Integrin beta 1 / CD29抗体

目录号 GTX128839
目录号  GTX128839
Anti-Integrin beta 1 / CD29 antibody used in Western Blot (WB). GTX128839
GTX128839 WB Image

Wild-type (WT) and Integrin beta 1 / CD29 knockout (KO) HeLa cell extracts (30 μg) were separated by 7.5% SDS-PAGE, and the membrane was blotted with Integrin beta 1 / CD29 antibody (GTX128839) diluted at 1:400. The HRP-conjugated anti-rabbit IgG antibody (GTX213110-01) was used to detect the primary antibody.

1 / 19
Anti-Integrin beta 1 / CD29 antibody used in Western Blot (WB). GTX128839
GTX128839 WB Image

Various whole cell extracts (30 μg) were separated by 7.5% SDS-PAGE, and the membranes were blotted with Integrin beta 1 / CD29 antibody (GTX128839) diluted at 1:10000 and competitor's antibody diluted at 1:10000. The HRP-conjugated anti-rabbit IgG antibody (GTX213110-01) was used to detect the primary antibody.

*The competitor is not affiliated with GeneTex and does not endorse this product.

2 / 19
Anti-Integrin beta 1 / CD29 antibody used in Western Blot (WB). GTX128839
GTX128839 WB Image

Various whole cell extracts (30 μg) were separated by 7.5% SDS-PAGE, and the membrane was blotted with Integrin beta 1 / CD29 antibody (GTX128839) diluted at 1:10000. The HRP-conjugated anti-rabbit IgG antibody (GTX213110-01) was used to detect the primary antibody.

3 / 19
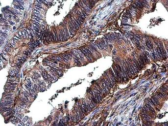
Anti-Integrin beta 1 / CD29 antibody used in IHC (Paraffin sections) (IHC-P). GTX128839
GTX128839 IHC-P Image

Integrin beta 1 / CD29 antibody detects Integrin beta 1 / CD29 protein by immunohistochemical analysis.
Sample: Paraffin-embedded mouse tissues.
Integrin beta 1 / CD29 stained by Integrin beta 1 / CD29 antibody (GTX128839) diluted at 1:500.
Antigen Retrieval: Citrate buffer, pH 6.0, 15 min

4 / 19
Anti-Integrin beta 1 / CD29 antibody used in Western Blot (WB). GTX128839
GTX128839 WB Image

Unstimulatd and stimulatd 3T3-L1 whole cell extracts (20 μg) were separated by 7.5% SDS-PAGE, and the membrane was blotted with Integrin beta 1 / CD29 antibody (GTX128839) diluted at 1:500. The HRP-conjugated anti-rabbit IgG antibody (GTX213110-01) was used to detect the primary antibody. (The differentiation stimulated medium is composed by basal medium, 10% FBS, 50 ug/ml gentamicin, 1 nM L-glutamin, 500 uM IBMX, 1 uM dexamethasone, 2 uM rosiglitazone and 1 ug/ml insulin.)

5 / 19
Anti-Integrin beta 1 / CD29 antibody used in Western Blot (WB). GTX128839
GTX128839 WB Image

Various whole cell extracts (30 μg) were separated by 7.5% SDS-PAGE, and the membrane was blotted with Integrin beta 1 / CD29 antibody (GTX128839) diluted at 1:10000. The HRP-conjugated anti-rabbit IgG antibody (GTX213110-01) was used to detect the primary antibody.

6 / 19
Anti-Integrin beta 1 / CD29 antibody used in Western Blot (WB). GTX128839
GTX128839 WB Image

Mouse tissue extract (50 μg) was separated by 7.5% SDS-PAGE, and the membrane was blotted with Integrin beta 1 / CD29 antibody (GTX128839) diluted at 1:10000. The HRP-conjugated anti-rabbit IgG antibody (GTX213110-01) was used to detect the primary antibody.

7 / 19
Anti-Integrin beta 1 / CD29 antibody used in IHC (Paraffin sections) (IHC-P). GTX128839
GTX128839 IHC-P Image

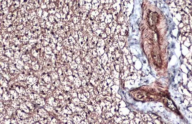
Integrin beta 1 / CD29 antibody detects Integrin beta 1 / CD29 protein at cytoplasm by immunohistochemical analysis.
Sample: Paraffin-embedded mouse brown adipocyte.
Integrin beta 1 / CD29 stained by Integrin beta 1 / CD29 antibody (GTX128839) diluted at 1:500.
Antigen Retrieval: Citrate buffer, pH 6.0, 15 min

8 / 19
Anti-Integrin beta 1 / CD29 antibody used in IHC (Paraffin sections) (IHC-P). GTX128839
GTX128839 IHC-P Image

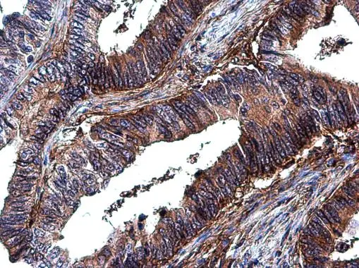
Integrin beta 1 / CD29 antibody detects Integrin beta 1 / CD29 protein at cell membrane and cytoplasm by immunohistochemical analysis.
Sample: Paraffin-embedded human colon cancer.
Integrin beta 1 / CD29 stained by Integrin beta 1 / CD29 antibody (GTX128839) diluted at 1:500.
Antigen Retrieval: Citrate buffer, pH 6.0, 15 min

9 / 19
Anti-Integrin beta 1 / CD29 antibody used in Western Blot (WB). GTX128839
GTX128839 WB Image

Integrin beta 1 / CD29 antibody detects Integrin beta 1 / CD29 protein by western blot analysis.
A. 30 μg PC-12 whole cell lysate/extract
B. 30 μg Rat-2 whole cell lysate/extract
7.5% SDS-PAGE
Integrin beta 1 / CD29 antibody (GTX128839) dilution: 1:5000
The HRP-conjugated anti-rabbit IgG antibody (GTX213110-01) was used to detect the primary antibody.

10 / 19
Anti-Integrin beta 1 / CD29 antibody used in Western Blot (WB). GTX128839
GTX128839 WB Image

Integrin beta 1 / CD29 antibody detects Integrin beta 1 / CD29 protein by western blot analysis.
A. 30 μg NIH-3T3 whole cell lysate/extract
B. 30 μg BCL-1 whole cell lysate/extract
C. 30 μg Raw264.7 whole cell lysate/extract
D. 30 μg C2C12 whole cell lysate/extract
7.5% SDS-PAGE
Integrin beta 1 / CD29 antibody (GTX128839) dilution: 1:5000
The HRP-conjugated anti-rabbit IgG antibody (GTX213110-01) was used to detect the primary antibody.

11 / 19
Anti-Integrin beta 1 / CD29 antibody used in IHC (Paraffin sections) (IHC-P). GTX128839
GTX128839 IHC-P Image

Integrin beta 1 / CD29 antibody detects Integrin beta 1 / CD29 protein at cytoplasm by immunohistochemical analysis.
Sample: Paraffin-embedded mouse brain.
Integrin beta 1 / CD29 stained by Integrin beta 1 / CD29 antibody (GTX128839) diluted at 1:500.
Antigen Retrieval: Citrate buffer, pH 6.0, 15 min

12 / 19
Anti-Integrin beta 1 / CD29 antibody used in IHC (Paraffin sections) (IHC-P). GTX128839
GTX128839 IHC-P Image

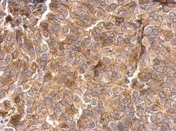
Integrin beta 1 / CD29 antibody detects Integrin beta 1 / CD29 protein on breast cancer by immunohistochemical analysis.
Sample: Paraffin-embedded breast cancer.
Integrin beta 1 / CD29 antibody (GTX128839) dilution: 1:500.

Antigen Retrieval: Trilogy™ (EDTA based, pH 8.0) buffer, 15min

13 / 19
Anti-Integrin beta 1 / CD29 antibody used in Immunoprecipitation (IP). GTX128839
GTX128839 IP Image

Immunoprecipitation of Integrin beta 1 / CD29 protein from HeLa whole cell extracts using 5 μg of Integrin beta 1 / CD29 antibody (GTX128839).
Western blot analysis was performed using Integrin beta 1 / CD29 antibody (GTX128839).
EasyBlot anti-Rabbit IgG (GTX221666-01) was used as a secondary reagent.

14 / 19
Anti-Integrin beta 1 / CD29 antibody used in Western Blot (WB). GTX128839
GTX128839 WB Image

Various whole cell extracts (30 μg) were separated by 7.5% SDS-PAGE, and the membrane was blotted with Integrin beta 1 / CD29 antibody (GTX128839) diluted at 1:10000. The HRP-conjugated anti-rabbit IgG antibody (GTX213110-01) was used to detect the primary antibody.

15 / 19
Anti-Integrin beta 1 / CD29 antibody used in Immunocytochemistry/ Immunofluorescence (ICC/IF). GTX128839
GTX128839 ICC/IF Image

Integrin beta 1 / CD29 antibody detects Integrin beta 1 / CD29 protein at cell membrane by immunofluorescent analysis.
Sample: A431 cells were fixed in ice-cold MeOH for 5 min.
Green: Integrin beta 1 / CD29 stained by Integrin beta 1 / CD29 antibody (GTX128839) diluted at 1:500.
Blue: Fluoroshield with DAPI (GTX30920).

16 / 19
Anti-Integrin beta 1 / CD29 antibody used in Immunocytochemistry/ Immunofluorescence (ICC/IF). GTX128839
GTX128839 ICC/IF Image

Integrin beta 1 / CD29 antibody detects Integrin beta 1 / CD29 protein at cell membrane by immunofluorescent analysis.
Sample: A431 cells were fixed in ice-cold MeOH for 5 min.
Green: Integrin beta 1 / CD29 stained by Integrin beta 1 / CD29 antibody (GTX128839) diluted at 1:500.
Blue: Fluoroshield with DAPI (GTX30920).

17 / 19
Anti-Integrin beta 1 / CD29 antibody used in Western Blot (WB). GTX128839
GTX128839 WB Image

Whole cell extract (30 μg) was separated by 7.5% SDS-PAGE, and the membrane was blotted with Integrin beta 1 / CD29 antibody (GTX128839) diluted at 1:5000. The HRP-conjugated anti-rabbit IgG antibody (GTX213110-01) was used to detect the primary antibody.

18 / 19
Anti-Integrin beta 1 / CD29 antibody used in Western Blot (WB). GTX128839
GTX128839 WB Image

The data was published in the journal Oncotarget in 2017. PMID: 29050309

19 / 19
Anti-Integrin beta 1 / CD29 antibody used in Western Blot (WB). GTX128839
Anti-Integrin beta 1 / CD29 antibody used in Western Blot (WB). GTX128839
Anti-Integrin beta 1 / CD29 antibody used in Western Blot (WB). GTX128839
Anti-Integrin beta 1 / CD29 antibody used in IHC (Paraffin sections) (IHC-P). GTX128839
Anti-Integrin beta 1 / CD29 antibody used in Western Blot (WB). GTX128839
Anti-Integrin beta 1 / CD29 antibody used in Western Blot (WB). GTX128839
Anti-Integrin beta 1 / CD29 antibody used in Western Blot (WB). GTX128839
Anti-Integrin beta 1 / CD29 antibody used in IHC (Paraffin sections) (IHC-P). GTX128839
Anti-Integrin beta 1 / CD29 antibody used in IHC (Paraffin sections) (IHC-P). GTX128839
Anti-Integrin beta 1 / CD29 antibody used in Western Blot (WB). GTX128839
Anti-Integrin beta 1 / CD29 antibody used in Western Blot (WB). GTX128839
Anti-Integrin beta 1 / CD29 antibody used in IHC (Paraffin sections) (IHC-P). GTX128839
Anti-Integrin beta 1 / CD29 antibody used in IHC (Paraffin sections) (IHC-P). GTX128839
Anti-Integrin beta 1 / CD29 antibody used in Immunoprecipitation (IP). GTX128839
Anti-Integrin beta 1 / CD29 antibody used in Western Blot (WB). GTX128839
Anti-Integrin beta 1 / CD29 antibody used in Immunocytochemistry/ Immunofluorescence (ICC/IF). GTX128839
Anti-Integrin beta 1 / CD29 antibody used in Immunocytochemistry/ Immunofluorescence (ICC/IF). GTX128839
Anti-Integrin beta 1 / CD29 antibody used in Western Blot (WB). GTX128839
Anti-Integrin beta 1 / CD29 antibody used in Western Blot (WB). GTX128839
  • 宿主
    Rabbit
  • 克隆
    Polyclonal
  • 同种型
    IgG
  • 实验应用
    WB ICC/IF IHC-P IHC-Fr IP
  • 种属反应
    Human, Mouse, Rat, Dog
查看所有 Integrin beta 1 / CD29 的产品