Influenza A virus H3N2 HA (Hemagglutinin)抗体
目录号 GTX127363
                        目录号  GTX127363
                    
                            - 
                                            宿主Rabbit
- 
                                            克隆Polyclonal
- 
                                                同种型IgG
- 
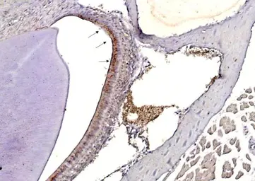
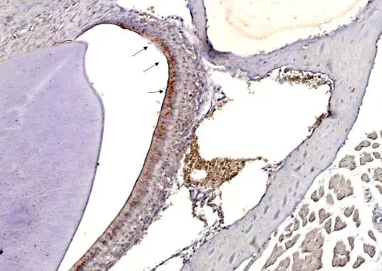
                                            实验应用WB ICC/IF IHC-P
- 
                                            种属反应Influenza A virus
 
                                                         
                                                            
                                                         
                                                            
                                                         
                                                            
                                                         
                                                            
                                                         
                                                            
                                                        