IDH2抗体 [GT673]
目录号 GTX628487
                        目录号  GTX628487
                                
                    
                            - 
                                            宿主Mouse
- 
                                            克隆Monoclonal
- 
                                            克隆编号GT673
- 
                                                同种型IgG1
- 
                                            实验应用WB ICC/IF IHC-P
- 
                                            种属反应Human, Mouse, Rat
 
                                             
                                            ![Anti-IDH2 antibody [GT673] used in Immunocytochemistry/ Immunofluorescence (ICC/IF). GTX628487](/upload/website/prouct_img/middle/GTX628487/GTX628487_41148_20150807_IFA_w_23061202_460.webp) 
                                                        ![Anti-IDH2 antibody [GT673] used in Western Blot (WB). GTX628487](/upload/website/prouct_img/middle/GTX628487/GTX628487_41148_20180126_WB_B_w_23061202_670.webp) 
                                                            
                                                        ![Anti-IDH2 antibody [GT673] used in Western Blot (WB). GTX628487](/upload/website/prouct_img/middle/GTX628487/GTX628487_41148_WB_R_brain_w_23061202_931.webp) 
                                                            
                                                        ![Anti-IDH2 antibody [GT673] used in Western Blot (WB). GTX628487](/upload/website/prouct_img/middle/GTX628487/GTX628487_41148_20160526_WB_shRNA_watermark_w_23061202_339.webp) 
                                                            
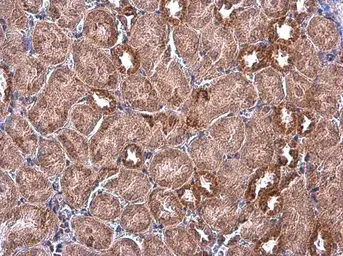
                                                        ![Anti-IDH2 antibody [GT673] used in IHC (Paraffin sections) (IHC-P). GTX628487](/upload/website/prouct_img/middle/GTX628487/GTX628487_41148_20170926_IHC-P_M_w_23061202_316.webp) 
                                                            
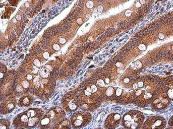
                                                        ![Anti-IDH2 antibody [GT673] used in IHC (Paraffin sections) (IHC-P). GTX628487](/upload/website/prouct_img/middle/GTX628487/GTX628487_41148_20170926_IHC-P_R_w_23061202_637.webp) 
                                                            
                                                        ![Anti-IDH2 antibody [GT673] used in Western Blot (WB). GTX628487](/upload/website/prouct_img/middle/GTX628487/GTX628487_41148_WB_w_23061202_175.webp) 
                                                            
                                                        ![Anti-IDH2 antibody [GT673] used in Immunocytochemistry/ Immunofluorescence (ICC/IF). GTX628487](/upload/website/prouct_img/middle/GTX628487/GTX628487_41148_IFA_w_23061202_720.webp) 
                                                            
                                                        ![Anti-IDH2 antibody [GT673] used in Western Blot (WB). GTX628487](/upload/website/prouct_img/middle/GTX628487/GTX628487_41148_WB_M_brain_w_23061202_695.webp)