ICAM1 / CD54抗体 [N1C2]

目录号 GTX100450
目录号  GTX100450
Anti-ICAM1 / CD54 antibody [N1C2] used in IHC (Paraffin sections) (IHC-P). GTX100450
GTX100450 IHC-P Image

ICAM1 / CD54 antibody [N1C2] detects ICAM1 / CD54 protein at cell membrane by immunohistochemical analysis.
Sample: Paraffin-embedded human lung cancer.
Green: ICAM1 / CD54 stained by ICAM1 / CD54 antibody [N1C2] (GTX100450) diluted at 1:250.
Red: alpha Tubulin, a cytoskeleton marker, stained by alpha Tubulin antibody [GT114] (GTX628802) diluted at 1:1000.
Blue: Fluoroshield with DAPI (GTX30920).
Antigen Retrieval: Citrate buffer, pH 6.0, 15 min

1 / 5
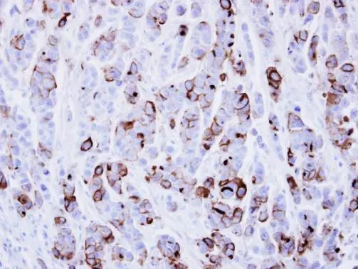
Anti-ICAM1 / CD54 antibody [N1C2] used in IHC (Paraffin sections) (IHC-P). GTX100450
GTX100450 IHC-P Image

Immunohistochemical analysis of paraffin-embedded MDAMB468 xenograft, using ICAM1 / CD54(GTX100450) antibody at 1:500 dilution.
Antigen Retrieval: Citrate buffer, pH 6.0, 15 min

2 / 5
Anti-ICAM1 / CD54 antibody [N1C2] used in Western Blot (WB). GTX100450
GTX100450 WB Image

Untreated (–) and treated (+) A549 whole cell extracts (30 μg) were separated by 5% SDS-PAGE, and the membrane was blotted with ICAM1 / CD54 antibody [N1C2] (GTX100450) diluted at 1:1000. The HRP-conjugated anti-rabbit IgG antibody (GTX213110-01) was used to detect the primary antibody, and the signal was developed with Trident ECL plus-Enhanced.

3 / 5
Anti-ICAM1 / CD54 antibody [N1C2] used in Western Blot (WB). GTX100450
GTX100450 WB Image

The data was published in the journal PLoS One in 2015. PMID: 25675397

4 / 5
Anti-ICAM1 / CD54 antibody [N1C2] used in Western Blot (WB). GTX100450
GTX100450 WB Image

The data was published in the journal PLoS One in 2015. PMID: 25675397

5 / 5
Anti-ICAM1 / CD54 antibody [N1C2] used in IHC (Paraffin sections) (IHC-P). GTX100450
Anti-ICAM1 / CD54 antibody [N1C2] used in IHC (Paraffin sections) (IHC-P). GTX100450
Anti-ICAM1 / CD54 antibody [N1C2] used in Western Blot (WB). GTX100450
Anti-ICAM1 / CD54 antibody [N1C2] used in Western Blot (WB). GTX100450
Anti-ICAM1 / CD54 antibody [N1C2] used in Western Blot (WB). GTX100450
  • 宿主
    Rabbit
  • 克隆
    Polyclonal
  • 同种型
    IgG
  • 实验应用
    WB IHC-P
  • 种属反应
    Human, Rat
查看所有 ICAM1 / CD54 的产品