IDH1抗体 [GT1521]

目录号 GTX629818
目录号  GTX629818
Anti-IDH1 antibody [GT1521] used in Western Blot (WB). GTX629818
GTX629818 WB Image

Wild-type (WT) and IDH1 knockout (KO) HeLa cell extracts (30 μg) were separated by 10% SDS-PAGE, and the membrane was blotted with IDH1 antibody [GT1521] (GTX629818) diluted at 1:500. The HRP-conjugated anti-mouse IgG antibody (GTX213111-01) was used to detect the primary antibody.

1 / 9
Anti-IDH1 antibody [GT1521] used in Western Blot (WB). GTX629818
GTX629818 WB Image

Non-transfected (–) and transfected (+) HepG2 whole cell extracts (30 μg) were separated by 10% SDS-PAGE, and the membrane was blotted with IDH1 antibody [GT1521] (GTX629818) diluted at 1:4000. The HRP-conjugated anti-mouse IgG antibody (GTX213111-01) was used to detect the primary antibody.

2 / 9
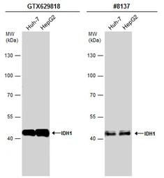
Anti-IDH1 antibody [GT1521] used in Western Blot (WB). GTX629818
GTX629818 WB Image

Various whole cell extracts (30 μg) were separated by 7.5% SDS-PAGE, and the membranes were blotted with IDH1 antibody [GT1521] (GTX629818) diluted at 1:1000 and competitor's antibody (CST#8137) diluted at 1:1000. The HRP-conjugated anti-mouse IgG antibody (GTX213111-01) was used to detect the primary antibody.

3 / 9
Anti-IDH1 antibody [GT1521] used in Immunoprecipitation (IP). GTX629818
GTX629818 IP Image

IDH-1 antibody immunoprecipitates IDH-1 protein in IP experiments. IP Sample: HepG2 whole cell lysate/extract A : 30 μg whole cell lysate/extract of IDH1 protein expressing HepG2 cells B : Control with 2.5 μg of pre-immune mouse IgG C : Immunoprecipitation of IDH-1 protein by 2.5 μg of IDH-1 antibody (GTX629818) 10% SDS-PAGE The immunoprecipitated IDH-1 protein was detected by IDH-1 antibody (GTX629818) diluted at 1 : 1000. EasyBlot anti-mouse IgG (HRP) (GTX221667-01) was used as a secondary reagent.

4 / 9
Anti-IDH1 antibody [GT1521] used in Western Blot (WB). GTX629818
GTX629818 WB Image

Non-transfected (–) and transfected (+) 293T whole cell extracts (30 μg) were separated by 10% SDS-PAGE, and the membrane was blotted with IDH1 antibody [GT1521] (GTX629818) diluted at 1:5000. The HRP-conjugated anti-mouse IgG antibody (GTX213111-01) was used to detect the primary antibody.

5 / 9
Anti-IDH1 antibody [GT1521] used in Western Blot (WB). GTX629818
GTX629818 WB Image

IDH1 antibody [GT1521] detects IDH1 protein by western blot analysis.
A. 30 μg Neuro2A whole cell lysate/extract
B. 30 μg GL261 whole cell lysate/extract
C. 30 μg C8D30 whole cell lysate/extract
D. 30 μg NIH-3T3 whole cell lysate/extract
E. 30 μg Raw264.7 whole cell lysate/extract
F. 30 μg C2C12 whole cell lysate/extract
10% SDS-PAGE
IDH1 antibody [GT1521] (GTX629818) dilution: 1:1000
The HRP-conjugated anti-mouse IgG antibody (GTX213111-01) was used to detect the primary antibody.

6 / 9
Anti-IDH1 antibody [GT1521] used in Immunocytochemistry/ Immunofluorescence (ICC/IF). GTX629818
GTX629818 ICC/IF Image

IDH1 antibody [GT1521] detects IDH1 protein at cytoplasm by immunofluorescent analysis.
Sample: HepG2 cells were fixed in 4% paraformaldehyde at RT for 15 min.
Green: IDH1 protein stained by IDH1 antibody [GT1521] (GTX629818) diluted at 1:500.
Blue: Hoechst 33342 staining.

7 / 9
Anti-IDH1 antibody [GT1521] used in Western Blot (WB). GTX629818
GTX629818 WB Image

IDH1 antibody [GT1521] detects IDH1 protein by western blot analysis.
A. 30 μg PC-12 whole cell lysate/extract
B. 30 μg Rat-2 whole cell lysate/extract
10% SDS-PAGE
IDH1 antibody [GT1521] (GTX629818) dilution: 1:1000
The HRP-conjugated anti-mouse IgG antibody (GTX213111-01) was used to detect the primary antibody.

8 / 9
Anti-IDH1 antibody [GT1521] used in Western Blot (WB). GTX629818
GTX629818 WB Image

IDH1 antibody [GT1521] detects IDH1 protein by western blot analysis.
A. 30 μg 293T whole cell lysate/extract
B. 30 μg A431 whole cell lysate/extract
C. 30 μg HeLa whole cell lysate/extract
D. 30 μg HepG2 whole cell lysate/extract
10% SDS-PAGE
IDH1 antibody [GT1521] (GTX629818) dilution: 1:1000
The HRP-conjugated anti-mouse IgG antibody (GTX213111-01) was used to detect the primary antibody.

9 / 9
Anti-IDH1 antibody [GT1521] used in Western Blot (WB). GTX629818
Anti-IDH1 antibody [GT1521] used in Western Blot (WB). GTX629818
Anti-IDH1 antibody [GT1521] used in Western Blot (WB). GTX629818
Anti-IDH1 antibody [GT1521] used in Immunoprecipitation (IP). GTX629818
Anti-IDH1 antibody [GT1521] used in Western Blot (WB). GTX629818
Anti-IDH1 antibody [GT1521] used in Western Blot (WB). GTX629818
Anti-IDH1 antibody [GT1521] used in Immunocytochemistry/ Immunofluorescence (ICC/IF). GTX629818
Anti-IDH1 antibody [GT1521] used in Western Blot (WB). GTX629818
Anti-IDH1 antibody [GT1521] used in Western Blot (WB). GTX629818
  • 宿主
    Mouse
  • 克隆
    Monoclonal
  • 克隆编号
    GT1521
  • 同种型
    IgG2b
  • 实验应用
    WB ICC/IF IP
  • 种属反应
    Human, Mouse, Rat
查看所有 IDH1 的产品