K27me3 (Tri-methyl Lys27) stained by Histone H3K27me3 (Tri-methyl Lys27) antibody (GTX121184) diluted at 1:500.
Antigen Retrieval: Citrate buffer, pH 6.0, 15 min

2 / 13
Anti-Histone H3K27me3 (Tri-methyl Lys27) antibody used in Immunocytochemistry/ Immunofluorescence (ICC/IF). GTX121184
GTX121184 ICC/IF Image

Confocal immunofluorescence analysis (Olympus FV10i) of paraformaldehyde-fixed A431, using Histone H3 (tri-Methyl K27)(GTX121184) antibody (Green) at 1:500 dilution. Alpha-tubulin filaments were labeled with GTX11304 (Red) at 1:2000.

3 / 13
Anti-Histone H3K27me3 (Tri-methyl Lys27) antibody used in Immunocytochemistry/ Immunofluorescence (ICC/IF). GTX121184
GTX121184 ICC/IF Image

Histone H3K27me3 (Tri-methyl Lys27) antibody detects Histone H3K27me3 (Tri-methyl Lys27) protein at nucleus by immunofluorescent analysis.
Sample: 293T cells were fixed in 4% paraformaldehyde at RT for 15 min.
Green: Histone H3K27me3 (Tri-methyl Lys27) stained by Histone H3K27me3 (Tri-methyl Lys27) antibody (GTX121184) diluted at 1:500.
Red: alpha Tubulin, a cytoskeleton marker, stained by alpha Tubulin antibody [GT114] (GTX628802) diluted at 1:1000.

4 / 13
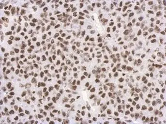
Anti-Histone H3K27me3 (Tri-methyl Lys27) antibody used in IHC (Paraffin sections) (IHC-P). GTX121184
GTX121184 IHC-P Image

Immunohistochemical analysis of paraffin-embedded Hela xenograft, using Histon H3 (tri-Methyl K27)(GTX121184) antibody at 1:500 dilution.
Antigen Retrieval: Trilogy™ (EDTA based, pH 8.0) buffer, 15min

5 / 13
Anti-Histone H3K27me3 (Tri-methyl Lys27) antibody used in IHC (Whole mount) (IHC-Wm). GTX121184
GTX121184 IHC-Wm Image

Histone H3K27me3 (trimethyl Lys27) antibody detects Histone H3K27me3 (trimethyl Lys27) protein on zebrafish by whole mount immunohistochemical analysis.
Sample: Paraformaldehyde-fixed 2 day-post-fertilization zebrafish embryo.
Histone H3K27me3 (trimethyl Lys27) antibody (GTX121184) dilution: 1:100.

6 / 13
Anti-Histone H3K27me3 (Tri-methyl Lys27) antibody used in Immunocytochemistry/ Immunofluorescence (ICC/IF). GTX121184
GTX121184 ICC/IF Image

Histone H3K27me3 (Tri-methyl Lys27) antibody detects Histone H3K27me3 (Tri-methyl Lys27) protein at nucleus by immunofluorescent analysis.
Sample: 293T cells were fixed in 4% paraformaldehyde at RT for 15 min.
Green: Histone H3K27me3 (Tri-methyl Lys27) stained by Histone H3K27me3 (Tri-methyl Lys27) antibody (GTX121184) diluted at 1:500.
Red: alpha Tubulin, a cytoskeleton marker, stained by alpha Tubulin antibody [GT114] (GTX628802) diluted at 1:1000.

7 / 13
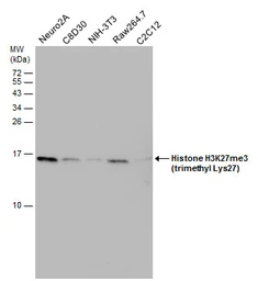
Anti-Histone H3K27me3 (Tri-methyl Lys27) antibody used in Western Blot (WB). GTX121184
GTX121184 WB Image

Various whole cell extracts (30 μg) were separated by 15% SDS-PAGE, and the membrane was blotted with Histone H3K27me3 (trimethyl Lys27) antibody (GTX121184) diluted at 1:1000.

8 / 13
Anti-Histone H3K27me3 (Tri-methyl Lys27) antibody used in Dot blot (Dot). GTX121184
GTX121184 Dot Image

Various peptide samples were spotted onto positively charged nylon membrane, and blotted with Histone H3 (tri-Methyl Lys27) antibody (GTX121184) diluted at 1:2500.

9 / 13
Anti-Histone H3K27me3 (Tri-methyl Lys27) antibody used in IHC (Frozen sections) (IHC-Fr). GTX121184
GTX121184 IHC-Fr Image

Immunofluorescence photomicrographs of frozen sections of mouse liver.
Red: Histone H3K27me3 (trimethyl Lys27) antibody (GTX121184) diluted at 1:200. The signal was developed using goat anti-rabbit IgG antibody (Dylight594) (GTX213110-05).
Blue: Nuclear staining with Hoechst 33342.

Antigen Retrieval: Trilogy™ (EDTA based, pH 8.0) buffer, 15min

10 / 13
Anti-Histone H3K27me3 (Tri-methyl Lys27) antibody used in Western Blot (WB). GTX121184
GTX121184 WB Image

Various whole cell extracts (30 μg) were separated by 15% SDS-PAGE, and the membrane was blotted with Histone H3K27me3 (Tri-methyl Lys27) antibody (GTX121184) diluted at 1:1000. The HRP-conjugated anti-rabbit IgG antibody (GTX213110-01) was used to detect the primary antibody.

11 / 13
Anti-Histone H3K27me3 (Tri-methyl Lys27) antibody used in Western Blot (WB). GTX121184
GTX121184 WB Image

Various whole cell extracts (30 μg) were separated by 15% SDS-PAGE, and the membrane was blotted with Histone H3K27me3 (Tri-methyl Lys27) antibody (GTX121184) diluted at 1:1000. The HRP-conjugated anti-rabbit IgG antibody (GTX213110-01) was used to detect the primary antibody, and the signal was developed with Trident ECL plus-Enhanced.

12 / 13
Anti-Histone H3K27me3 (Tri-methyl Lys27) antibody used in Western Blot (WB). GTX121184
GTX121184 WB Image

Various whole cell extracts (30 μg) were separated by 15% SDS-PAGE, and the membrane was blotted with Histone H3K27me3 (Tri-methyl Lys27) antibody (GTX121184) diluted at 1:1000. The HRP-conjugated anti-rabbit IgG antibody (GTX213110-01) was used to detect the primary antibody, and the signal was developed with Trident ECL plus-Enhanced.

13 / 13
Anti-Histone H3K27me3 (Tri-methyl Lys27) antibody used in Western Blot (WB). GTX121184
Anti-Histone H3K27me3 (Tri-methyl Lys27) antibody used in IHC (Paraffin sections) (IHC-P). GTX121184
Anti-Histone H3K27me3 (Tri-methyl Lys27) antibody used in Immunocytochemistry/ Immunofluorescence (ICC/IF). GTX121184
Anti-Histone H3K27me3 (Tri-methyl Lys27) antibody used in Immunocytochemistry/ Immunofluorescence (ICC/IF). GTX121184
Anti-Histone H3K27me3 (Tri-methyl Lys27) antibody used in IHC (Paraffin sections) (IHC-P). GTX121184
Anti-Histone H3K27me3 (Tri-methyl Lys27) antibody used in IHC (Whole mount) (IHC-Wm). GTX121184
Anti-Histone H3K27me3 (Tri-methyl Lys27) antibody used in Immunocytochemistry/ Immunofluorescence (ICC/IF). GTX121184
Anti-Histone H3K27me3 (Tri-methyl Lys27) antibody used in Western Blot (WB). GTX121184
Anti-Histone H3K27me3 (Tri-methyl Lys27) antibody used in Dot blot (Dot). GTX121184
Anti-Histone H3K27me3 (Tri-methyl Lys27) antibody used in IHC (Frozen sections) (IHC-Fr). GTX121184
Anti-Histone H3K27me3 (Tri-methyl Lys27) antibody used in Western Blot (WB). GTX121184
Anti-Histone H3K27me3 (Tri-methyl Lys27) antibody used in Western Blot (WB). GTX121184
Anti-Histone H3K27me3 (Tri-methyl Lys27) antibody used in Western Blot (WB). GTX121184
  • 宿主
    Rabbit
  • 克隆
    Polyclonal
  • 同种型
    IgG
  • 实验应用
    WB ICC/IF IHC-P IHC-Fr IHC-Wm Dot EM
  • 种属反应
    Human, Mouse, Rat, Zebrafish
查看所有 Histone H3 的产品