Iba1抗体

目录号 GTX101495
目录号  GTX101495
Anti-Iba1 antibody used in Western Blot (WB). GTX101495
GTX101495 WB Image

Various whole cell extracts (30 μg) were separated by 15% SDS-PAGE, and the membranes were blotted with Iba1 antibody (GTX101495) diluted at 1:1000 and competitor's antibody diluted at 1:1000. The HRP-conjugated anti-rabbit IgG antibody (GTX213110-01) was used to detect the primary antibody.

*The competitor is not affiliated with GeneTex and does not endorse this product.

1 / 16
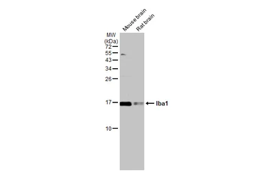
Anti-Iba1 antibody used in Western Blot (WB). GTX101495
GTX101495 WB Image

Various tissue extracts (50 μg) were separated by 15% SDS-PAGE, and the membranes were blotted with Iba1 antibody (GTX101495) diluted at 1:1000 and competitor's antibody diluted at 1:1000. The HRP-conjugated anti-rabbit IgG antibody (GTX213110-01) was used to detect the primary antibody, and the signal was developed with Trident ECL plus-Enhanced.

*The competitor is not affiliated with GeneTex and does not endorse this product.

2 / 16
Anti-Iba1 antibody used in Western Blot (WB). GTX101495
GTX101495 WB Image

Various whole cell extracts (30 μg) were separated by 15% SDS-PAGE, and the membrane was blotted with Iba1 antibody (GTX101495) diluted at 1:5000. The HRP-conjugated anti-rabbit IgG antibody (GTX213110-01) was used to detect the primary antibody.

*The competitor is not affiliated with GeneTex and does not endorse this product.

3 / 16
Anti-Iba1 antibody used in Western Blot (WB). GTX101495
GTX101495 WB Image

Various whole cell extracts (30 μg) were separated by 15% SDS-PAGE, and the membrane was blotted with Iba1 antibody (GTX101495) diluted at 1:5000. The HRP-conjugated anti-rabbit IgG antibody (GTX213110-01) was used to detect the primary antibody. Corresponding RNA expression data for the same cell lines are based on Human Protein Atlas program.

4 / 16
Anti-Iba1 antibody used in Western Blot (WB). GTX101495
GTX101495 WB Image

Various tissue extracts (50 μg) were separated by 15% SDS-PAGE, and the membrane was blotted with Iba1 antibody (GTX101495) diluted at 1:500. The HRP-conjugated anti-rabbit IgG antibody (GTX213110-01) was used to detect the primary antibody.

5 / 16
Anti-Iba1 antibody used in Flow cytometry (FCM). GTX101495
GTX101495 FCM Image

Flow cytometry on primary murine microglia cells, staining with Iba1 (GTX101495) antibody using 1.0 μg per 4×105 cells. GTX101495 (blue), Rabbit IgG (green) ,Unstained (red).

6 / 16
Anti-Iba1 antibody used in IHC (Paraffin sections) (IHC-P). GTX101495
GTX101495 IHC-P Image

Iba1 antibody detects Iba1 protein at cell membrane and cytoplasm by immunohistochemical analysis.
Sample: Paraffin-embedded rat brain.
Iba1 stained by Iba1 antibody (GTX101495) diluted at 1:500.
Antigen Retrieval: Citrate buffer, pH 6.0, 15 min

7 / 16
Anti-Iba1 antibody used in Immunoprecipitation (IP). GTX101495
GTX101495 IP Image

Immunoprecipitation of Iba1 protein from K562 whole cell extracts using 5 μg of Iba1 antibody (GTX101495).
Western blot analysis was performed using Iba1 antibody (GTX101495).
EasyBlot anti-Rabbit IgG (GTX221666-01) was used as a secondary reagent.

8 / 16
Anti-Iba1 antibody used in IHC (Paraffin sections) (IHC-P). GTX101495
GTX101495 IHC-P Image

Iba1 antibody detects Iba1 protein at cell membrane and cytoplasm by immunohistochemical analysis.
Sample: Paraffin-embedded mouse brain.
Iba1 stained by Iba1 antibody (GTX101495) diluted at 1:500.
Antigen Retrieval: Citrate buffer, pH 6.0, 15 min

9 / 16
Anti-Iba1 antibody used in IHC (Paraffin sections) (IHC-P). GTX101495
GTX101495 IHC-P Image

Iba1 antibody detects Iba1 protein at cell membrane and cytoplasm by immunohistochemical analysis.
Sample: Paraffin-embedded rat cerebellum.
Iba1 stained by Iba1 antibody (GTX101495) diluted at 1:1000.
Antigen Retrieval: Citrate buffer, pH 6.0, 15 min

10 / 16
Anti-Iba1 antibody used in IHC (Paraffin sections) (IHC-P). GTX101495
GTX101495 IHC-P Image

Iba1 antibody detects Iba1 protein at cell membrane and cytoplasm by immunohistochemical analysis.
Sample: Paraffin-embedded mouse cerebellum.
Iba1 stained by Iba1 antibody (GTX101495) diluted at 1:1000.
Antigen Retrieval: Citrate buffer, pH 6.0, 15 min

11 / 16
Anti-Iba1 antibody used in Flow cytometry (FCM). GTX101495
GTX101495 FCM Image

Iba1 antibody (GTX101495) detects AIF1 protein by flow cytometry analysis.
Sample: THP-1 cell.
Black: Unlabelled sample was used as a control.
Red: Iba1 antibody (GTX101495) dilution: 1:50.
Acquisition of 20,000 events were collected for FACS analysis.

12 / 16
Anti-Iba1 antibody used in Immunocytochemistry/ Immunofluorescence (ICC/IF). GTX101495
GTX101495 ICC/IF Image

Iba1 antibody detects Iba1 protein at cell periphery by immunofluorescent analysis.
Sample: THP-1 cells were fixed in 4% paraformaldehyde at RT for 15 min.
Green: Iba1 stained by Iba1 antibody (GTX101495) diluted at 1:500.
Blue: Fluoroshield with DAPI (GTX30920).

13 / 16
Anti-Iba1 antibody used in IHC (Paraffin sections) (IHC-P). GTX101495
GTX101495 IHC-P Image

Iba1 antibody detects Iba1 protein at cell membrane and cytoplasm by immunohistochemical analysis.
Sample: Paraffin-embedded mouse brain.
Iba1 stained by Iba1 antibody (GTX101495) diluted at 1:500.
Antigen Retrieval: Citrate buffer, pH 6.0, 15 min

14 / 16
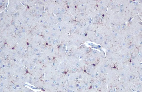
Anti-Iba1 antibody used in IHC (Paraffin sections) (IHC-P). GTX101495
GTX101495 IHC-P Image

Iba1 antibody detects Iba1 protein at cell membrane and cytoplasm by immunohistochemical analysis.
Sample: Paraffin-embedded mouse brain.
Iba1 stained by Iba1 antibody (GTX101495) diluted at 1:500.
Antigen Retrieval: Citrate buffer, pH 6.0, 15 min

15 / 16
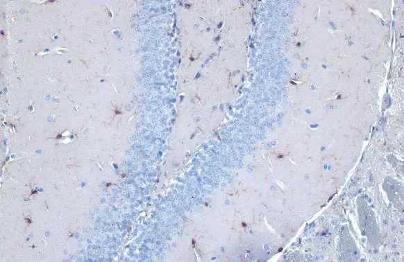
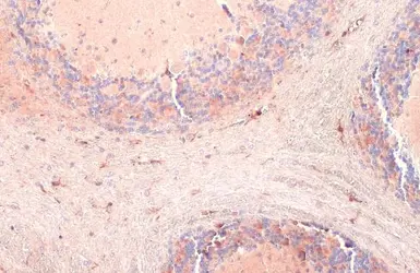
Anti-Iba1 antibody used in IHC (Paraffin sections) (IHC-P). GTX101495
GTX101495 IHC-P Image

Iba1 antibody detects Iba1 protein at cell membrane and cytoplasm by immunohistochemical analysis.
Sample: Paraffin-embedded rat brain.
Iba1 stained by Iba1 antibody (GTX101495) diluted at 1:500.
Antigen Retrieval: Citrate buffer, pH 6.0, 15 min

16 / 16
Anti-Iba1 antibody used in Western Blot (WB). GTX101495
Anti-Iba1 antibody used in Western Blot (WB). GTX101495
Anti-Iba1 antibody used in Western Blot (WB). GTX101495
Anti-Iba1 antibody used in Western Blot (WB). GTX101495
Anti-Iba1 antibody used in Western Blot (WB). GTX101495
Anti-Iba1 antibody used in Flow cytometry (FCM). GTX101495
Anti-Iba1 antibody used in IHC (Paraffin sections) (IHC-P). GTX101495
Anti-Iba1 antibody used in Immunoprecipitation (IP). GTX101495
Anti-Iba1 antibody used in IHC (Paraffin sections) (IHC-P). GTX101495
Anti-Iba1 antibody used in IHC (Paraffin sections) (IHC-P). GTX101495
Anti-Iba1 antibody used in IHC (Paraffin sections) (IHC-P). GTX101495
Anti-Iba1 antibody used in Flow cytometry (FCM). GTX101495
Anti-Iba1 antibody used in Immunocytochemistry/ Immunofluorescence (ICC/IF). GTX101495
Anti-Iba1 antibody used in IHC (Paraffin sections) (IHC-P). GTX101495
Anti-Iba1 antibody used in IHC (Paraffin sections) (IHC-P). GTX101495
Anti-Iba1 antibody used in IHC (Paraffin sections) (IHC-P). GTX101495
  • 宿主
    Rabbit
  • 克隆
    Polyclonal
  • 同种型
    IgG
  • 实验应用
    WB ICC/IF IHC-P IHC-Fr FCM IP
  • 种属反应
    Human, Mouse, Rat
查看所有 Iba1 的产品