Iba1抗体

目录号 GTX100042
目录号  GTX100042
Anti-Iba1 antibody used in Western Blot (WB). GTX100042
GTX100042 WB Image

Various whole cell extracts (30 μg) were separated by 15% SDS-PAGE, and the membrane was blotted with Iba1 antibody (GTX100042) diluted at 1:1000. The HRP-conjugated anti-rabbit IgG antibody (GTX213110-01) was used to detect the primary antibody. Corresponding RNA expression data for the same cell lines are based on Human Protein Atlas program.

1 / 26
Anti-Iba1 antibody used in Flow cytometry (FCM). GTX100042
GTX100042 FCM Image

Iba1 antibody (GTX100042) detects AIF1 protein by flow cytometry analysis.
Sample: THP-1 cell.
Black: Unlabelled sample was used as a control.
Red: Iba1 antibody (GTX100042) dilution: 1:50.
Acquisition of 20,000 events were collected for FACS analysis.

2 / 26
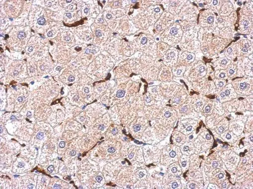
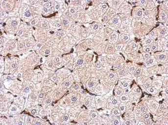
Anti-Iba1 antibody used in IHC (Paraffin sections) (IHC-P). GTX100042
GTX100042 IHC-P Image

Immunohistochemical analysis of paraffin-embedded human hepatoma, using Iba1(GTX100042) antibody at 1:500 dilution.
Antigen Retrieval: Trilogy™ (EDTA based, pH 8.0) buffer, 15min

3 / 26
Anti-Iba1 antibody used in IHC (Paraffin sections) (IHC-P). GTX100042
GTX100042 IHC-P Image

Iba1 antibody detects Iba1 protein at cell membrane and cytoplasm by immunohistochemical analysis.
Sample: Paraffin-embedded rat cerebellum.
Iba1 stained by Iba1 antibody (GTX100042) diluted at 1:500.
Antigen Retrieval: Citrate buffer, pH 6.0, 15 min

4 / 26
Anti-Iba1 antibody used in Western Blot (WB). GTX100042
GTX100042 WB Image

Mouse tissue extract (50 μg) was separated by 15% SDS-PAGE, and the membrane was blotted with Iba1 antibody (GTX100042) diluted at 1:1000.

5 / 26
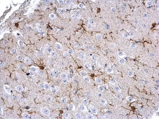
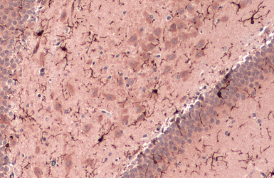
Anti-Iba1 antibody used in IHC (Paraffin sections) (IHC-P). GTX100042
GTX100042 IHC-P Image

Iba1 antibody detects Iba1 protein on mouse fore brain by immunohistochemical analysis.
Sample: Paraffin-embedded mouse fore brain.
Iba1 antibody (GTX100042) dilution: 1:500.

Antigen Retrieval: Trilogy™ (EDTA based, pH 8.0) buffer, 15min

6 / 26
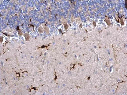
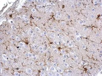
Anti-Iba1 antibody used in IHC (Paraffin sections) (IHC-P). GTX100042
GTX100042 IHC-P Image

Iba1 antibody detects Iba1 protein at cell membrane and cytoplasm by immunohistochemical analysis.
Sample: Paraffin-embedded mouse cerebellum.
Iba1 stained by Iba1 antibody (GTX100042) diluted at 1:500.
Antigen Retrieval: Citrate buffer, pH 6.0, 15 min

7 / 26
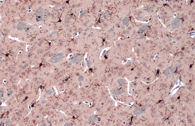
Anti-Iba1 antibody used in IHC (Paraffin sections) (IHC-P). GTX100042
GTX100042 IHC-P Image

Iba1 antibody detects Iba1 protein on rat hind brain by immunohistochemical analysis.
Sample: Paraffin-embedded rat hind brain.
Iba1 antibody (GTX100042) dilution: 1:500.

Antigen Retrieval: Trilogy™ (EDTA based, pH 8.0) buffer, 15min

8 / 26
Anti-Iba1 antibody used in Western Blot (WB). GTX100042
GTX100042 WB Image

Rat tissue extract (50 μg) was separated by 15% SDS-PAGE, and the membrane was blotted with Iba1 antibody (GTX100042) diluted at 1:1000.

9 / 26
Anti-Iba1 antibody used in IHC (Paraffin sections) (IHC-P). GTX100042
GTX100042 IHC-P Image

Iba1 antibody detects Iba1 protein at cell membrane and cytoplasm by immunohistochemical analysis.
Sample: Paraffin-embedded mouse brain.
Iba1 stained by Iba1 antibody (GTX100042) diluted at 1:500.
Antigen Retrieval: Citrate buffer, pH 6.0, 15 min

10 / 26
Anti-Iba1 antibody used in IHC (Frozen sections) (IHC-Fr). GTX100042
GTX100042 IHC-Fr Image

Iba1 antibody detects Iba1 protein at cell membrane and cytoplasm by immunohistochemical analysis.
Sample: Frozen-sectioned mouse brain.
Green: Iba1 stained by Iba1 antibody (GTX100042) diluted at 1:500.
Blue: Fluoroshield with DAPI (GTX30920).
Antigen Retrieval: ice-cold MeOH for 5 min

11 / 26
Anti-Iba1 antibody used in IHC (Frozen sections) (IHC-Fr). GTX100042
GTX100042 IHC-Fr Image

Iba1 antibody detects Iba1 protein expression at microglias by immunohistochemical analysis.
Sample: Frozen sectioned E13.5 Rat brain.
Green: Iba1 protein stained by Iba1 antibody (GTX100042) diluted at 1:250.
Red: beta Tubulin 3/ TUJ1, a mature neuron marker, stained by beta Tubulin 3/ TUJ1 antibody [GT11710] (GTX631836) diluted at 1:500.
Blue: Fluoroshield with DAPI (GTX30920).

12 / 26
Anti-Iba1 antibody used in IHC (Paraffin sections) (IHC-P). GTX100042
GTX100042 IHC-P Image

Iba1 antibody detects Iba1 protein at cell membrane and cytoplasm by immunohistochemical analysis.
Sample: Paraffin-embedded rat brain.
Iba1 stained by Iba1 antibody (GTX100042) diluted at 1:500.
Antigen Retrieval: Citrate buffer, pH 6.0, 15 min

13 / 26
Anti-Iba1 antibody used in Western Blot (WB). GTX100042
GTX100042 WB Image

Various tissue extracts (50 μg) were separated by 15% SDS-PAGE, and the membrane was blotted with Iba1 antibody (GTX100042) diluted at 1:1000. The HRP-conjugated anti-rabbit IgG antibody (GTX213110-01) was used to detect the primary antibody.

14 / 26
Anti-Iba1 antibody used in Immunocytochemistry/ Immunofluorescence (ICC/IF). GTX100042
GTX100042 ICC/IF Image

Iba1 antibody detects Iba1 protein at cell membrane by immunofluorescent analysis.
Sample: THP-1 cells were fixed in 4% paraformaldehyde at RT for 15 min.
Green: Iba1 stained by Iba1 antibody (GTX100042) diluted at 1:500.
Blue: Fluoroshield with DAPI (GTX30920).

15 / 26
Anti-Iba1 antibody used in IHC (Paraffin sections) (IHC-P). GTX100042
GTX100042 IHC-P Image

Iba1 antibody detects Iba1 protein by immunohistochemical analysis.
Sample: Paraffin-embedded rat tissues.
Iba1 stained by Iba1 antibody (GTX100042) diluted at 1:100.
Antigen Retrieval: Citrate buffer, pH 6.0, 15 min

16 / 26
Anti-Iba1 antibody used in IHC (Frozen sections) (IHC-Fr). GTX100042
GTX100042 IHC-Fr Image

The data was published in the journal J Neuroinflammation in 2018. PMID: 29753328

17 / 26
Anti-Iba1 antibody used in  (). GTX100042
GTX100042 Image

The data was published in the journal Sci Rep in 2016.PMID: 27824125

18 / 26
Anti-Iba1 antibody used in IHC (Paraffin sections) (IHC-P). GTX100042
GTX100042 IHC-P Image

The data was published in the journal Sci Rep in 2019.PMID: 31578352

19 / 26
Anti-Iba1 antibody used in Western Blot (WB). GTX100042
GTX100042 WB Image

The data was published in the journal Sci Rep in 2016.PMID: 26750705

20 / 26
Anti-Iba1 antibody used in IHC (Frozen sections) (IHC-Fr). GTX100042
GTX100042 IHC-Fr Image

The data was published in the journal J Neuroinflammation in 2018. PMID: 29753328

21 / 26
Anti-Iba1 antibody used in Immunocytochemistry/ Immunofluorescence (ICC/IF). GTX100042
GTX100042 ICC/IF Image

The data was published in the journal Dis Model Mech in 2016. PMID: 27491075

22 / 26
Anti-Iba1 antibody used in IHC (Free Floating) (IHC (Free Floating)). GTX100042
GTX100042 IHC (Free Floating) Image

The data was published in the journal Front Immunol in 2018.PMID: 29662492

23 / 26
Anti-Iba1 antibody used in Western Blot (WB). GTX100042
GTX100042 WB Image

The data was published in the journal EMBO Mol Med in 2019.PMID: 31122931

24 / 26
Anti-Iba1 antibody used in  (). GTX100042
GTX100042 Image

The data was published in the journal Sci Rep in 2016.PMID: 27824125

25 / 26
Anti-Iba1 antibody used in IHC (Frozen sections) (IHC-Fr). GTX100042
GTX100042 IHC-Fr Image

The data was published in the 2022 in Elife. PMID: 35315776

26 / 26
Anti-Iba1 antibody used in Western Blot (WB). GTX100042
Anti-Iba1 antibody used in Flow cytometry (FCM). GTX100042
Anti-Iba1 antibody used in IHC (Paraffin sections) (IHC-P). GTX100042
Anti-Iba1 antibody used in IHC (Paraffin sections) (IHC-P). GTX100042
Anti-Iba1 antibody used in Western Blot (WB). GTX100042
Anti-Iba1 antibody used in IHC (Paraffin sections) (IHC-P). GTX100042
Anti-Iba1 antibody used in IHC (Paraffin sections) (IHC-P). GTX100042
Anti-Iba1 antibody used in IHC (Paraffin sections) (IHC-P). GTX100042
Anti-Iba1 antibody used in Western Blot (WB). GTX100042
Anti-Iba1 antibody used in IHC (Paraffin sections) (IHC-P). GTX100042
Anti-Iba1 antibody used in IHC (Frozen sections) (IHC-Fr). GTX100042
Anti-Iba1 antibody used in IHC (Frozen sections) (IHC-Fr). GTX100042
Anti-Iba1 antibody used in IHC (Paraffin sections) (IHC-P). GTX100042
Anti-Iba1 antibody used in Western Blot (WB). GTX100042
Anti-Iba1 antibody used in Immunocytochemistry/ Immunofluorescence (ICC/IF). GTX100042
Anti-Iba1 antibody used in IHC (Paraffin sections) (IHC-P). GTX100042
Anti-Iba1 antibody used in IHC (Frozen sections) (IHC-Fr). GTX100042
Anti-Iba1 antibody used in  (). GTX100042
Anti-Iba1 antibody used in IHC (Paraffin sections) (IHC-P). GTX100042
Anti-Iba1 antibody used in Western Blot (WB). GTX100042
Anti-Iba1 antibody used in IHC (Frozen sections) (IHC-Fr). GTX100042
Anti-Iba1 antibody used in Immunocytochemistry/ Immunofluorescence (ICC/IF). GTX100042
Anti-Iba1 antibody used in IHC (Free Floating) (IHC (Free Floating)). GTX100042
Anti-Iba1 antibody used in Western Blot (WB). GTX100042
Anti-Iba1 antibody used in  (). GTX100042
Anti-Iba1 antibody used in IHC (Frozen sections) (IHC-Fr). GTX100042
  • 宿主
    Rabbit
  • 克隆
    Polyclonal
  • 同种型
    IgG
  • 实验应用
    WB ICC/IF IHC-P IHC-Fr FCM IHC IHC (Free Floating)
  • 种属反应
    Human, Mouse, Rat
查看所有 Iba1 的产品