JAK1 (phospho Tyr1022)抗体

目录号 GTX50207
目录号  GTX50207
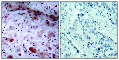
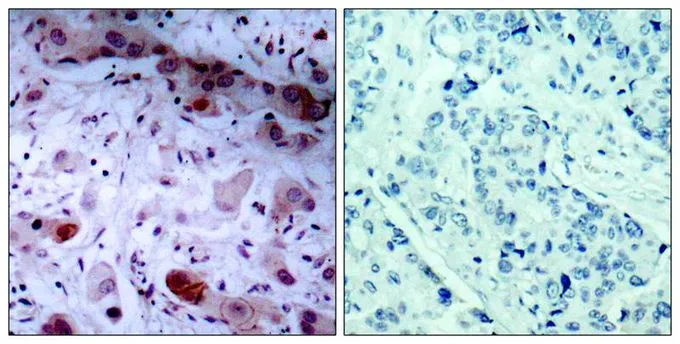
Anti-JAK1 (phospho Tyr1022) antibody used in IHC (Paraffin sections) (IHC-P). GTX50207
GTX50207 IHC-P Image

IHC-P analysis of human breast carcinoma tissue using GTX50207 JAK1 (phospho Tyr1022) antibody.
Left : Primary antibody
Right : Primary antibody pre-incubated with the antigen specific peptide

1 / 2
Anti-JAK1 (phospho Tyr1022) antibody used in Western Blot (WB). GTX50207
GTX50207 WB Image

WB analysis of extracts from HT-29 cells untreated or treated with UV using GTX50207 JAK1 (phospho Tyr1022) antibody.

2 / 2
Anti-JAK1 (phospho Tyr1022) antibody used in IHC (Paraffin sections) (IHC-P). GTX50207
Anti-JAK1 (phospho Tyr1022) antibody used in Western Blot (WB). GTX50207
  • 宿主
    Rabbit
  • 克隆
    Polyclonal
  • 同种型
    IgG
  • 实验应用
    WB IHC-P
  • 种属反应
    Human
查看所有 JAK1 的产品