IL10抗体

目录号 GTX130513
目录号  GTX130513
Anti-IL10 antibody used in Immunocytochemistry/ Immunofluorescence (ICC/IF). GTX130513
GTX130513 ICC/IF Image

IL10 antibody detects IL10 protein by immunofluorescent analysis.
Sample: Molt-4 cells were fixed in ice-cold MeOH for 5 min.
Green: IL10 stained by IL10 antibody (GTX130513) diluted at 1:100.
Blue: Fluoroshield with DAPI (GTX30920).

1 / 5
Anti-IL10 antibody used in IHC (Frozen sections) (IHC-Fr). GTX130513
GTX130513 IHC-Fr Image

IL10 antibody detects IL10 protein by immunohistochemical analysis.
Sample: Frozen-sectioned mouse hippocampus.
Green: IL10 stained by IL10 antibody (GTX130513) diluted at 1:250.
Blue: Fluoroshield with DAPI (GTX30920).

2 / 5
Anti-IL10 antibody used in ELISA (ELISA). GTX130513
GTX130513 ELISA Image

An ELISA plate is coated with 50 μL of a IL10 peptide at concentration ranged from 0.25 μg/mL to 8 μg/mL. The coated peptide is detected with anti IL10 antibody (GTX130513) at 0.5 μg/mL.

3 / 5
Anti-IL10 antibody used in Western Blot (WB). GTX130513
GTX130513 WB Image

Non-transfected (–) and transfected (+) 293T whole cell extracts (30 μg) were separated by 12% SDS-PAGE, and the membrane was blotted with IL10 antibody (GTX130513) diluted at 1:5000. The HRP-conjugated anti-rabbit IgG antibody (GTX213110-01) was used to detect the primary antibody.

4 / 5
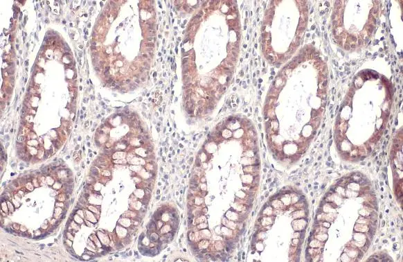
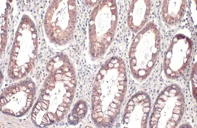
Anti-IL10 antibody used in IHC (Paraffin sections) (IHC-P). GTX130513
GTX130513 IHC-P Image

IL10 antibody detects IL10 protein at nucleus by immunohistochemical analysis.
Sample: Paraffin-embedded human colon.
IL10 stained by IL10 antibody (GTX130513) diluted at 1:500.
Antigen Retrieval: Citrate buffer, pH 6.0, 15 min

5 / 5
Anti-IL10 antibody used in Immunocytochemistry/ Immunofluorescence (ICC/IF). GTX130513
Anti-IL10 antibody used in IHC (Frozen sections) (IHC-Fr). GTX130513
Anti-IL10 antibody used in ELISA (ELISA). GTX130513
Anti-IL10 antibody used in Western Blot (WB). GTX130513
Anti-IL10 antibody used in IHC (Paraffin sections) (IHC-P). GTX130513
  • 宿主
    Rabbit
  • 克隆
    Polyclonal
  • 同种型
    IgG
  • 实验应用
    WB ICC/IF IHC-P IHC-Fr ELISA
  • 种属反应
    Human, Mouse
查看所有 IL10 的产品